Suppr超能文献

RFX 家族和 Sp1 对 Alström 综合征基因 ALMS1 的转录调控。

Transcriptional regulation of the Alström syndrome gene ALMS1 by members of the RFX family and Sp1.

机构信息

Centre for Human Development, Stem Cells and Regeneration, Human Genetics Division, University of Southampton, UK.

出版信息

Gene. 2010 Jul 15;460(1-2):20-9. doi: 10.1016/j.gene.2010.03.015. Epub 2010 Apr 8.

Abstract

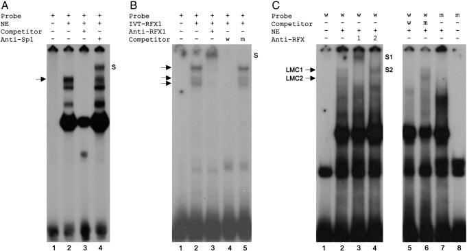
Mutations in the human gene ALMS1 cause Alström syndrome, a disorder characterised by neurosensory degeneration, metabolic defects and cardiomyopathy. ALMS1 encodes a centrosomal protein implicated in the assembly and maintenance of primary cilia. Expression of ALMS1 varies between tissues and recent data suggest that its transcription is modulated during adipogenesis and growth arrest. However the ALMS1 promoter has not been defined. This study focused on identifying and characterising the ALMS1 proximal promoter, initially by using 5' RACE to map transcription start sites. Luciferase reporter assay and EMSA data strongly suggest that ALMS1 transcription is regulated by the ubiquitous factor Sp1. In addition, reporter assay, EMSA, chromatin immunoprecipitation and RNA interference data indicate that ALMS1 transcription is regulated by regulatory factor X (RFX) proteins. These transcription factors are cell-type restricted in their expression profile and known to regulate genes of the ciliogenic pathway. We show binding of RFX proteins to an evolutionarily conserved X-box in the ALMS1 proximal promoter and present evidence that these proteins are responsible for ALMS1 transcription during growth arrest induced by low serum conditions. In summary, this work provides the first data on transcription factors regulating general and context-specific transcription of the disease-associated gene ALMS1.

摘要

人类基因 ALMS1 的突变会导致 Alström 综合征,这是一种以神经感觉退行性变、代谢缺陷和心肌病为特征的疾病。ALMS1 编码一种中心体蛋白,该蛋白参与初级纤毛的组装和维持。ALMS1 在组织之间的表达存在差异,最近的数据表明,其转录在脂肪生成和生长停滞期间受到调节。然而,ALMS1 启动子尚未被定义。本研究专注于鉴定和表征 ALMS1 的近端启动子,最初通过使用 5' RACE 来映射转录起始位点。荧光素酶报告基因测定和 EMSA 数据强烈表明,ALMS1 的转录受普遍存在的 Sp1 因子调节。此外,报告基因测定、EMSA、染色质免疫沉淀和 RNA 干扰数据表明,ALMS1 的转录受调节因子 X(RFX)蛋白调节。这些转录因子在其表达谱中具有细胞类型特异性,并且已知它们可以调节纤毛发生途径的基因。我们显示 RFX 蛋白与 ALMS1 近端启动子中的一个进化上保守的 X 盒结合,并提供证据表明,这些蛋白在低血清条件诱导的生长停滞期间负责 ALMS1 的转录。总之,这项工作提供了关于调节与疾病相关基因 ALMS1 的一般和特定于背景的转录的转录因子的首批数据。

https://cdn.ncbi.nlm.nih.gov/pmc/blobs/1c2d/2913254/95a732a6582e/gr1.jpg

文献AI研究员

20分钟写一篇综述,助力文献阅读效率提升50倍。

立即体验

用中文搜PubMed

大模型驱动的PubMed中文搜索引擎

马上搜索

文档翻译

学术文献翻译模型,支持多种主流文档格式。

立即体验