• 文献检索
  • 文档翻译
  • 深度研究
  • 学术资讯
  • Suppr Zotero 插件Zotero 插件
  • 邀请有礼
  • 套餐&价格
  • 历史记录
应用&插件
Suppr Zotero 插件Zotero 插件浏览器插件Mac 客户端Windows 客户端微信小程序
定价
高级版会员购买积分包购买API积分包
服务
文献检索文档翻译深度研究API 文档MCP 服务
关于我们
关于 Suppr公司介绍联系我们用户协议隐私条款
关注我们

Suppr 超能文献

核心技术专利:CN118964589B侵权必究
粤ICP备2023148730 号-1Suppr @ 2026

文献检索

告别复杂PubMed语法,用中文像聊天一样搜索,搜遍4000万医学文献。AI智能推荐,让科研检索更轻松。

立即免费搜索

文件翻译

保留排版,准确专业,支持PDF/Word/PPT等文件格式,支持 12+语言互译。

免费翻译文档

深度研究

AI帮你快速写综述,25分钟生成高质量综述,智能提取关键信息,辅助科研写作。

立即免费体验

环孢素结合蛋白亲环蛋白在人体组织中的分布。

Distribution of the cyclosporine binding protein cyclophilin in human tissues.

作者信息

Ryffel B, Woerly G, Greiner B, Haendler B, Mihatsch M J, Foxwell B M

机构信息

Sandoz Pharma Ltd, Drug Safety Assessment, Basle, Switzerland.

出版信息

Immunology. 1991 Mar;72(3):399-404.

PMID:2026447
原文链接:https://pmc.ncbi.nlm.nih.gov/articles/PMC1384402/
Abstract

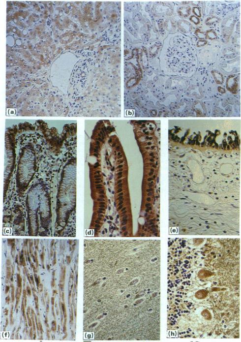
Cyclophilin (CYP) is the major intracellular binding protein for the immunosuppressive drug cyclosporine (CS). CYP distribution was investigated in human tissues by solid-phase immunoassay, Western and Northern blot analysis as well as immunohistochemistry. CYP was found in all tissues examined at concentrations in the range of 1 microgram/mg protein. Furthermore, mRNA specific for CYP was found in every tissue, indicating local production of the protein. Immunohistochemical investigations revealed preferential parenchymal and only little stromal localization. Within certain organs, e.g. kidneys, regional differences of immunoreactive CYP was evident. The presence of CYP was also investigated in several lymphoid and non-lymphoid cell lines and was found at comparable concentrations. Immunogold staining confirmed cytosolic, but revealed also nuclear localization of CYP. The possible role of this abundant CS binding protein is discussed.

摘要

亲环蛋白(CYP)是免疫抑制药物环孢素(CS)的主要细胞内结合蛋白。通过固相免疫测定、蛋白质印迹和Northern印迹分析以及免疫组织化学研究了CYP在人体组织中的分布。在所检测的所有组织中均发现了CYP,其浓度范围为1微克/毫克蛋白质。此外,在每个组织中都发现了CYP特异性的mRNA,表明该蛋白可在局部产生。免疫组织化学研究显示,CYP主要定位于实质细胞,而在基质细胞中定位较少。在某些器官(如肾脏)内,免疫反应性CYP存在明显的区域差异。还研究了几种淋巴细胞系和非淋巴细胞系中CYP的存在情况,发现其浓度相当。免疫金染色证实CYP存在于细胞质中,但也显示其存在于细胞核中。文中讨论了这种丰富的CS结合蛋白可能发挥的作用。

https://cdn.ncbi.nlm.nih.gov/pmc/blobs/780b/1384402/7b388b9ae06a/immunology00122-0089-b.jpg
https://cdn.ncbi.nlm.nih.gov/pmc/blobs/780b/1384402/628f2358fc85/immunology00122-0087-a.jpg
https://cdn.ncbi.nlm.nih.gov/pmc/blobs/780b/1384402/196412a48482/immunology00122-0088-a.jpg
https://cdn.ncbi.nlm.nih.gov/pmc/blobs/780b/1384402/eaa23e8a5337/immunology00122-0089-a.jpg
https://cdn.ncbi.nlm.nih.gov/pmc/blobs/780b/1384402/7b388b9ae06a/immunology00122-0089-b.jpg
https://cdn.ncbi.nlm.nih.gov/pmc/blobs/780b/1384402/628f2358fc85/immunology00122-0087-a.jpg
https://cdn.ncbi.nlm.nih.gov/pmc/blobs/780b/1384402/196412a48482/immunology00122-0088-a.jpg
https://cdn.ncbi.nlm.nih.gov/pmc/blobs/780b/1384402/eaa23e8a5337/immunology00122-0089-a.jpg
https://cdn.ncbi.nlm.nih.gov/pmc/blobs/780b/1384402/7b388b9ae06a/immunology00122-0089-b.jpg

