Suppr超能文献

氨氯地平的保守治疗影响牙龈增生。

Conservative management of amlodipine influenced gingival enlargement.

作者信息

Dhale Rashmi P, Phadnaik Mangesh B

机构信息

Postgraduate Student, Department of Periodontics, Government Dental College and Hospital, Aurangabad - 431 001, Maharashtra, India.

出版信息

J Indian Soc Periodontol. 2009 Jan;13(1):41-3. doi: 10.4103/0972-124X.51894.

Abstract

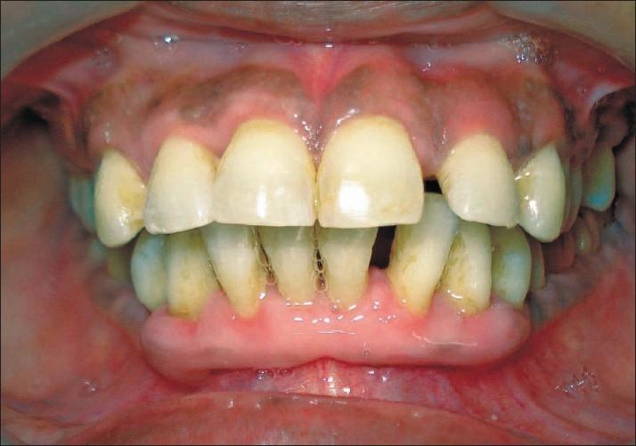
Gingival enlargement is a well recognized unwanted effect associated mainly with anticonvulsant drugs, immunosuppressant drugs and calcium channel blockers. Amlodipine influenced gingival enlargement is comparatively less prevalent amongst calcium channel blockers. It causes aesthetic disfigurement, speech disturbances, abnormal tooth movement and difficulty in mastication. The management of drug influenced gingival enlargement is a challenge for the periodontist, mainly due to less understanding of its pathogenesis, difficulties in selection of proper line of management and recurrence of the enlargement. This report discusses the importance of conservative approach (scaling and root planning along with drug replacement) in the management of a case of amlodipine influenced gingival enlargement. The need for extensive surgery was decreased after this approach.

摘要

牙龈增生是一种公认的不良影响,主要与抗惊厥药物、免疫抑制药物和钙通道阻滞剂有关。在钙通道阻滞剂中,氨氯地平引起的牙龈增生相对较少见。它会导致美观受损、言语障碍、牙齿异常移动和咀嚼困难。药物性牙龈增生的治疗对牙周病医生来说是一项挑战,主要是因为对其发病机制了解较少,难以选择合适的治疗方法以及增生复发。本报告讨论了保守治疗方法(刮治和根面平整以及药物替代)在治疗一例氨氯地平引起的牙龈增生中的重要性。采用这种方法后,减少了进行广泛手术的必要性。

https://cdn.ncbi.nlm.nih.gov/pmc/blobs/a1cc/2846674/f9b8f39f43a5/JISP-13-41-g001.jpg

文献AI研究员

20分钟写一篇综述,助力文献阅读效率提升50倍。

立即体验

用中文搜PubMed

大模型驱动的PubMed中文搜索引擎

马上搜索

文档翻译

学术文献翻译模型,支持多种主流文档格式。

立即体验