Suppr超能文献

G 蛋白偶联受体信号在成骨细胞中的作用会引起骨形成的年龄依赖性效应。

Gs G protein-coupled receptor signaling in osteoblasts elicits age-dependent effects on bone formation.

机构信息

Gladstone Institute of Cardiovascular Disease, San Francisco, CA 94158, USA.

出版信息

J Bone Miner Res. 2010 Mar;25(3):584-93. doi: 10.1002/jbmr.3.

Abstract

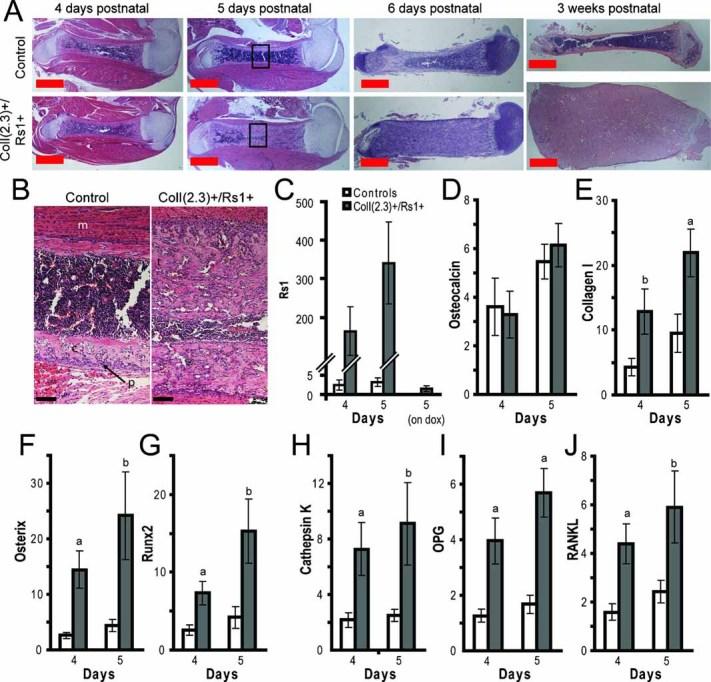
Age-dependent changes in skeletal growth are important for regulating skeletal expansion and determining peak bone mass. However, how G protein-coupled receptors (GPCRs) regulate these changes is poorly understood. Previously, we described a mouse model expressing Rs1, an engineered receptor with high basal G(s) activity. Rs1 expression in osteoblasts induced a dramatic age-dependent increase in trabecular bone with features resembling fibrous dysplasia. To further investigate how activation of the G(s)-GPCR pathway affects bone formation at different ages, we used the tetracycline-inducible system in the ColI(2.3)(+)/Rs1(+) mouse model to control the timing of Rs1 expression. We found that the Rs1 phenotype developed rapidly between postnatal days 4 and 6, that delayed Rs1 expression resulted in attenuation of the Rs1 phenotype, and that the Rs1-induced bone growth and deformities were markedly reversed when Rs1 expression was suppressed in adult mice. These findings suggest a distinct window of increased osteoblast responsiveness to G(s) signaling during the early postnatal period. In addition, adult bones encode information about their normal shape and structure independently from mechanisms regulating bone expansion. Finally, our model provides a powerful tool for investigating the effects of continuous G(s)-GPCR signaling on dynamic bone growth and remodeling.

摘要

骨骼生长的年龄依赖性变化对于调节骨骼扩张和确定峰值骨量非常重要。然而,G 蛋白偶联受体(GPCR)如何调节这些变化尚不清楚。此前,我们描述了一种表达 Rs1 的小鼠模型,Rs1 是一种具有高基础 G(s) 活性的工程受体。成骨细胞中 Rs1 的表达诱导了小梁骨的显著年龄依赖性增加,其特征类似于纤维结构不良。为了进一步研究 G(s)-GPCR 途径的激活如何影响不同年龄的骨形成,我们在 ColI(2.3)(+) / Rs1(+) 小鼠模型中使用四环素诱导系统来控制 Rs1 表达的时间。我们发现,Rs1 表型在出生后第 4 天至第 6 天之间迅速发展,延迟 Rs1 表达导致 Rs1 表型减弱,当成年小鼠中抑制 Rs1 表达时,Rs1 诱导的骨生长和畸形明显逆转。这些发现表明,在出生后的早期阶段,成骨细胞对 G(s)信号的反应性存在一个明显的增加窗口。此外,成年骨骼独立于调节骨骼扩张的机制,对其正常形状和结构进行编码。最后,我们的模型为研究持续的 G(s)-GPCR 信号对动态骨生长和重塑的影响提供了一个有力的工具。

https://cdn.ncbi.nlm.nih.gov/pmc/blobs/ca32/3153396/890cfb184885/jbmr0025-0584-f1.jpg

文献检索

告别复杂PubMed语法,用中文像聊天一样搜索,搜遍4000万医学文献。AI智能推荐,让科研检索更轻松。

立即免费搜索

文件翻译

保留排版,准确专业,支持PDF/Word/PPT等文件格式,支持 12+语言互译。

免费翻译文档

深度研究

AI帮你快速写综述,25分钟生成高质量综述,智能提取关键信息,辅助科研写作。

立即免费体验