Suppr超能文献

乳腺混合导管/小叶癌的临床行为:临床病理分析。

The clinical behavior of mixed ductal/lobular carcinoma of the breast: a clinicopathologic analysis.

机构信息

Division of Hematology-Oncology, Department of Internal Medicine, Southern Illinois University School of Medicine (SIU), Springfield, IL 62794-9677, USA.

出版信息

World J Surg Oncol. 2010 Jun 21;8:51. doi: 10.1186/1477-7819-8-51.

Abstract

BACKGROUND

To date, the clinical presentation and prognosis of mixed ductal/lobular mammary carcinomas has not been well studied, and little is known about the outcome of this entity. Thus, best management practices remain undetermined due to a dearth of knowledge on this topic.

METHODS

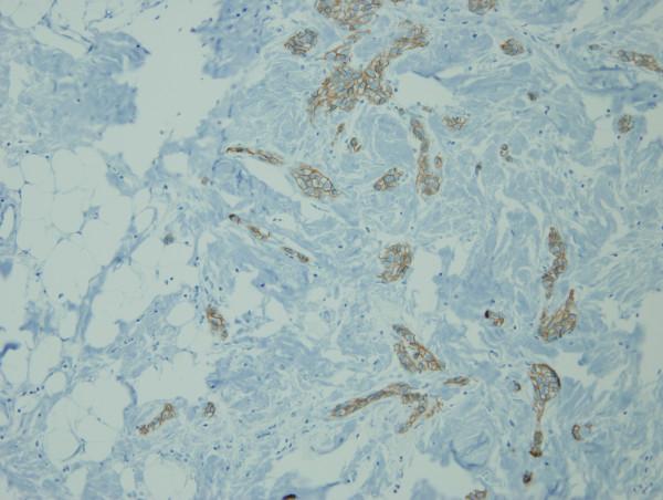
In this paper, we present a clinicopathologic analysis of patients at our institution with this entity and compare them to age-matched controls with purely invasive ductal carcinoma (IDC) and historical data from patients with purely lobular carcinoma and also stain-available tumor specimens for E-cadherin. We have obtained 100 cases of ductal and 50 cases of mixed ductal/lobular breast carcinoma.

RESULTS

Clinically, the behavior of mixed ductal/lobular tumors seemed to demonstrate some important differences from their ductal counterparts, particularly a lower rate of metastatic spread but with a much higher rate of second primary breast cancers.

CONCLUSIONS

Our data suggests that mixed ductal/lobular carcinomas are a distinct clinicopathologic entity incorporating some features of both lobular and ductal carcinomas and representing a pleomorphic variant of IDC.

摘要

背景

迄今为止,混合性导管/小叶乳腺癌的临床表现和预后尚未得到很好的研究,对于这种肿瘤的结果知之甚少。因此,由于缺乏对这一课题的了解,最佳的管理实践仍未确定。

方法

在本文中,我们对我院患有这种肿瘤的患者进行了临床病理分析,并将其与年龄匹配的单纯浸润性导管癌(IDC)对照组以及单纯小叶癌的历史数据进行了比较,同时还对可染色的肿瘤标本进行了 E-钙黏蛋白染色。我们获得了 100 例导管癌和 50 例混合性导管/小叶乳腺癌的标本。

结果

临床上,混合性导管/小叶肿瘤的行为似乎与导管型肿瘤有一些重要的区别,特别是转移扩散率较低,但第二原发乳腺癌的发生率要高得多。

结论

我们的数据表明,混合性导管/小叶癌是一种独特的临床病理实体,结合了小叶癌和导管癌的一些特征,代表了 IDC 的一种多形性变异。

https://cdn.ncbi.nlm.nih.gov/pmc/blobs/d0ff/2904770/dbcda97560a1/1477-7819-8-51-1.jpg

文献检索

告别复杂PubMed语法,用中文像聊天一样搜索,搜遍4000万医学文献。AI智能推荐,让科研检索更轻松。

立即免费搜索

文件翻译

保留排版,准确专业,支持PDF/Word/PPT等文件格式,支持 12+语言互译。

免费翻译文档

深度研究

AI帮你快速写综述,25分钟生成高质量综述,智能提取关键信息,辅助科研写作。

立即免费体验