相似文献

1
Distribution of the cyclosporine binding protein cyclophilin in human tissues.环孢素结合蛋白亲环蛋白在人体组织中的分布。
Immunology. 1991 Mar;72(3):399-404.
2
Cyclophilin binds to the region of cyclosporine involved in its immunosuppressive activity.
Eur J Immunol. 1987 Sep;17(9):1359-65. doi: 10.1002/eji.1830170921.
3
In situ detection of cyclosporin A: evidence for nuclear localization of cyclosporine and cyclophilins.环孢素A的原位检测:环孢素与亲环蛋白核定位的证据
Lab Invest. 1995 Nov;73(5):727-33.
4
Cyclophilin: distribution and variant properties in normal and neoplastic tissues.亲环蛋白:在正常组织和肿瘤组织中的分布及变异特性
J Immunol. 1986 Aug 1;137(3):1054-9.
5
Binding of active cyclosporins to cyclophilin A and B, complex formation with calcineurin A.活性环孢菌素与亲环蛋白A和B结合,与钙调神经磷酸酶A形成复合物。
Biochem Biophys Res Commun. 1993 Aug 16;194(3):1074-83. doi: 10.1006/bbrc.1993.1931.
6
The immunochemical distribution of cyclophilin in normal mammalian tissues.
Transplantation. 1991 Aug;52(2):340-5. doi: 10.1097/00007890-199108000-00030.
7
Molecular cloning and regional distribution of rat brain cyclophilin.
Brain Res Mol Brain Res. 1991 Feb;9(3):239-44. doi: 10.1016/0169-328x(91)90007-k.
8
The effect of cyclosporine administration on the cellular distribution and content of cyclophilin.环孢素给药对亲环蛋白细胞分布和含量的影响。
Transplantation. 1992 Feb;53(2):460-6. doi: 10.1097/00007890-199202010-00037.
9
Cyclophilin A, the major intracellular receptor for the immunosuppressant cyclosporin A, maps to chromosome 7p11.2-p13: four pseudogenes map to chromosomes 3, 10, 14, and 18.亲环素A是免疫抑制剂环孢素A的主要细胞内受体,定位于7号染色体p11.2 - p13区域;有四个假基因分别定位于3号、10号、14号和18号染色体。
Genomics. 1995 Jul 1;28(1):101-4. doi: 10.1006/geno.1995.1112.
10
Cyclophilin binding: a more accurate measure of cyclosporine immunosuppressive activity after renal transplantation.亲环素结合:肾移植后环孢素免疫抑制活性更准确的衡量指标。
Transplant Proc. 1991 Feb;23(1 Pt 2):974-5.

引用本文的文献

1
Randomized Open-Label Clinical Trial Comparing Prednisolone and Cyclosporine With a Nonrandomized Active Control for Treating Presumed Chronic Pancreatitis in Cats.比较泼尼松龙和环孢素与非随机活性对照治疗猫疑似慢性胰腺炎的随机开放标签临床试验。
J Vet Intern Med. 2025 Jul-Aug;39(4):e70163. doi: 10.1111/jvim.70163.
2
Dialysate cyclophilin A as a predictive marker for historical peritonitis in patients undergoing peritoneal dialysis.透析液中环孢素A作为腹膜透析患者既往腹膜炎的预测标志物。
Heliyon. 2024 May 14;10(10):e31021. doi: 10.1016/j.heliyon.2024.e31021. eCollection 2024 May 30.
3
Molecular insight into the specific interactions of the SARS-Coronavirus-2 nucleocapsid with RNA and host protein.

