Suppr超能文献

ETS 转录因子控制前列腺癌细胞中 EZH2 的转录和肿瘤抑制基因 Nkx3.1 的表观遗传沉默。

ETS transcription factors control transcription of EZH2 and epigenetic silencing of the tumor suppressor gene Nkx3.1 in prostate cancer.

机构信息

Laboratory of Experimental Oncology, Oncology Institute of Southern Switzerland, Bellinzona, Switzerland.

出版信息

PLoS One. 2010 May 10;5(5):e10547. doi: 10.1371/journal.pone.0010547.

Abstract

BACKGROUND

ETS transcription factors regulate important signaling pathways involved in cell differentiation and development in many tissues and have emerged as important players in prostate cancer. However, the biological impact of ETS factors in prostate tumorigenesis is still debated.

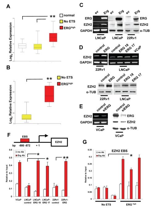
METHODOLOGY/PRINCIPAL FINDINGS: We performed an analysis of the ETS gene family using microarray data and real-time PCR in normal and tumor tissues along with functional studies in normal and cancer cell lines to understand the impact in prostate tumorigenesis and identify key targets of these transcription factors. We found frequent dysregulation of ETS genes with oncogenic (i.e., ERG and ESE1) and tumor suppressor (i.e., ESE3) properties in prostate tumors compared to normal prostate. Tumor subgroups (i.e., ERG(high), ESE1(high), ESE3(low) and NoETS tumors) were identified on the basis of their ETS expression status and showed distinct transcriptional and biological features. ERG(high) and ESE3(low) tumors had the most robust gene signatures with both distinct and overlapping features. Integrating genomic data with functional studies in multiple cell lines, we demonstrated that ERG and ESE3 controlled in opposite direction transcription of the Polycomb Group protein EZH2, a key gene in development, differentiation, stem cell biology and tumorigenesis. We further demonstrated that the prostate-specific tumor suppressor gene Nkx3.1 was controlled by ERG and ESE3 both directly and through induction of EZH2.

CONCLUSIONS/SIGNIFICANCE: These findings provide new insights into the role of the ETS transcriptional network in prostate tumorigenesis and uncover previously unrecognized links between aberrant expression of ETS factors, deregulation of epigenetic effectors and silencing of tumor suppressor genes. The link between aberrant ETS activity and epigenetic gene silencing may be relevant for the clinical management of prostate cancer and design of new therapeutic strategies.

摘要

背景

ETS 转录因子调节许多组织中细胞分化和发育所涉及的重要信号通路,它们已成为前列腺癌的重要参与者。然而,ETS 因子在前列腺肿瘤发生中的生物学影响仍存在争议。

方法/主要发现:我们使用微阵列数据和实时 PCR 分析了 ETS 基因家族,同时在正常和癌细胞系中进行了功能研究,以了解其在前列腺肿瘤发生中的影响,并确定这些转录因子的关键靶标。我们发现与正常前列腺相比,前列腺肿瘤中 ETS 基因经常失调,具有致癌(即 ERG 和 ESE1)和肿瘤抑制(即 ESE3)特性。根据 ETS 表达状态确定了肿瘤亚组(即 ERG(high)、ESE1(high)、ESE3(low)和 NoETS 肿瘤),并表现出不同的转录和生物学特征。ERG(high)和 ESE3(low)肿瘤具有最强大的基因特征,具有独特且重叠的特征。将基因组数据与多个细胞系中的功能研究相结合,我们证明 ERG 和 ESE3 以相反的方向控制多梳蛋白组蛋白 EZH2 的转录,EZH2 是发育、分化、干细胞生物学和肿瘤发生中的关键基因。我们进一步证明,前列腺特异性肿瘤抑制基因 Nkx3.1 受 ERG 和 ESE3 的直接和间接控制,通过诱导 EZH2 发挥作用。

结论/意义:这些发现为 ETS 转录网络在前列腺肿瘤发生中的作用提供了新的见解,并揭示了 ETS 因子异常表达、表观遗传效应因子失调和肿瘤抑制基因沉默之间以前未被认识到的联系。异常 ETS 活性与表观遗传基因沉默之间的联系可能与前列腺癌的临床管理和新治疗策略的设计有关。

https://cdn.ncbi.nlm.nih.gov/pmc/blobs/50a4/2866657/6fef8cf4c172/pone.0010547.g001.jpg

文献AI研究员

20分钟写一篇综述,助力文献阅读效率提升50倍。

立即体验

用中文搜PubMed

大模型驱动的PubMed中文搜索引擎

马上搜索

文档翻译

学术文献翻译模型,支持多种主流文档格式。

立即体验