Suppr超能文献

在椎间盘胎儿发育过程中存在细胞外基质降解金属蛋白酶。

The presence of extracellular matrix degrading metalloproteinases during fetal development of the intervertebral disc.

机构信息

Department of Orthopaedics, University Medical Center Utrecht, Heidelberglaan 100, 3584 CX Utrecht, The Netherlands.

出版信息

Eur Spine J. 2010 Aug;19(8):1340-6. doi: 10.1007/s00586-010-1378-x. Epub 2010 Apr 10.

Abstract

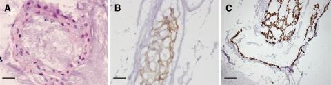
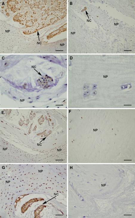
Matrix metalloproteinases (MMPs) regulate connective tissue architecture and cell migration through extracellular matrix (ECM) degradation and are associated with both physiological and pathological processes. Although they are known to play a role in skeletal development, little is known about the role of MMPs in intervertebral disc (IVD) development. Sixteen fetal human lumbar spine segments, obtained at autopsy, were compared with five normal, non-fetal L4-L5 IVDs. Intensity and/or localization of immunohistochemical staining for MMP-1, -2, -3 and -14 were evaluated by three independent observers. MMP-2 production and activation was quantified by gelatin zymography. MMP-1 and -14 were abundantly present in the nucleus pulposus (NP) and notochordal (NC) cells of the fetal IVDs. In non-fetal IVDs, MMP-1 and -14 staining was significantly less intense (p = 0.001 and p < 0.001, respectively). MMP-3 was found in almost the entire IVD with no significant difference from non-fetal IVDs. MMP-2 staining in the NC and NP cells of the fetal IVD was moderate, but weak in the non-fetal IVD. Gelatin zymography showed a negative correlation of age with MMP-2 activity (p < 0.001). MMP-14 immunostaining correlated positively with MMP-2 activity (p = 0.001). For the first time, the presence of MMP-1, -2, -3 and -14 in the fetal human IVD is shown and the high levels of MMP-1, -2 and -14 suggest a role in the development of the IVD. In particular, the gradual decrease in MMP-2 activation during gestation pinpoints this enzyme as key player in fetal development, possibly through activation by MMP-1 and -14.

摘要

基质金属蛋白酶(MMPs)通过细胞外基质(ECM)降解调节结缔组织结构和细胞迁移,与生理和病理过程有关。尽管已知它们在骨骼发育中起作用,但对 MMPs 在椎间盘(IVD)发育中的作用知之甚少。16 个人体腰椎节段,取自尸检,与 5 个正常非胎儿 L4-L5 IVD 进行了比较。通过三位独立观察者评估 MMP-1、-2、-3 和-14 的免疫组织化学染色强度和/或定位。通过明胶酶谱法定量 MMP-2 的产生和激活。MMP-1 和-14 在胎儿 IVD 的髓核(NP)和脊索(NC)细胞中大量存在。在非胎儿 IVD 中,MMP-1 和-14 染色强度显著降低(p = 0.001 和 p < 0.001)。MMP-3 几乎存在于整个 IVD 中,与非胎儿 IVD 无显着差异。胎儿 IVD 的 NC 和 NP 细胞中的 MMP-2 染色为中度,但在非胎儿 IVD 中较弱。明胶酶谱显示 MMP-2 活性与年龄呈负相关(p < 0.001)。MMP-14 免疫染色与 MMP-2 活性呈正相关(p = 0.001)。这是首次在胎儿人 IVD 中显示 MMP-1、-2、-3 和-14 的存在,并且 MMP-1、-2 和-14 的高水平表明它们在 IVD 发育中起作用。特别是,在妊娠期间 MMP-2 激活的逐渐降低将这种酶确定为胎儿发育的关键参与者,可能通过 MMP-1 和-14 的激活。

https://cdn.ncbi.nlm.nih.gov/pmc/blobs/e490/2989195/3bec851a13ce/586_2010_1378_Fig1_HTML.jpg

文献AI研究员

20分钟写一篇综述,助力文献阅读效率提升50倍。

立即体验

用中文搜PubMed

大模型驱动的PubMed中文搜索引擎

马上搜索

文档翻译

学术文献翻译模型,支持多种主流文档格式。

立即体验