Suppr超能文献

肯尼亚儿童的原发性肝癌

Primary cancer of the liver in Kenyan children.

作者信息

Cameron H M, Warwick G P

出版信息

Br J Cancer. 1977 Dec;36(6):793-803. doi: 10.1038/bjc.1977.264.

Abstract

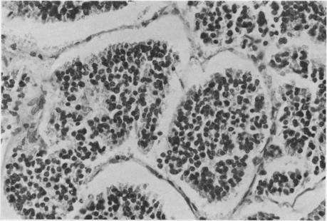
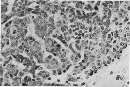
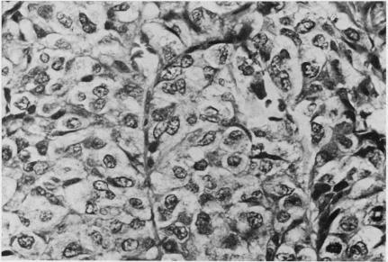
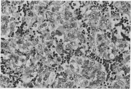
In 9 years in Kenya, 34 examples of primary liver cancer wer diagnosed in patients in the first two decades of life. This represents 4.7% of all liver cancers during this period. The larger proportion (29) were hepatocellular carcinoma. In the second decade, there was a notable association with macronodular cirrhosis. Analogy with experimental work suggests that cells in mitotic cycle may be more vulnerable to the effect of environmental carcinogens. Five examples of hepatoblastoma were identified at ages from 2 months to 14 years; none showed the features of "mixed" tumours. The ratio of hepatoblastoma to hepatocellular carcinoma was the reverse of that found in other large series of juvenile hepatic tumours. The histopathological features of these tumours are described and problems of their classification are discussed.

摘要

在肯尼亚的9年里,34例原发性肝癌在20岁之前的患者中被诊断出来。这占该时期所有肝癌的4.7%。其中较大比例(29例)为肝细胞癌。在第二个十年中,与大结节性肝硬化有显著关联。与实验工作的类比表明,处于有丝分裂周期的细胞可能更容易受到环境致癌物的影响。在2个月至14岁的年龄段中发现了5例肝母细胞瘤;均未表现出“混合”肿瘤的特征。肝母细胞瘤与肝细胞癌的比例与其他大量青少年肝脏肿瘤系列中的情况相反。描述了这些肿瘤的组织病理学特征,并讨论了它们的分类问题。

https://cdn.ncbi.nlm.nih.gov/pmc/blobs/dd61/2025564/4c75ece2f967/brjcancer00297-0145-a.jpg

文献检索

告别复杂PubMed语法,用中文像聊天一样搜索,搜遍4000万医学文献。AI智能推荐,让科研检索更轻松。

立即免费搜索

文件翻译

保留排版,准确专业,支持PDF/Word/PPT等文件格式,支持 12+语言互译。

免费翻译文档

深度研究

AI帮你快速写综述,25分钟生成高质量综述,智能提取关键信息,辅助科研写作。

立即免费体验