Suppr超能文献

侵袭性导管癌伴面部和颅骨多发转移:一例报告

Invasive ductal carcinoma with multiple metastases to facial and cranial bones: a case report.

作者信息

Ertas Umit, Yalcin Ertan, Erdogan Fazli

机构信息

Associate Professor, Ataturk University, Faculty of Dentistry, Department of Oral and Maxillofacial Surgery, Erzurum, Turkey.

出版信息

Eur J Dent. 2010 Jul;4(3):334-7.

Abstract

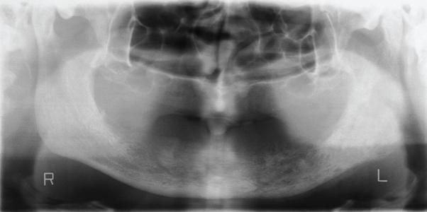
Female breast cancer is one of the major causes of death among women. Metastatic tumors to the maxillo-facial bones are rare. We present diagnosis and treatment of multiple metastatic invasive ductal carcinoma involving massive and early stage the left half of the mandibular body, the floor of the orbit, maxilla, left parietal bone, the iliac bone and cervical and thoracal vertebras in a 36 years old female one and half years after operated.

摘要

女性乳腺癌是女性死亡的主要原因之一。发生于颌面骨的转移性肿瘤较为罕见。我们报告了一例36岁女性患者,在接受手术一年半后,出现了多处转移性浸润性导管癌,累及左侧下颌体大部及早期阶段、眶底、上颌骨、左侧顶骨、髂骨以及颈椎和胸椎。

https://cdn.ncbi.nlm.nih.gov/pmc/blobs/4a32/2897869/418b0edbdf44/DENT-4-335-g1.jpg

文献AI研究员

20分钟写一篇综述,助力文献阅读效率提升50倍。

立即体验

用中文搜PubMed

大模型驱动的PubMed中文搜索引擎

马上搜索

文档翻译

学术文献翻译模型,支持多种主流文档格式。

立即体验