Suppr超能文献

甲状腺髓样癌与激素产生相关的免疫组织化学及超微结构分析

Immunohistochemical and ultrastructural analysis of medullary carcinoma of the thyroid in relation to hormone production.

作者信息

Kameya T, Shimosato Y, Adachi I, Abe K, Kasai N, Kimura K, Baba K

出版信息

Am J Pathol. 1977 Dec;89(3):555-74.

Abstract

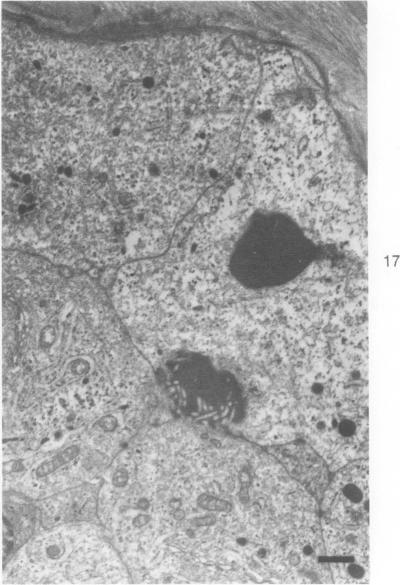
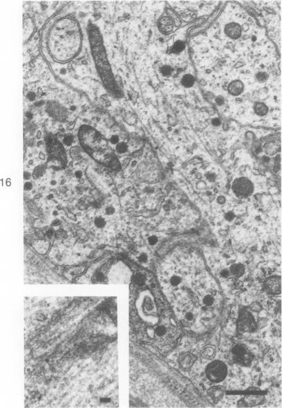
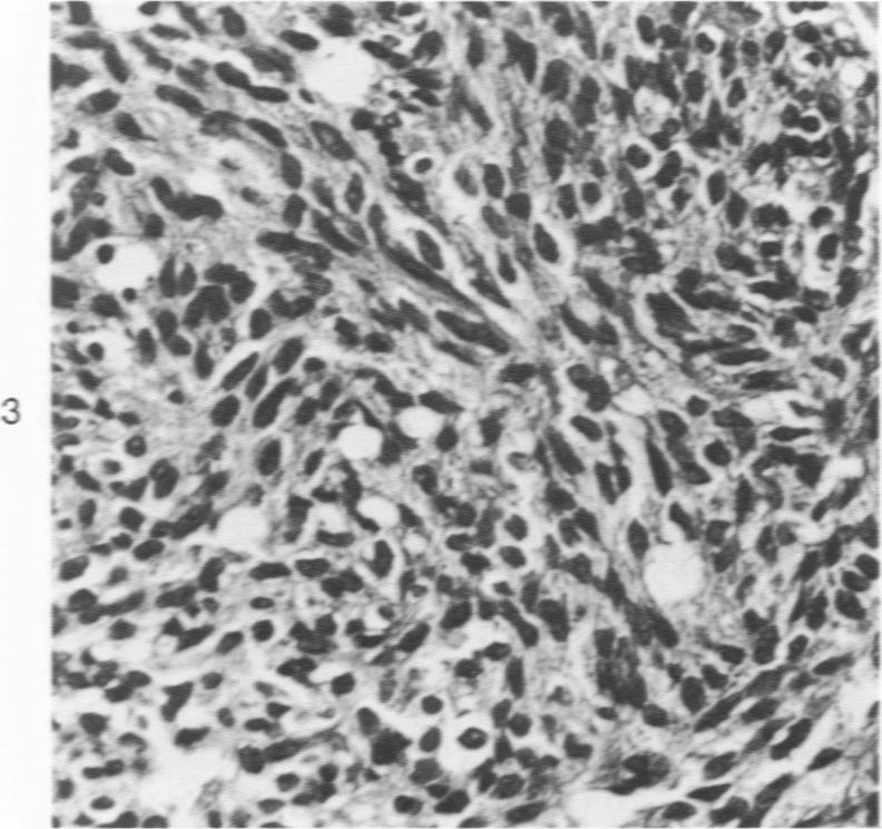
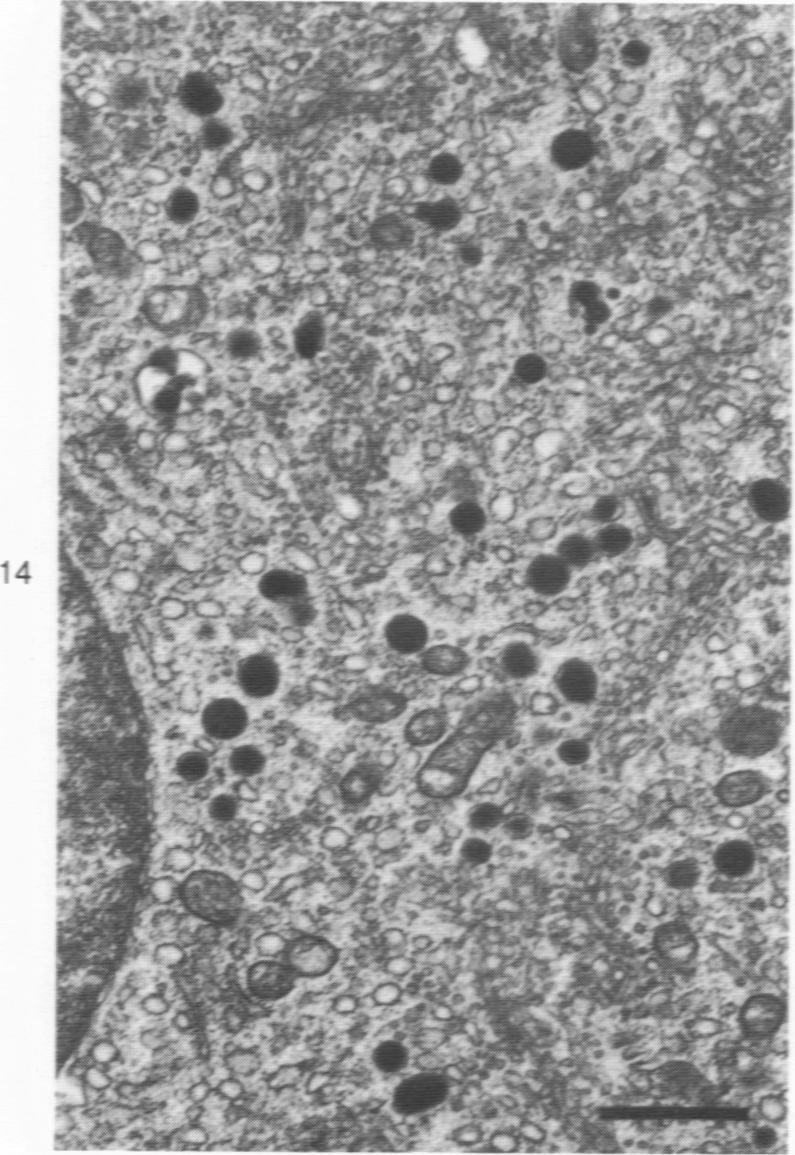
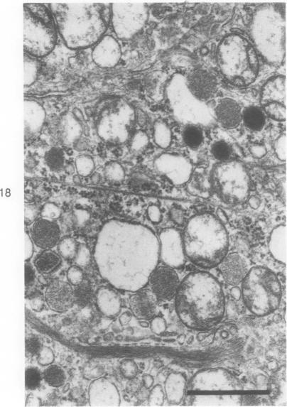
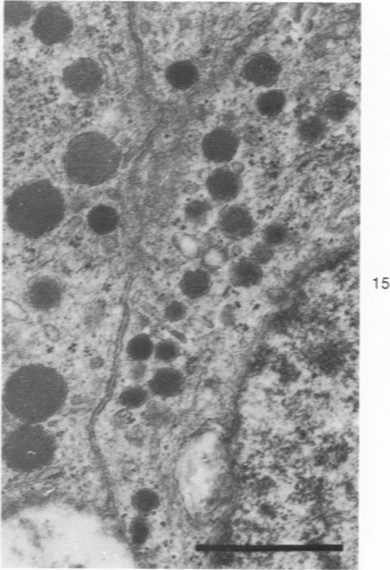
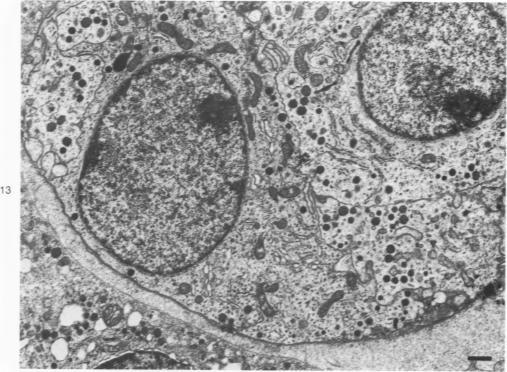
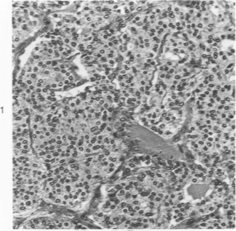
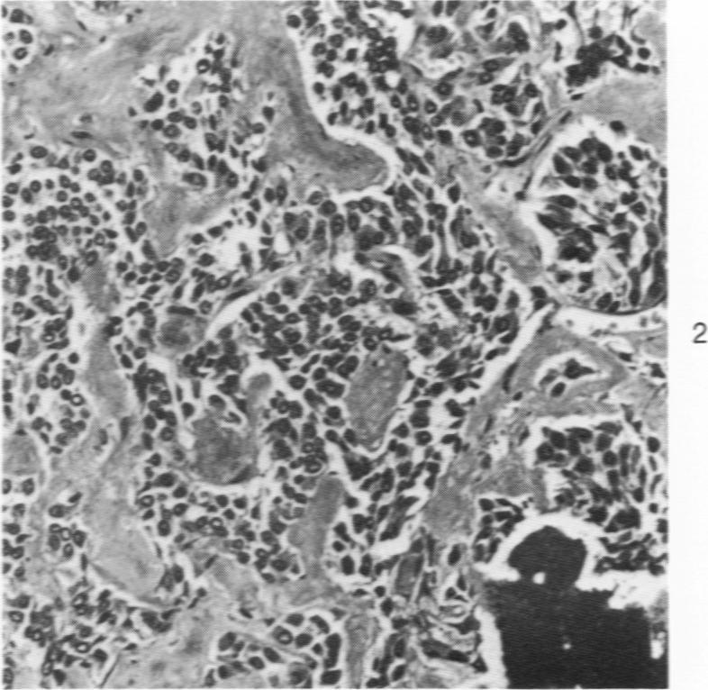
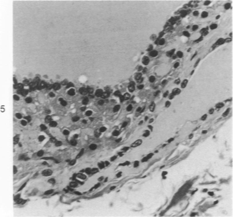
Eighteen cases of medullary carcinoma of the thyroid were analyzed immunohistochemically for calcitonin- and ACTH-containing cells, and tumor cells in 8 cases were examined by an electron microscope and analyzed by manual and computer procedures with particular attention paid to the size and quality of secretory granules. Calcitonin- and ACTH-containing cells were found singly or in clusters in 14 and 11 tumors, respectively. In 4 cases, calcitonin-positive cell clusters and an increase in number of singly scattered C cells were seen apart from the main tumor, suggesting a multicentric nature of certain medullary carcinomas. Some ACTH-containing cells were apparently also positive for calcitonin. In a case of familial Sipple disease, follicular lining cells were replaced in areas with ACTH-containing cells. Three to five frequency distribution curves of the size of secretory granules were obtained in all of 6 cases analyzed, and at least two different types of granule matrix were identified.

