Kuang Hongmei, Zhang Chun, Gong Honghan, Guo Linghong, Yu Chen, Zeng Xianjun
Department of Radiology, The First Affiliated Hospital of Nanchang University, Nanchang, Jiangxi 330006, P.R. China.
Oncol Lett. 2014 Oct;8(4):1713-1716. doi: 10.3892/ol.2014.2340. Epub 2014 Jul 10.
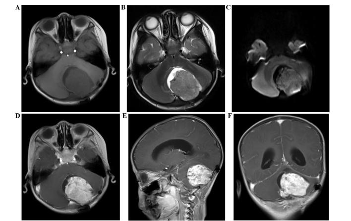
Endodermal sinus tumors are rare malignant germ cell tumors that usually originate from the gonads and are rarely observed extragonadally. Pure primary endodermal sinus tumors of the cerebellar hemisphere are extremely rare and patients diagnosed with the disease often have a poor prognosis. The symptoms of YSTs are unspecific and associated with the location of tumors. Intracranial YSTs (such as cerebellar hemispheres) always present with symptoms including headache and poor vision. The present study reports the case of a three-year-old male who presented to The First Affiliated Hospital of Nanchang University (Nanchang, China) with a headache that had persisted for one month, and then worsened for the last 10 days. This was accompanied by vomiting and gait disturbance. An abnormal signal mass was identified in the left cerebellar hemisphere on brain magnetic resonance imaging. The case initially presented as a medulloblastoma and the patient was followed up for six months. The final pathology report revealed an endodermal sinus tumor, also known as a yolk sac tumor. Six months following resection of the left cerebellar tumor, the patient succumbed to recurrence of the disease, due to acute vomiting and severe headache.
内胚窦瘤是一种罕见的恶性生殖细胞肿瘤,通常起源于性腺,极少在性腺外发现。小脑半球的纯原发性内胚窦瘤极其罕见,被诊断出患有这种疾病的患者预后通常很差。卵黄囊瘤的症状不具有特异性,且与肿瘤位置有关。颅内卵黄囊瘤(如小脑半球)常表现出头痛和视力减退等症状。本研究报告了一名3岁男性病例,该患者因持续一个月的头痛前来南昌大学第一附属医院(中国南昌)就诊,在过去10天病情加重,伴有呕吐和步态障碍。脑部磁共振成像显示左侧小脑半球有异常信号肿块。该病例最初表现为髓母细胞瘤,对患者进行了6个月的随访。最终病理报告显示为内胚窦瘤,也称为卵黄囊瘤。切除左侧小脑肿瘤6个月后,患者因急性呕吐和严重头痛死于疾病复发。