• 文献检索
  • 文档翻译
  • 深度研究
  • 学术资讯
  • Suppr Zotero 插件Zotero 插件
  • 邀请有礼
  • 套餐&价格
  • 历史记录
应用&插件
Suppr Zotero 插件Zotero 插件浏览器插件Mac 客户端Windows 客户端微信小程序
定价
高级版会员购买积分包购买API积分包
服务
文献检索文档翻译深度研究API 文档MCP 服务
关于我们
关于 Suppr公司介绍联系我们用户协议隐私条款
关注我们

Suppr 超能文献

核心技术专利:CN118964589B侵权必究
粤ICP备2023148730 号-1Suppr @ 2026

文献检索

告别复杂PubMed语法,用中文像聊天一样搜索,搜遍4000万医学文献。AI智能推荐,让科研检索更轻松。

立即免费搜索

文件翻译

保留排版,准确专业,支持PDF/Word/PPT等文件格式,支持 12+语言互译。

免费翻译文档

深度研究

AI帮你快速写综述,25分钟生成高质量综述,智能提取关键信息,辅助科研写作。

立即免费体验

小儿脓胸:手术治疗

Empyema thoracis: Surgical management in children.

作者信息

Menon Prema, Kanojia Ravi Prakash, Rao K L N

机构信息

Department of Pediatric Surgery, Advanced Pediatric Center, Postgraduate Institute of Medical Education and Research, Chandigarh, India.

出版信息

J Indian Assoc Pediatr Surg. 2009 Jul;14(3):85-93. doi: 10.4103/0971-9261.57698.

DOI:10.4103/0971-9261.57698
PMID:20376247
原文链接:https://pmc.ncbi.nlm.nih.gov/articles/PMC2847142/
Abstract

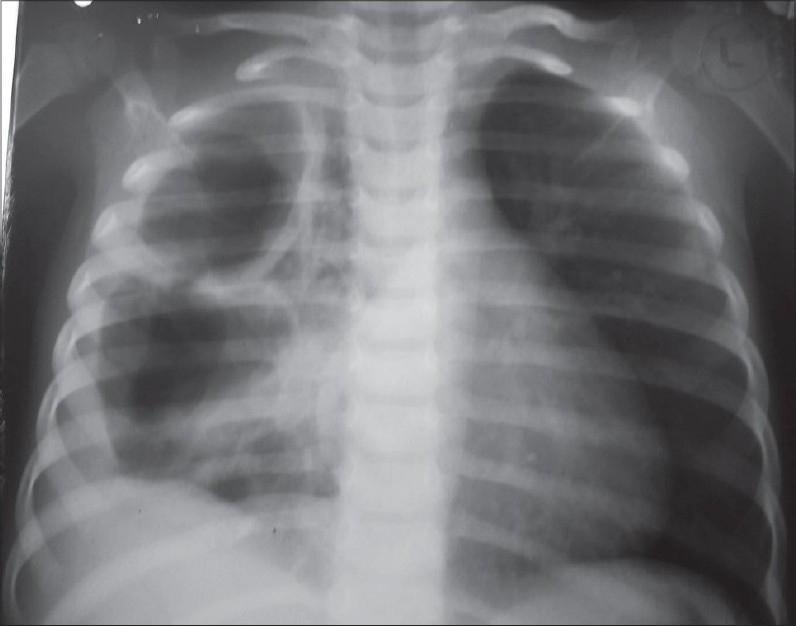
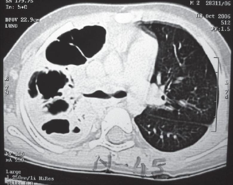
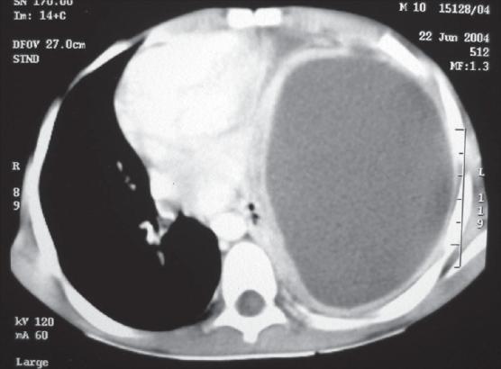
Empyema thoracis can produce significant morbidity in children if inadequately treated. Correct evaluation of the stage of the disease, the clinical condition of the child and proper assessment of the response to conservative treatment is crucial in deciding the mode of further surgical intervention. This ranges from intercostal chest tube drainage and video-assisted thoracoscopic surgery to open decortication. Surgical decortication becomes mandatory in neglected cases; it gives very gratifying results ameliorating the disease rapidly and is well tolerated by young patients. This article reviews the current literature and discusses the important considerations while managing these patients. Indications for surgery are highlighted, based on our large experience at a tertiary care center.

