Suppr超能文献

皮下皮样囊肿内发生的鳞状细胞癌。

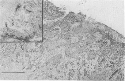
Squamous cell carcinoma arising in a subcutaneous dermoid cyst.

作者信息

Stephenson G C, Ironside J W

机构信息

Department of Neurosurgery, General Infirmary, Leeds, UK.

出版信息

Postgrad Med J. 1991 Jan;67(783):84-6. doi: 10.1136/pgmj.67.783.84.

Abstract

A case of malignant transformation to a squamous cell carcinoma in a long-standing subcutaneous dermoid cyst in a 44 year old man is presented. Malignant transformation in dermoid cysts is extremely uncommon and has never previously been recorded at this site. The need for adequate investigation and treatment of superficial midline lesions presenting in childhood is emphasized.

摘要

本文报告了一例44岁男性长期存在的皮下皮样囊肿恶变为鳞状细胞癌的病例。皮样囊肿的恶性转化极为罕见,此前该部位从未有过相关记录。强调了对儿童期出现的浅表中线病变进行充分检查和治疗的必要性。

https://cdn.ncbi.nlm.nih.gov/pmc/blobs/3ad6/2398958/0390d65e7574/postmedj00073-0087-a.jpg

文献检索

告别复杂PubMed语法,用中文像聊天一样搜索,搜遍4000万医学文献。AI智能推荐,让科研检索更轻松。

立即免费搜索

文件翻译

保留排版,准确专业,支持PDF/Word/PPT等文件格式,支持 12+语言互译。

免费翻译文档

深度研究

AI帮你快速写综述,25分钟生成高质量综述,智能提取关键信息,辅助科研写作。

立即免费体验