Department of Surgery, Second Affiliated Hospital, School of Medicine, Zhejiang University, Zhejiang Province 310009, People's Republic of China.
Korean J Radiol. 2010 Jul-Aug;11(4):472-5. doi: 10.3348/kjr.2010.11.4.472. Epub 2010 Jun 21.
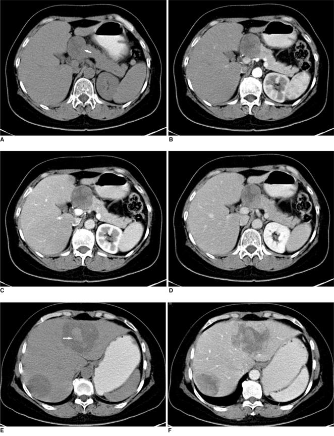
Extragonadal yolk sac tumor (YST) is a relatively rare entity. We describe here the case of an extragonadal YST that occurred in the pancreas with hepatic metastasis in an adult woman. The contrast enhanced CT images of the abdomen revealed a heterogeneous, solitary mass occupying the pancreatic neck and body with slightly inhomogeneous contrast enhancement. Two low-density lesions in the liver were also displayed on the CT images. The patient underwent surgery and the diagnosis of YST was pathologically verified.
卵巢外卵黄囊瘤(YST)是一种相对罕见的实体瘤。我们在此描述了一例发生于成人女性胰腺的卵巢外 YST 伴肝转移病例。腹部增强 CT 图像显示一个混杂、单发的肿块占据胰颈和体部,轻度不均匀强化。CT 图像还显示肝脏有两个低密度病灶。患者接受了手术,YST 的诊断得到了病理证实。