Infectious Diseases Pathology Branch, Centers for Disease Control and Prevention, 1600 Clifton Road, MS G-32, Atlanta, GA 30333, USA.
Am J Pathol. 2010 Jul;177(1):166-75. doi: 10.2353/ajpath.2010.100115. Epub 2010 May 27.
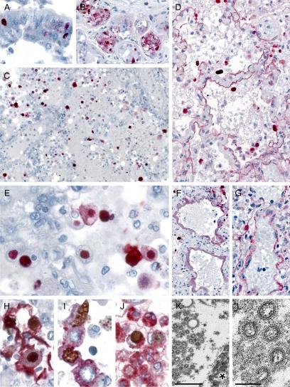
In the spring of 2009, a novel influenza A (H1N1) virus emerged in North America and spread worldwide to cause the first influenza pandemic since 1968. During the first 4 months, over 500 deaths in the United States had been associated with confirmed 2009 pandemic influenza A (H1N1) [2009 H1N1] virus infection. Pathological evaluation of respiratory specimens from initial influenza-associated deaths suggested marked differences in viral tropism and tissue damage compared with seasonal influenza and prompted further investigation. Available autopsy tissue samples were obtained from 100 US deaths with laboratory-confirmed 2009 H1N1 virus infection. Demographic and clinical data of these case-patients were collected, and the tissues were evaluated by multiple laboratory methods, including histopathological evaluation, special stains, molecular and immunohistochemical assays, viral culture, and electron microscopy. The most prominent histopathological feature observed was diffuse alveolar damage in the lung in all case-patients examined. Alveolar lining cells, including type I and type II pneumocytes, were the primary infected cells. Bacterial co-infections were identified in >25% of the case-patients. Viral pneumonia and immunolocalization of viral antigen in association with diffuse alveolar damage are prominent features of infection with 2009 pandemic influenza A (H1N1) virus. Underlying medical conditions and bacterial co-infections contributed to the fatal outcome of this infection. More studies are needed to understand the multifactorial pathogenesis of this infection.
2009 年春,一种新型甲型 H1N1 流感病毒在北美出现,并在全球范围内传播,引发了自 1968 年以来的首次流感大流行。在最初的 4 个月中,美国已有 500 多人死于经证实的 2009 年甲型 H1N1 流感[2009 H1N1]病毒感染。对最初与流感相关的死亡病例的呼吸道标本进行病理评估表明,与季节性流感相比,该病毒的嗜性和组织损伤存在明显差异,这促使人们进一步进行了调查。从美国 100 例经实验室确诊的 2009 年 H1N1 病毒感染所致死亡病例中获得了可用的尸检组织样本。收集了这些病例患者的人口统计学和临床数据,并通过多种实验室方法评估了这些组织,包括组织病理学评估、特殊染色、分子和免疫组织化学检测、病毒培养和电子显微镜检查。在所有接受检查的病例患者中,观察到的最突出的组织病理学特征是肺部弥漫性肺泡损伤。肺泡衬里细胞,包括 I 型和 II 型肺泡细胞,是主要感染细胞。在超过 25%的病例患者中鉴定出细菌合并感染。病毒性肺炎和弥漫性肺泡损伤相关的病毒抗原免疫定位是感染 2009 年甲型 H1N1 流感病毒的突出特征。基础疾病和细菌合并感染导致了这种感染的致命结局。需要进一步研究来了解这种感染的多因素发病机制。