Suppr超能文献

择期结肠镜检查后脾损伤

Splenic injury after elective colonoscopy.

作者信息

Sarhan Mohammad, Ramcharan Alexius, Ponnapalli Sarma

机构信息

Department of Surgery, Harlem Hospital Center, New York, New York 10037, USA.

出版信息

JSLS. 2009 Oct-Dec;13(4):616-9.

Abstract

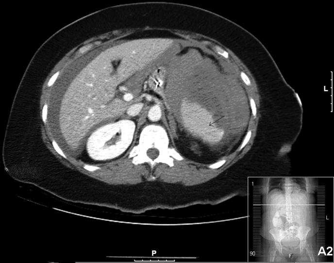
Splenic injury is a rare but serious complication of colonoscopy. Since the mid-1970s, 68 splenic injuries during colonoscopy including our 2 cases have been described. With the increasing use of colonoscopy, endoscopists, surgeons, and radiologists are more likely to encounter this unusual complication. Any cause of increased splenocolic adhesions, splenomegaly, or underlying splenic disease might be a predisposing factor for splenic injury during colonoscopy. However, it can occur in patients without significant adhesions or underlying splenic pathology. The diagnosis is often described in the literature as delayed, because many physicians are not aware of this complication of colonoscopy. Although computerized tomography is highly sensitive, knowledge of this complication is the best tool to aid in early diagnosis. Patients with abdominal pain, hypotension, and a drop in hematocrit without rectal bleeding after colonoscopy should be suspected of having splenic injury. Early recognition and interdisciplinary management are required to assure successful management of this potentially life-threatening injury. Patients with hemodynamic instability most often undergo surgery. We present 2 cases of splenic injury secondary to colonoscopy that required splenectomy.

摘要

脾损伤是结肠镜检查中一种罕见但严重的并发症。自20世纪70年代中期以来,包括我们的2例病例在内,已有68例结肠镜检查期间发生脾损伤的病例被报道。随着结肠镜检查的使用日益增加,内镜医师、外科医生和放射科医生更有可能遇到这种不寻常的并发症。脾结肠粘连增加、脾肿大或潜在的脾脏疾病的任何原因都可能是结肠镜检查期间脾损伤的诱发因素。然而,它也可能发生在没有明显粘连或潜在脾脏病变的患者中。文献中常称诊断会延迟,因为许多医生并不知晓结肠镜检查的这种并发症。尽管计算机断层扫描高度敏感,但了解这种并发症是有助于早期诊断的最佳工具。结肠镜检查后出现腹痛、低血压和血细胞比容下降且无直肠出血的患者应怀疑有脾损伤。需要早期识别和多学科管理,以确保成功处理这种潜在的危及生命的损伤。血流动力学不稳定的患者大多需要接受手术。我们报告2例结肠镜检查继发脾损伤并需要行脾切除术的病例。

https://cdn.ncbi.nlm.nih.gov/pmc/blobs/f3f6/3030803/a6aeb738a1a2/jsls-13-4-616-g01.jpg

文献检索

告别复杂PubMed语法,用中文像聊天一样搜索,搜遍4000万医学文献。AI智能推荐,让科研检索更轻松。

立即免费搜索

文件翻译

保留排版,准确专业,支持PDF/Word/PPT等文件格式,支持 12+语言互译。

免费翻译文档

深度研究

AI帮你快速写综述,25分钟生成高质量综述,智能提取关键信息,辅助科研写作。

立即免费体验