摘要

对18例甲状腺髓样癌进行免疫组织化学分析,以检测降钙素和促肾上腺皮质激素(ACTH)细胞,并对其中8例肿瘤细胞进行电子显微镜检查,同时采用手工和计算机程序进行分析,特别关注分泌颗粒的大小和质量。分别在14例和11例肿瘤中发现了单个或成簇的降钙素细胞和ACTH细胞。在4例中,除主要肿瘤外,还可见降钙素阳性细胞簇和单个散在C细胞数量增加,提示某些甲状腺髓样癌具有多中心性。一些ACTH细胞显然也对降钙素呈阳性反应。在一例家族性西普尔病中,滤泡衬里细胞部分被ACTH细胞取代。在所有分析的6例中均获得了三到五条分泌颗粒大小的频率分布曲线,并且鉴定出至少两种不同类型的颗粒基质。

https://cdn.ncbi.nlm.nih.gov/pmc/blobs/c64d/2032247/ce64dc06290c/amjpathol00394-0043-a.jpg

文献检索

告别复杂PubMed语法,用中文像聊天一样搜索,搜遍4000万医学文献。AI智能推荐,让科研检索更轻松。

立即免费搜索

文件翻译

保留排版,准确专业,支持PDF/Word/PPT等文件格式,支持 12+语言互译。

免费翻译文档

深度研究

AI帮你快速写综述,25分钟生成高质量综述,智能提取关键信息,辅助科研写作。

立即免费体验