Suppr超能文献

1 型多发性内分泌肿瘤合并原发性肝胃泌素瘤 1 例报告。

A case of multiple endocrine neoplasia type 1 with primary liver gastrinoma.

机构信息

Department of Endocrinology and Metabolism, Kyung Hee University School of Medicine, Seoul, Korea.

出版信息

J Korean Med Sci. 2010 Jun;25(6):953-6. doi: 10.3346/jkms.2010.25.6.953. Epub 2010 May 25.

Abstract

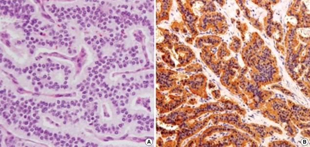
Gastrinoma is the most frequent functional pancreaticoduodenal endocrine tumor in patients with multiple endocrine neoplasia type 1 (MEN 1). Primary hepatic gastrinomas in MEN 1 are very rare, with no previous reports published in the literature. We reported the case of a 39 yr old female patient with a history of repeated peptic ulcers and a hypoglycemia episode. Abdominal CT indicated a well-defined liver mass and a pancreatic head mass. Somatostatin-receptor scintigraphy with [(111)In] DTPA octreotide demonstrated a strong uptake of the radiotracer in the left lateral segment at the site of the hepatic mass. After operation, immunohistochemical staining was consistent with pancreatic insulinoma and primary hepatic gastrinoma. As the liver is a common site of metastases from gastrinoma, primary liver gastrinoma has not yet been reported with MEN 1. We diagnosed this patient using immunohistochemical studies and treated this patient by hepatic segmentectomy.

摘要

胃泌素瘤是多发性内分泌肿瘤 1 型(MEN1)患者中最常见的功能性胰十二指肠内分泌肿瘤。MEN1 中的原发性肝胃泌素瘤非常罕见,文献中尚无报道。我们报告了一例 39 岁女性患者,有反复发作性消化性溃疡和低血糖发作病史。腹部 CT 提示肝内有一界限清楚的肿块和胰头部肿块。用 [(111)In] DTPA 奥曲肽进行生长抑素受体闪烁显像显示放射性示踪剂在肝肿块部位的左侧外侧段有强烈摄取。手术后,免疫组织化学染色与胰腺胰岛素瘤和原发性肝胃泌素瘤一致。由于肝脏是胃泌素瘤转移的常见部位,因此尚未报道 MEN1 伴原发性肝胃泌素瘤。我们通过免疫组织化学研究对该患者进行诊断,并通过肝段切除术对该患者进行治疗。

https://cdn.ncbi.nlm.nih.gov/pmc/blobs/2aa2/2877224/2a8f2abafc19/jkms-25-953-g001.jpg

文献AI研究员

20分钟写一篇综述,助力文献阅读效率提升50倍。

立即体验

用中文搜PubMed

大模型驱动的PubMed中文搜索引擎

马上搜索

文档翻译

学术文献翻译模型,支持多种主流文档格式。

立即体验