摘要

如果治疗不当,小儿脓胸可导致严重的发病情况。正确评估疾病阶段、患儿临床状况以及对保守治疗反应的恰当评估,对于决定进一步手术干预方式至关重要。这包括肋间胸腔闭式引流、电视辅助胸腔镜手术以及开胸纤维板剥脱术。在被忽视的病例中,手术纤维板剥脱术成为必要手段;它能迅速改善病情,取得非常令人满意的效果,且年轻患者耐受性良好。本文回顾了当前文献,并讨论了管理这些患者时的重要注意事项。基于我们在三级医疗中心的丰富经验,突出了手术适应症。

https://cdn.ncbi.nlm.nih.gov/pmc/blobs/664f/2847142/a8ceb74c48ef/JIAPS-14-85-g010.jpg
https://cdn.ncbi.nlm.nih.gov/pmc/blobs/664f/2847142/52c2e76e69c6/JIAPS-14-85-g001.jpg
https://cdn.ncbi.nlm.nih.gov/pmc/blobs/664f/2847142/bd2000d4e2ef/JIAPS-14-85-g002.jpg
https://cdn.ncbi.nlm.nih.gov/pmc/blobs/664f/2847142/5aa983c94adb/JIAPS-14-85-g003.jpg
https://cdn.ncbi.nlm.nih.gov/pmc/blobs/664f/2847142/7c53f93b14f8/JIAPS-14-85-g004.jpg
https://cdn.ncbi.nlm.nih.gov/pmc/blobs/664f/2847142/b9367e268dd1/JIAPS-14-85-g005.jpg
https://cdn.ncbi.nlm.nih.gov/pmc/blobs/664f/2847142/38f083f57300/JIAPS-14-85-g006.jpg
https://cdn.ncbi.nlm.nih.gov/pmc/blobs/664f/2847142/78c3b7e591bd/JIAPS-14-85-g007.jpg
https://cdn.ncbi.nlm.nih.gov/pmc/blobs/664f/2847142/f3085be2482c/JIAPS-14-85-g008.jpg
https://cdn.ncbi.nlm.nih.gov/pmc/blobs/664f/2847142/321438a50a76/JIAPS-14-85-g009.jpg
https://cdn.ncbi.nlm.nih.gov/pmc/blobs/664f/2847142/a8ceb74c48ef/JIAPS-14-85-g010.jpg
https://cdn.ncbi.nlm.nih.gov/pmc/blobs/664f/2847142/52c2e76e69c6/JIAPS-14-85-g001.jpg
https://cdn.ncbi.nlm.nih.gov/pmc/blobs/664f/2847142/bd2000d4e2ef/JIAPS-14-85-g002.jpg
https://cdn.ncbi.nlm.nih.gov/pmc/blobs/664f/2847142/5aa983c94adb/JIAPS-14-85-g003.jpg
https://cdn.ncbi.nlm.nih.gov/pmc/blobs/664f/2847142/7c53f93b14f8/JIAPS-14-85-g004.jpg
https://cdn.ncbi.nlm.nih.gov/pmc/blobs/664f/2847142/b9367e268dd1/JIAPS-14-85-g005.jpg
https://cdn.ncbi.nlm.nih.gov/pmc/blobs/664f/2847142/38f083f57300/JIAPS-14-85-g006.jpg
https://cdn.ncbi.nlm.nih.gov/pmc/blobs/664f/2847142/78c3b7e591bd/JIAPS-14-85-g007.jpg
https://cdn.ncbi.nlm.nih.gov/pmc/blobs/664f/2847142/f3085be2482c/JIAPS-14-85-g008.jpg
https://cdn.ncbi.nlm.nih.gov/pmc/blobs/664f/2847142/321438a50a76/JIAPS-14-85-g009.jpg
https://cdn.ncbi.nlm.nih.gov/pmc/blobs/664f/2847142/a8ceb74c48ef/JIAPS-14-85-g010.jpg

