Institute of Medical Technology, University of Tampere, Tampere, Finland.
PLoS One. 2010 Mar 10;5(3):e9624. doi: 10.1371/journal.pone.0009624.
Carbonic anhydrases (CAs) are key enzymes for physiological pH regulation, including the process of urine acidification. Previous studies have identified seven cytosolic or membrane-bound CA isozymes in the kidney. Recently, we showed by in situ hybridization that the mRNA for the most novel CA isozyme, CA XV, is present in the renal cortex. CA XV is a unique isozyme among mammalian CAs, because it has become a pseudogene in primates even though expressed in several other species.
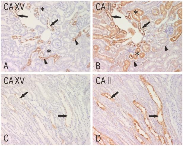
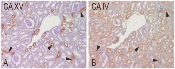
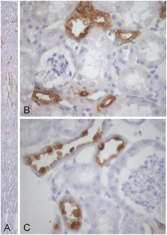
METHODOLOGY/PRINCIPAL FINDINGS: In the present study, we raised a polyclonal antibody against recombinant mouse CA XV that was produced in a baculovirus/insect cell expression system, and the antibody was used for immunohistochemical analysis in different mouse tissues. Positive immunoreactions were found only in the kidney, where the enzyme showed a very limited distribution pattern. Parallel immunostaining experiments with several other anti-CA sera indicated that CA XV is mainly expressed in the thick ascending limb of Henle and collecting ducts, and the reactions were most prominent in the cortex and outer medulla.
CONCLUSION/SIGNIFICANCE: Although other studies have proposed a role for CA XV in cell proliferation, its tightly limited distribution may point to a specialized function in the regulation of acid-base homeostasis.
碳酸酐酶(CA)是生理 pH 调节的关键酶,包括尿液酸化过程。先前的研究已经在肾脏中鉴定出七种胞质或膜结合的 CA 同工酶。最近,我们通过原位杂交显示,最新型 CA 同工酶 CA XV 的 mRNA 存在于肾皮质中。CA XV 是哺乳动物 CA 中一种独特的同工酶,因为它在灵长类动物中已经成为假基因,尽管在其他几种物种中表达。
方法/主要发现:在本研究中,我们针对在杆状病毒/昆虫细胞表达系统中产生的重组小鼠 CA XV 产生了多克隆抗体,并将该抗体用于不同小鼠组织的免疫组织化学分析。仅在肾脏中发现了阳性免疫反应,其中该酶表现出非常有限的分布模式。与其他几种抗 CA 血清的平行免疫染色实验表明,CA XV 主要在 Henle 升支粗段和集合管中表达,在外皮质和外髓质中反应最为明显。
结论/意义:尽管其他研究提出 CA XV 在细胞增殖中的作用,但它的分布非常有限,可能表明其在酸碱平衡调节中的特殊功能。