Suppr超能文献

二苯乙内酰脲(苯妥英)诱发的慢性肺部疾病。

Diphenylhydantoin (phenytoin)-induced chronic pulmonary disease.

作者信息

Dixit Ramakant, Dixit Kalpana, Nuwal Paras, Banerjee Arunima, Sharma Sidharth, Dave Lokendra

机构信息

Department of Pulmonary Medicine, J. L. N. Medical College, Ajmer, India.

出版信息

Lung India. 2009 Oct;26(4):155-8. doi: 10.4103/0970-2113.56356.

Abstract

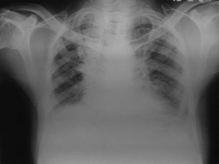
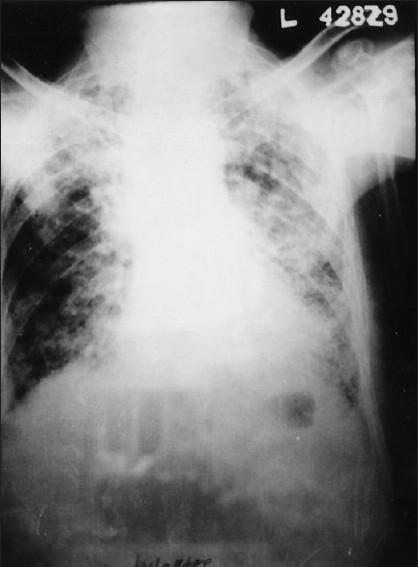
Drug-induced respiratory diseases are difficult to diagnose and therefore usually not identified, probably underestimated and under-reported. We report a case of diphenylhydantoin/phenytoin-induced chronic pulmonary disease in a 62-year-old male patient presenting with progressive dyspnea, eosinophilia, and pulmonary abnormalities. The importance of drug history in clinical history-taking and early diagnosis of drug-induced respiratory diseases is emphasized so as to prevent permanent pulmonary damage.

摘要

药物性呼吸道疾病难以诊断,因此通常未被识别,可能被低估且报告不足。我们报告一例62岁男性患者,因服用二苯乙内酰脲/苯妥英钠诱发慢性肺部疾病,该患者表现为进行性呼吸困难、嗜酸性粒细胞增多和肺部异常。强调了用药史在临床问诊及药物性呼吸道疾病早期诊断中的重要性,以预防永久性肺损伤。

https://cdn.ncbi.nlm.nih.gov/pmc/blobs/5734/2876707/1f31d762aeb8/LI-26-155-g001.jpg

文献检索

告别复杂PubMed语法,用中文像聊天一样搜索,搜遍4000万医学文献。AI智能推荐,让科研检索更轻松。

立即免费搜索

文件翻译

保留排版,准确专业,支持PDF/Word/PPT等文件格式,支持 12+语言互译。

免费翻译文档

深度研究

AI帮你快速写综述,25分钟生成高质量综述,智能提取关键信息,辅助科研写作。

立即免费体验