Suppr超能文献

在铜(II)离子存在下谷胱甘肽对质粒DNA的化学切割。用于DNA链断裂的铜(II)-硫醇体系。

Chemical cleavage of plasmid DNA by glutathione in the presence of Cu(II) ions. The Cu(II)-thiol system for DNA strand scission.

作者信息

Reed C J, Douglas K T

机构信息

Department of Pharmacy, University of Manchester, U.K.

出版信息

Biochem J. 1991 May 1;275 ( Pt 3)(Pt 3):601-8. doi: 10.1042/bj2750601.

Abstract

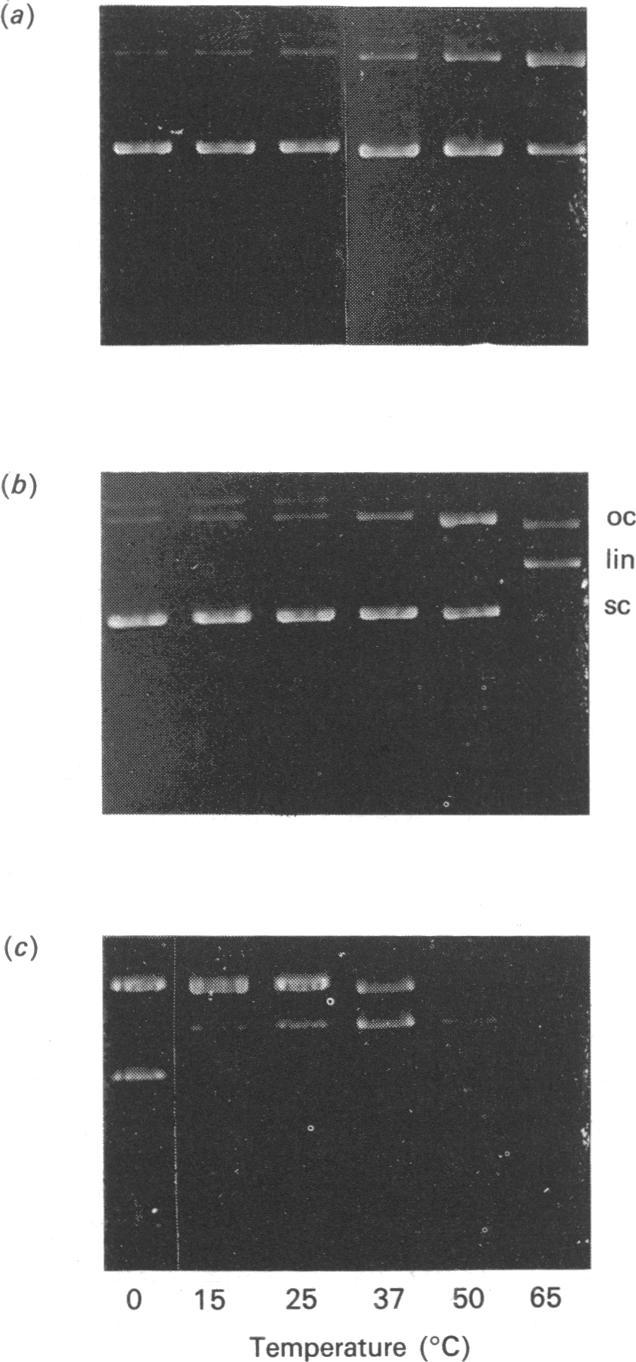
In the presence of Cu(II) ions, supercoiled DNA is cleaved in neutral solution by low concentrations of thiols. Supercoiled plasmid DNA is cleaved first to open circular DNA, which in turn produces linear DNA and eventually fragments. Cleavage is strongly temperature-dependent and is maximal at 0.10-0.25 M-NaCl concentration. In the presence of excess of either component of the Cu(II)-thiol pair, the extent of cleavage depended on the concentration of the limiting partner, and was easily detectable down to micromolar concentrations of limiting GSH. Scavengers of oxygen-derived species (such as hydrogen peroxide, superoxide radical ion and hydroxyl radical) indicated that the hydroxyl radical may be involved in the cleavage mechanism. DNA cleavage leads to some production of 2-thiobarbituric acid-reactive species and some of the cleavage sites, at least, had 5'-hydroxy and/or 3'-hydroxy groups. There was extensive base damage before cleavage. Studies with S1 nuclease indicated no gross sequence preference for Cu(II)-GSH cleavage of pSP64 plasmid DNA. The Cu(II)-thiol system did not appear to target special structural features in the DNA such as Z-DNA inserts, cruciform structures or left-handed (but non-Z) DNA. Cleavage might arise from a reagent generated either by the Cu(II)-thiol combination in free solution or by attack involving Cu(II) ions pre-bound to DNA. The attack of GSH plus Cu(II) ions on DNA may be a potential toxic lesion under physiological conditions unless special protective measures operate efficiently in the cell.

摘要

在铜(II)离子存在的情况下,超螺旋DNA在中性溶液中会被低浓度的硫醇切割。超螺旋质粒DNA首先被切割成开环DNA,开环DNA继而产生线性DNA,最终形成片段。切割强烈依赖于温度,在0.10 - 0.25M氯化钠浓度下达到最大值。在铜(II)-硫醇对中任何一种成分过量的情况下,切割程度取决于限制成分的浓度,低至微摩尔浓度的限制型谷胱甘肽(GSH)时仍易于检测到。氧衍生物种(如过氧化氢、超氧自由基离子和羟基自由基)的清除剂表明,羟基自由基可能参与了切割机制。DNA切割会导致一些2-硫代巴比妥酸反应性物种的产生,并且至少一些切割位点具有5'-羟基和/或3'-羟基基团。在切割之前存在广泛的碱基损伤。用S1核酸酶进行的研究表明,对于pSP64质粒DNA的铜(II)-谷胱甘肽切割没有明显的序列偏好。铜(II)-硫醇系统似乎并未靶向DNA中的特殊结构特征,如Z-DNA插入序列、十字形结构或左手螺旋(但非Z型)DNA。切割可能源于游离溶液中铜(II)-硫醇组合产生的试剂,或者源于与预先结合到DNA上的铜(II)离子相关的攻击。除非细胞中有特殊的保护措施有效发挥作用,否则谷胱甘肽加铜(II)离子对DNA的攻击在生理条件下可能是一种潜在的毒性损伤。

https://cdn.ncbi.nlm.nih.gov/pmc/blobs/214b/1150097/06ab02571545/biochemj00160-0063-a.jpg

文献检索

告别复杂PubMed语法,用中文像聊天一样搜索,搜遍4000万医学文献。AI智能推荐,让科研检索更轻松。

立即免费搜索

文件翻译

保留排版,准确专业,支持PDF/Word/PPT等文件格式,支持 12+语言互译。

免费翻译文档

深度研究

AI帮你快速写综述,25分钟生成高质量综述,智能提取关键信息,辅助科研写作。

立即免费体验