本文引用的文献

1
Uptake and nature of the intracellular binding of cyclosporin A in a murine thymoma cell line, BW5147.环孢菌素A在小鼠胸腺瘤细胞系BW5147中的细胞内结合摄取及性质
J Immunol. 1984 Jun;132(6):3064-70.
2
Cyclophilin: a specific cytosolic binding protein for cyclosporin A.亲环蛋白:一种环孢菌素A的特异性胞质结合蛋白。
Science. 1984 Nov 2;226(4674):544-7. doi: 10.1126/science.6238408.
3
Cyclophilin: distribution and variant properties in normal and neoplastic tissues.亲环蛋白:在正常组织和肿瘤组织中的分布及变异特性
对 SARS-CoV-2 核衣壳与 RNA 和宿主蛋白特异性相互作用的分子洞察。
Protein Sci. 2023 Apr;32(4):e4603. doi: 10.1002/pro.4603.
4
Roles of peptidyl prolyl isomerase Pin1 in viral propagation.肽基脯氨酰异构酶Pin1在病毒传播中的作用。
Front Cell Dev Biol. 2022 Oct 25;10:1005325. doi: 10.3389/fcell.2022.1005325. eCollection 2022.
5
Systematic review and meta-analysis of acupuncture in the treatment of cognitive impairment after stroke.针刺治疗中风后认知障碍的系统评价和荟萃分析。
Medicine (Baltimore). 2022 Oct 14;101(41):e30461. doi: 10.1097/MD.0000000000030461.
6
Defective cyclophilin A induces TDP-43 proteinopathy: implications for amyotrophic lateral sclerosis and frontotemporal dementia.异常环孢素 A 诱导 TDP-43 蛋白病:肌萎缩侧索硬化症和额颞叶痴呆的发病机制。
Brain. 2021 Dec 31;144(12):3710-3726. doi: 10.1093/brain/awab333.
7
Urinary Cyclophilin A as Marker of Tubular Cell Death and Kidney Injury.尿中环孢素A作为肾小管细胞死亡和肾损伤的标志物。
Biomedicines. 2021 Feb 20;9(2):217. doi: 10.3390/biomedicines9020217.
8
Cyclophilin A (CyPA) as a Novel Biomarker for Early Detection of Diabetic Nephropathy in an Animal Model.亲环素A(CyPA)作为动物模型中早期检测糖尿病肾病的新型生物标志物。
Diabetes Metab Syndr Obes. 2020 Oct 20;13:3807-3819. doi: 10.2147/DMSO.S260293. eCollection 2020.
9
N-Terminal Segment of CyP2 Cyclophilin from Is Involved in Self-Association, Membrane Interaction, and Subcellular Localization.环孢素 A 结合蛋白 2 的 N 端结构域参与自身聚合、与膜相互作用和亚细胞定位。
Biomolecules. 2020 Aug 26;10(9):1239. doi: 10.3390/biom10091239.
10
Microglia are both a source and target of extracellular cyclophilin A.小胶质细胞既是细胞外亲环素A的来源,也是其作用靶点。
Heliyon. 2019 Sep 3;5(9):e02390. doi: 10.1016/j.heliyon.2019.e02390. eCollection 2019 Sep.
J Immunol. 1986 Aug 1;137(3):1054-9.
4
Isolation and amino acid sequence of cyclophilin.亲环蛋白的分离与氨基酸序列
J Biol Chem. 1986 Jun 25;261(18):8547-55.
5
Cyclosporine: conformation and analogues as tools for studying its mechanism of action.环孢素:作为研究其作用机制工具的构象与类似物
Transplant Proc. 1988 Apr;20(2 Suppl 2):313-8.
6
Cyclophilin binds to the region of cyclosporine involved in its immunosuppressive activity.
Eur J Immunol. 1987 Sep;17(9):1359-65. doi: 10.1002/eji.1830170921.
7
Complementary DNA for human T-cell cyclophilin.人T细胞亲环蛋白的互补DNA。
EMBO J. 1987 Apr;6(4):947-50. doi: 10.1002/j.1460-2075.1987.tb04843.x.
8
p1B15: a cDNA clone of the rat mRNA encoding cyclophilin.p1B15:编码亲环蛋白的大鼠信使核糖核酸的一个互补脱氧核糖核酸克隆。
DNA. 1988 May;7(4):261-7. doi: 10.1089/dna.1988.7.261.
9
Identification of cyclophilin as the erythrocyte ciclosporin-binding protein.
Biochim Biophys Acta. 1988 Mar 3;938(3):447-55. doi: 10.1016/0005-2736(88)90142-3.
10
A comparison of cyclosporine binding by cyclophilin and calmodulin and the identification of a novel 45 KD cyclosporine-binding phosphoprotein in Jurkat cells.
Transplantation. 1988 Aug;46(2 Suppl):35S-40S. doi: 10.1097/00007890-198808001-00007.