相似文献

1
Empyema thoracis: Surgical management in children.小儿脓胸:手术治疗
J Indian Assoc Pediatr Surg. 2009 Jul;14(3):85-93. doi: 10.4103/0971-9261.57698.
2
Decortication as an Option for Empyema Thoracis.胸腔积脓的剥除术治疗选择。
J Coll Physicians Surg Pak. 2020 Mar;30(3):313-317. doi: 10.29271/jcpsp.2020.03.313.
3
Use of thopaz in patients of empyema thoracis undergoing decortication.托帕兹在脓胸患者行胸膜剥脱术中的应用。
Lung India. 2020 Nov-Dec;37(6):511-517. doi: 10.4103/lungindia.lungindia_344_19.
4
Video-Assisted Thoracoscopic Surgery for Pediatric Empyema by Two-Port Technique: A Single-Center Experience with 167 Consecutive Cases.两孔技术电视辅助胸腔镜手术治疗小儿脓胸:单中心167例连续病例经验
J Indian Assoc Pediatr Surg. 2017 Jul-Sep;22(3):150-154. doi: 10.4103/jiaps.JIAPS_167_16.
5
Video-assisted thoracoscopic decortication for the management of late stage pleural empyema, is it feasible?电视辅助胸腔镜剥脱术治疗晚期胸膜脓胸是否可行?
Ann Thorac Med. 2016 Jan-Mar;11(1):71-8. doi: 10.4103/1817-1737.165293.
6
Efficacy of video-assisted thoracoscopic surgery (VATS) for management of empyema thoracis.电视辅助胸腔镜手术(VATS)治疗脓胸的疗效
J Med Assoc Thai. 2012 Jan;95 Suppl 1:S28-32.
7
Empyema Thoracis in Children: A 5-Year Experience in a Tertiary Care Institute.儿童脓胸:在一家三级医疗中心的5年经验
J Indian Assoc Pediatr Surg. 2019 Jul-Sep;24(3):197-202. doi: 10.4103/jiaps.JIAPS_112_18.
8
Primary thoracoscopic treatment of empyema in children.儿童脓胸的胸腔镜一期治疗
J Thorac Cardiovasc Surg. 2003 Jan;125(1):79-83; discussion 83-4. doi: 10.1067/mtc.2003.88.
9
Posttraumatic empyema thoracis: a 24-year experience at a major trauma center.创伤后脓胸:在一家大型创伤中心的24年经验
J Trauma. 1997 Nov;43(5):764-71. doi: 10.1097/00005373-199711000-00006.
10
Thoracoscopic drainage and decortication as definitive treatment for empyema thoracis following penetrating chest injury.胸腔镜引流及纤维板剥脱术作为穿透性胸部损伤后脓胸的确定性治疗方法。
J Trauma. 1994 Apr;36(4):536-9; discussion 539-40. doi: 10.1097/00005373-199404000-00013.

引用本文的文献

1
Debate 2: Is the Management of Childhood Empyema Primarily Medical, or Surgical?辩论2:儿童脓胸的治疗主要是内科治疗还是外科治疗?
Indian J Pediatr. 2023 Sep;90(9):915-919. doi: 10.1007/s12098-023-04589-7. Epub 2023 May 15.
2
Muscle-Sparing Skin Crease Incision Posterolateral Thoracotomies in Pediatric Patients: Our Experience.小儿患者的保留肌肉皮肤皱襞切口后外侧开胸术:我们的经验
J Indian Assoc Pediatr Surg. 2022 May-Jun;27(3):309-316. doi: 10.4103/jiaps.JIAPS_43_21. Epub 2022 May 12.
3
Surgical management of stage III pediatric empyema thoracis.

