Suppr超能文献

胃癌肿瘤内和肿瘤周围淋巴管密度的不同意义:123 例回顾性研究。

Different significance between intratumoral and peritumoral lymphatic vessel density in gastric cancer: a retrospective study of 123 cases.

机构信息

Department of Gastroenternology, Institute of Digestive Disease, Tongji Hospital affiliated to Tongji University, Shanghai 200065, PR China.

出版信息

BMC Cancer. 2010 Jun 17;10:299. doi: 10.1186/1471-2407-10-299.

Abstract

BACKGROUND

Patients with gastric cancer in China have worse outcome and poorer prognosis. Tumor-induced lymphangiogenesis plays a crucial role in metastasis and tumor progression. The intratumoral and peritumoral lymphatics were supposed to have different biological effects. Three major growth factors, vascular endothelial growth factor- (VEGF)-A, VEGF-C and VEGF-D, are involved in the activation process via their receptors (VEGFRs). The purpose of current study is to investigate the significant difference between intratumoral and peritumoral lymphatic vessel density (LVD) in gastric cancer and their correlations with lymphangiogenetic growth factors.

METHODS

Intratumoral LVD (I-LVD) and peritumoral LVD (P-LVD) of 123 patients with primary gastric cancer were assessed after staining with D2-40, and confirmed by double staining with D2-40/CD34. Proliferative activity of lymphatics endothelium was evaluated by double staining with D2-40/Ki-67. The associations were analyzed between I-LVD/P-LVD and the expression level of VEGF-A, VEGF-C, VEGF-D and the receptor VEGFR-3, which was measured by immunohistochemistry (IHC). The correlations of I-LVD and P-LVD with patient prognosis were also valued.

RESULTS

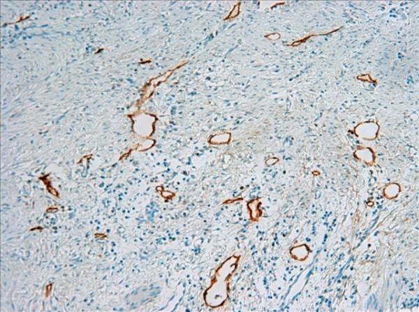
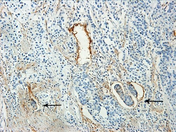
(1) The peritumoral lymphatics (PTLs) were relatively enlarged with dilated lumen compared with the intratumoral lymphatics (ITLs). Increased P-LVD was significantly higher than I-LVD (P < 0.05). (2) P-LVD was found significantly associated with lymph node metastasis (LNM) (P < 0.001), lymphatic vessel invasion (LVI) (P < 0.001), VEGF-C (P = 0.003), VEGF-D expression level (P = 0.005) and VEGFR-3 expression level (P < 0.001) in peritumoral tissues, despite no significant association was found between above variants with I-LVD. However, increased I-LVD was demonstrated to be associated with decreased tumor volume (P < 0.001). Neither I-LVD nor P-LVD was correlated with VEGF-A expression (P > 0.05). (3) Proliferative activity of lymphatics endothelium was observed in PTLs, in spite of ITLs. (4) Increased P-LVD, but not I-LVD, was indicated to be an independent risk factor for lymph node metastasis by multivariate logistic regression analysis, and was related to worse disease-free survival and overall survival.

CONCLUSIONS

PTLs play roles in gastric cancer progression. Increased P-LVD, but not I-LVD, was significantly associated with VEGF-C/-D/VEGFR-3 system, and could be an independent risk factor for lymph node metastasis and a prognostic factor in gastric cancer.

摘要

背景

中国的胃癌患者预后较差,生存时间较短。肿瘤诱导的淋巴管生成在转移和肿瘤进展中起着至关重要的作用。肿瘤内和肿瘤周围的淋巴管被认为具有不同的生物学作用。三种主要的生长因子,血管内皮生长因子-(VEGF)-A、VEGF-C 和 VEGF-D,通过其受体(VEGFRs)参与激活过程。本研究的目的是探讨胃癌中肿瘤内和肿瘤周围淋巴管密度(LVD)的显著差异及其与淋巴管生成生长因子的相关性。

方法

对 123 例原发性胃癌患者的肿瘤内 LVD(I-LVD)和肿瘤周围 LVD(P-LVD)进行 D2-40 染色后评估,并通过 D2-40/CD34 双重染色进行确认。淋巴管内皮细胞的增殖活性通过 D2-40/Ki-67 双重染色进行评估。通过免疫组织化学(IHC)测量 VEGF-A、VEGF-C、VEGF-D 和受体 VEGFR-3 的表达水平,分析 I-LVD/P-LVD 与这些因子之间的相关性。还评估了 I-LVD 和 P-LVD 与患者预后的相关性。

结果

(1)与肿瘤内淋巴管(ITLs)相比,肿瘤周围淋巴管(PTLs)相对扩张,管腔扩张。与 I-LVD 相比,P-LVD 明显升高(P<0.05)。(2)P-LVD 与淋巴结转移(LNM)(P<0.001)、淋巴管浸润(LVI)(P<0.001)、VEGF-C(P=0.003)、VEGF-D 表达水平(P=0.005)和 VEGFR-3 表达水平(P<0.001)显著相关,尽管与 I-LVD 无显著相关性。然而,增加的 I-LVD 与肿瘤体积减小相关(P<0.001)。I-LVD 和 P-LVD 均与 VEGF-A 表达无关(P>0.05)。(3)尽管 ITLs 中存在,但在 PTLs 中观察到淋巴管内皮细胞的增殖活性。(4)多变量逻辑回归分析表明,增加的 P-LVD 而不是 I-LVD 是淋巴结转移的独立危险因素,与无病生存和总生存时间相关较差。

结论

PTLs 在胃癌进展中起作用。增加的 P-LVD 与 VEGF-C/-D/VEGFR-3 系统显著相关,可作为淋巴结转移的独立危险因素和胃癌的预后因素。

https://cdn.ncbi.nlm.nih.gov/pmc/blobs/f42c/2906480/778791eed5ed/1471-2407-10-299-1.jpg

文献检索

告别复杂PubMed语法,用中文像聊天一样搜索,搜遍4000万医学文献。AI智能推荐,让科研检索更轻松。

立即免费搜索

文件翻译

保留排版,准确专业,支持PDF/Word/PPT等文件格式,支持 12+语言互译。

免费翻译文档

深度研究

AI帮你快速写综述,25分钟生成高质量综述,智能提取关键信息,辅助科研写作。

立即免费体验