• 文献检索
  • 文档翻译
  • 深度研究
  • 学术资讯
  • Suppr Zotero 插件Zotero 插件
  • 邀请有礼
  • 套餐&价格
  • 历史记录
应用&插件
Suppr Zotero 插件Zotero 插件浏览器插件Mac 客户端Windows 客户端微信小程序
定价
高级版会员购买积分包购买API积分包
服务
文献检索文档翻译深度研究API 文档MCP 服务
关于我们
关于 Suppr公司介绍联系我们用户协议隐私条款
关注我们

Suppr 超能文献

核心技术专利:CN118964589B侵权必究
粤ICP备2023148730 号-1Suppr @ 2026

文献检索

告别复杂PubMed语法,用中文像聊天一样搜索,搜遍4000万医学文献。AI智能推荐,让科研检索更轻松。

立即免费搜索

文件翻译

保留排版,准确专业,支持PDF/Word/PPT等文件格式,支持 12+语言互译。

免费翻译文档

深度研究

AI帮你快速写综述,25分钟生成高质量综述,智能提取关键信息,辅助科研写作。

立即免费体验

一名绝经前女性患有多器官转移的子宫内膜样腺癌。

Endometrioid endometrial adenocarcinoma in a premenopausal woman with multiple organ metastases.

作者信息

Srikantia Nirmala, B Rekha, A G Rajeev, Kalyan Suman N

机构信息

Department of Radiotherapy, M S Ramaiah Medical College and Hospital, MSRIT Post, Bangalore - 560085.

出版信息

Indian J Med Paediatr Oncol. 2009 Apr;30(2):80-3. doi: 10.4103/0971-5851.60053.

DOI:10.4103/0971-5851.60053
PMID:20596308
原文链接:https://pmc.ncbi.nlm.nih.gov/articles/PMC2885881/
Abstract

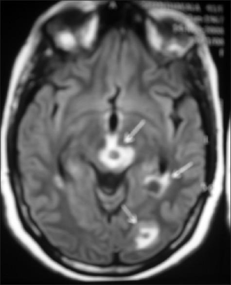
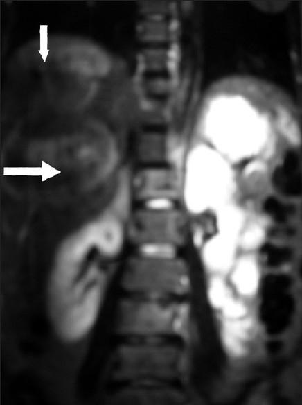
Endometrial adenocarcinoma is the third common malignancy of the female genital tract occurring most often in the postmenopausal age group. High tumor grade, advanced surgical stage, and lymphovascular space invasion are implicated as poor prognostic factors for dissemination of disease. We present an unusual case of endometrial adenocarcinoma in a premenopausal woman with simultaneous metastases in brain, liver, skin and skeletal system, within one month of completion of treatment. The role of adjuvant/concurrent chemotherapy in addition to radiotherapy in high risk cases is discussed along with the review of literature.

摘要

子宫内膜腺癌是女性生殖道第三常见的恶性肿瘤,最常发生于绝经后年龄组。高肿瘤分级、手术分期晚以及淋巴管间隙浸润被认为是疾病播散的不良预后因素。我们报告了一例绝经前女性子宫内膜腺癌的罕见病例,在完成治疗后的一个月内,脑、肝、皮肤和骨骼系统同时出现转移。本文结合文献复习,讨论了高危病例中辅助/同步化疗联合放疗的作用。

https://cdn.ncbi.nlm.nih.gov/pmc/blobs/c8aa/2885881/2bb02ff9efd2/IJMPO-30-80-g005.jpg
https://cdn.ncbi.nlm.nih.gov/pmc/blobs/c8aa/2885881/49f6404fe859/IJMPO-30-80-g001.jpg
https://cdn.ncbi.nlm.nih.gov/pmc/blobs/c8aa/2885881/a4c3f3bea27f/IJMPO-30-80-g002.jpg
https://cdn.ncbi.nlm.nih.gov/pmc/blobs/c8aa/2885881/46b44cdc56c7/IJMPO-30-80-g003.jpg
https://cdn.ncbi.nlm.nih.gov/pmc/blobs/c8aa/2885881/b813d08a543f/IJMPO-30-80-g004.jpg
https://cdn.ncbi.nlm.nih.gov/pmc/blobs/c8aa/2885881/2bb02ff9efd2/IJMPO-30-80-g005.jpg
https://cdn.ncbi.nlm.nih.gov/pmc/blobs/c8aa/2885881/49f6404fe859/IJMPO-30-80-g001.jpg
https://cdn.ncbi.nlm.nih.gov/pmc/blobs/c8aa/2885881/a4c3f3bea27f/IJMPO-30-80-g002.jpg
https://cdn.ncbi.nlm.nih.gov/pmc/blobs/c8aa/2885881/46b44cdc56c7/IJMPO-30-80-g003.jpg
https://cdn.ncbi.nlm.nih.gov/pmc/blobs/c8aa/2885881/b813d08a543f/IJMPO-30-80-g004.jpg
https://cdn.ncbi.nlm.nih.gov/pmc/blobs/c8aa/2885881/2bb02ff9efd2/IJMPO-30-80-g005.jpg