本文引用的文献

1
Childhood empyema in North-East Scotland over the past 15 years.过去15年苏格兰东北部儿童脓胸情况
Scott Med J. 2007 Nov;52(4):25-7. doi: 10.1258/rsmsmj.52.4.25.
2
Intrapleural streptokinase treatment in children with empyema.胸膜腔内注射链激酶治疗儿童脓胸
Eur J Pediatr. 2008 Jul;167(7):739-44. doi: 10.1007/s00431-007-0580-2. Epub 2007 Aug 21.
3
How should we manage empyema: antibiotics alone, fibrinolytics, or primary video-assisted thoracoscopic surgery (VATS)?我们应该如何治疗脓胸:仅用抗生素、纤溶剂,还是一期电视辅助胸腔镜手术(VATS)?
小儿Ⅲ期脓胸的外科治疗
Lung India. 2018 May-Jun;35(3):209-214. doi: 10.4103/lungindia.lungindia_227_17.
4
Video-Assisted Thoracoscopic Surgery for Pediatric Empyema by Two-Port Technique: A Single-Center Experience with 167 Consecutive Cases.两孔技术电视辅助胸腔镜手术治疗小儿脓胸:单中心167例连续病例经验
J Indian Assoc Pediatr Surg. 2017 Jul-Sep;22(3):150-154. doi: 10.4103/jiaps.JIAPS_167_16.
5
Analysis of Outcome of Intraplueral Streptokinase in Pediatric Empyema Thoracis even in Advanced Stages: A Prospective Study.胸膜腔内注射链激酶治疗小儿晚期脓胸的疗效分析:一项前瞻性研究。
Iran J Pediatr. 2015 Oct;25(5):e3154. doi: 10.5812/ijp.3154. Epub 2015 Oct 6.
6
A rare presentation of empyema necessitatis.一种罕见的脓胸穿破胸壁表现。
Lung India. 2011 Jan;28(1):73-4. doi: 10.4103/0970-2113.76311.
7
Surgical management and outcome analysis of stage III pediatric empyema thoracis.Ⅲ期小儿脓胸的外科治疗及结果分析
J Indian Assoc Pediatr Surg. 2010 Jan;15(1):9-14. doi: 10.4103/0971-9261.69134.
Semin Respir Crit Care Med. 2007 Jun;28(3):322-32. doi: 10.1055/s-2007-981653.
4
Early decortication in childhood empyema thoracis.儿童脓胸的早期胸膜剥脱术。
Acta Chir Belg. 2007 Mar-Apr;107(2):225-7.
5
Thoracic empyema, application of video-assisted thoracic surgery and its current management.胸腔积脓、电视辅助胸腔镜手术的应用及其当前的治疗方法
Curr Opin Pediatr. 2007 Jun;19(3):328-32. doi: 10.1097/MOP.0b013e32810c8e9d.
6
Less is best? The impact of urokinase as the first line management of empyema thoracis.少即是优?尿激酶作为胸腔积脓一线治疗方法的影响。
Pediatr Surg Int. 2007 Feb;23(2):129-33. doi: 10.1007/s00383-006-1806-5. Epub 2006 Sep 30.
7
Outcome of pediatric empyema thoracis managed by tube thoracostomy.小儿脓胸经胸腔闭式引流术治疗的结果
Asian Cardiovasc Thorac Ann. 2006 Apr;14(2):98-101. doi: 10.1177/021849230601400203.
8
Scoring system for empyema thoracis and help in management.脓胸评分系统及其在治疗中的作用。
Indian J Pediatr. 2005 Dec;72(12):1025-8. doi: 10.1007/BF02724404.
9
Surgical versus non-surgical management of pleural empyema.胸膜腔积脓的手术治疗与非手术治疗
Cochrane Database Syst Rev. 2005 Oct 19(4):CD001956. doi: 10.1002/14651858.CD001956.pub2.
10
U.K. Controlled trial of intrapleural streptokinase for pleural infection.英国胸膜内链激酶治疗胸膜感染的对照试验。
N Engl J Med. 2005 Mar 3;352(9):865-74. doi: 10.1056/NEJMoa042473.