Suppr超能文献

迁移性和断裂性食管支架导致的回肠末端穿孔

Terminal Ileum Perforation as a Consequence of a Migrated and Fractured Oesophageal Stent.

作者信息

Reddy V M, Sutton C D, Miller A S

机构信息

Department of General Surgery, Leicester Royal Infirmary, Leicester, UK.

出版信息

Case Rep Gastroenterol. 2009 Apr 15;3(1):61-66. doi: 10.1159/000210542.

Abstract

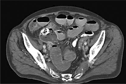
Covered self-expanding metallic stents are commonly employed to relieve malignant oesophageal obstruction. We report a case of a patient with oesophageal cancer treated by stent insertion and curative chemoradiotherapy with subsequent stent migration to the stomach. The stent fractured with the distal fragment migrating as far as the terminal ileum where it caused perforation of the bowel.

摘要

覆膜自膨式金属支架常用于缓解恶性食管梗阻。我们报告一例食管癌患者,接受了支架置入及根治性放化疗,随后支架迁移至胃内。支架发生断裂,远端碎片迁移至回肠末端,导致肠穿孔。

https://cdn.ncbi.nlm.nih.gov/pmc/blobs/fcc6/2895178/3362e5f4b721/crg0003-0061-f01.jpg

文献AI研究员

20分钟写一篇综述,助力文献阅读效率提升50倍。

立即体验

用中文搜PubMed

大模型驱动的PubMed中文搜索引擎

马上搜索

文档翻译

学术文献翻译模型,支持多种主流文档格式。

立即体验