相似文献

1
Endometrioid endometrial adenocarcinoma in a premenopausal woman with multiple organ metastases.一名绝经前女性患有多器官转移的子宫内膜样腺癌。
Indian J Med Paediatr Oncol. 2009 Apr;30(2):80-3. doi: 10.4103/0971-5851.60053.
2
Low-dose adjuvant vaginal cylinder brachytherapy for early-stage non-endometrioid endometrial cancer: recurrence risk and survival outcomes.低剂量辅助阴道柱状施源器近距离放疗治疗早期非子宫内膜样型子宫内膜癌:复发风险和生存结局。
Int J Gynecol Cancer. 2020 Dec;30(12):1908-1914. doi: 10.1136/ijgc-2020-001623. Epub 2020 Jul 12.
3
Endometrioid Adenocarcinoma Arising in Adenomyoma in a Woman with a Genital Prolapse - Case Report.子宫脱垂女性子宫腺肌病中发生的子宫内膜样腺癌——病例报告
Open Access Maced J Med Sci. 2018 Jun 14;6(6):1091-1094. doi: 10.3889/oamjms.2018.239. eCollection 2018 Jun 20.
4
A modern assessment of the surgical pathologic spread and nodal dissemination of endometrial cancer.子宫内膜癌的外科病理扩散和淋巴结转移的现代评估。
Gynecol Oncol. 2020 May;157(2):329-334. doi: 10.1016/j.ygyno.2020.02.014. Epub 2020 Feb 21.
5
A tumor board report of an 83-year-old woman with stage IB grade 3 endometrioid endometrial adenocarcinoma.一位 83 岁女性子宫内膜样腺癌 IB 期 G3 的肿瘤报告。
Curr Probl Cancer. 2019 Oct;43(5):443-449. doi: 10.1016/j.currproblcancer.2019.01.006. Epub 2019 Feb 7.
6
Role of adjuvant therapy in stage IIIC2 endometrial cancer.辅助治疗在 IIIC2 期子宫内膜癌中的作用。
Int J Gynecol Cancer. 2020 Aug;30(8):1169-1176. doi: 10.1136/ijgc-2020-001446. Epub 2020 Jul 9.
7
Survival and disease relapse in surgical stage I endometrioid adenocarcinoma of the uterus after adjuvant vaginal vault brachytherapy.辅助阴道穹窿近距离放疗后手术 I 期子宫内膜样腺癌的生存和疾病复发。
Int J Gynecol Cancer. 2010 May;20(4):564-9. doi: 10.1111/IGC.0b013e3181d7ce94.
8
p53 aberrations in low grade endometrioid carcinoma of the endometrium with nodal metastases: possible insights on pathogenesis discerned from immunohistochemistry.伴有淋巴结转移的子宫内膜低级别子宫内膜样癌中的p53畸变:从免疫组织化学中洞察发病机制的可能线索
Diagn Pathol. 2017 Nov 14;12(1):81. doi: 10.1186/s13000-017-0668-6.
9
Clinicopathological characteristics, treatment and outcomes in uterine carcinosarcoma and grade 3 endometrial cancer patients: a comparative study.子宫癌肉瘤与3级子宫内膜癌患者的临床病理特征、治疗及预后:一项对比研究
J Gynecol Oncol. 2016 Mar;27(2):e18. doi: 10.3802/jgo.2016.27.e18. Epub 2015 Oct 12.
10
[Clinicopathologic and survival analysis of synchronous primary endometrial and ovarian cancer].同步原发性子宫内膜癌和卵巢癌的临床病理及生存分析
Zhonghua Fu Chan Ke Za Zhi. 2018 Dec 25;53(12):816-822. doi: 10.3760/cma.j.issn.0529-567x.2018.12.004.

