Suppr超能文献

里宾病

Ribbing disease.

作者信息

Mukkada Philson J, Franklin Teenu, Rajeswaran Rangasami, Joseph Santhosh

机构信息

Department of Radiology and Imaging Sciences, Sri Ramachandra Medical College and Research Institute, Sri Ramachandra University, Chennai - 600 116, India.

出版信息

Indian J Radiol Imaging. 2010 Feb;20(1):47-9. doi: 10.4103/0971-3026.59754.

Abstract

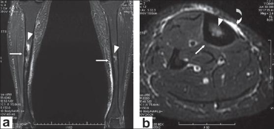
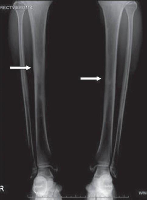
Ribbing disease is a rare sclerosing dysplasia that involves long tubular bones, especially the tibia and femur. It occurs after puberty and is reported to be more common in women. In this article we describe how Ribbing disease can be differentiated from diseases like Engelmann-Camurati disease, van Buchem disease, Erdheim-Chester disease, osteoid osteoma, chronic osteomyelitis, stress fracture, etc.

摘要

里宾病是一种罕见的骨硬化发育异常疾病,累及长管状骨,尤其是胫骨和股骨。它在青春期后发病,据报道在女性中更为常见。在本文中,我们描述了如何将里宾病与恩格尔曼-卡穆拉蒂病、范布赫姆病、厄尔德海姆-切斯特病、骨样骨瘤、慢性骨髓炎、应力性骨折等疾病相鉴别。

https://cdn.ncbi.nlm.nih.gov/pmc/blobs/4ce1/2844749/0eb776bcd583/IJRI-20-47-g001.jpg

文献AI研究员

20分钟写一篇综述,助力文献阅读效率提升50倍。

立即体验

用中文搜PubMed

大模型驱动的PubMed中文搜索引擎

马上搜索

文档翻译

学术文献翻译模型,支持多种主流文档格式。

立即体验