引用本文的文献

1
Brain Metastasis in Endometrial Cancer: A Systematic Review.子宫内膜癌脑转移:一项系统综述
Cancers (Basel). 2025 Jan 25;17(3):402. doi: 10.3390/cancers17030402.
2
Exploring the Potential Link between PFAS Exposure and Endometrial Cancer: A Review of Environmental and Sociodemographic Factors.探索全氟烷基和多氟烷基物质暴露与子宫内膜癌之间的潜在联系:环境和社会人口学因素综述
Cancers (Basel). 2024 Feb 28;16(5):983. doi: 10.3390/cancers16050983.
3
Immunohistochemical Expression of BCL-2 in Endometrial Carcinoma and Its Comparison With Hormone Receptor Status and Epidermal Growth Factor.

本文引用的文献

1
Lymph-vascular space involvement and outer one-third myometrial invasion are strong predictors of distant haematogeneous failures in patients with stage I-II endometrioid-type endometrial cancer.在I-II期子宫内膜样型子宫内膜癌患者中,淋巴管间隙受累和肌层外三分之一浸润是远处血行转移失败的有力预测指标。
Anticancer Res. 2009 May;29(5):1715-20.
2
[Gynecologic cancer].[妇科癌症]
Gan To Kagaku Ryoho. 2008 Sep;35(9):1488-94.
3
Adjuvant chemotherapy as treatment of high-risk stage I and II endometrial cancer.辅助化疗作为高危Ⅰ期和Ⅱ期子宫内膜癌的治疗方法。
BCL-2在子宫内膜癌中的免疫组化表达及其与激素受体状态和表皮生长因子的比较
Cureus. 2023 Jan 4;15(1):e33346. doi: 10.7759/cureus.33346. eCollection 2023 Jan.
4
Machine Learning for Endometrial Cancer Prediction and Prognostication.用于子宫内膜癌预测和预后评估的机器学习
Front Oncol. 2022 Jul 27;12:852746. doi: 10.3389/fonc.2022.852746. eCollection 2022.
5
Testosterone-Secreting Endometrioid Ovarian Carcinoma Presenting With Hyperandrogenism.以高雄激素血症为表现的分泌睾酮的子宫内膜样卵巢癌。
AACE Clin Case Rep. 2022 Jan 25;8(3):135-138. doi: 10.1016/j.aace.2022.01.003. eCollection 2022 May-Jun.
6
High-intermediate risk endometrial cancer: moving toward a molecularly based risk assessment profile.高-中风险子宫内膜癌:朝着基于分子的风险评估特征迈进。
Int J Clin Oncol. 2022 Feb;27(2):323-331. doi: 10.1007/s10147-021-02089-2. Epub 2022 Jan 17.
7
Combined Open and Endoscopic Endonasal Skull Base Resection of a Rare Endometrial Carcinoma Metastasis.开放手术联合鼻内镜下经鼻颅底切除术治疗罕见的子宫内膜癌转移瘤
J Neurol Surg Rep. 2018 Jan;79(1):e9-e13. doi: 10.1055/s-0038-1635098. Epub 2018 Feb 22.
Gynecol Oncol. 2004 Aug;94(2):333-9. doi: 10.1016/j.ygyno.2004.05.040.
4
Current treatment options for endometrial cancer.子宫内膜癌的当前治疗选择。
Expert Rev Anticancer Ther. 2004 Aug;4(4):679-89. doi: 10.1586/14737140.4.4.679.
5
Brain metastases from endometrial carcinoma: a retrospective study.子宫内膜癌脑转移:一项回顾性研究。
Gynecol Oncol. 2004 May;93(2):524-8. doi: 10.1016/j.ygyno.2004.02.006.
6
Preliminary analysis of RTOG 9708: Adjuvant postoperative radiotherapy combined with cisplatin/paclitaxel chemotherapy after surgery for patients with high-risk endometrial cancer.放射治疗肿瘤学组(RTOG)9708初步分析:高危子宫内膜癌患者术后辅助性放疗联合顺铂/紫杉醇化疗。
Int J Radiat Oncol Biol Phys. 2004 May 1;59(1):168-73. doi: 10.1016/j.ijrobp.2003.10.019.
7
Endometrial endometrioid adenocarcinoma in a premenopausal woman presenting with metastasis to bone: a case report and review of the literature.一名绝经前女性子宫内膜样腺癌伴骨转移:病例报告及文献复习
Int J Gynecol Pathol. 2002 Jul;21(3):281-4. doi: 10.1097/00004347-200207000-00013.
8
Endometrial adenocarcinoma metastatic to the scalp: case report and literature review.子宫内膜腺癌转移至头皮:病例报告及文献综述
Gynecol Oncol. 1997 Jun;65(3):530-3. doi: 10.1006/gyno.1997.4718.