• 文献检索
  • 文档翻译
  • 深度研究
  • 学术资讯
  • Suppr Zotero 插件Zotero 插件
  • 邀请有礼
  • 套餐&价格
  • 历史记录
应用&插件
Suppr Zotero 插件Zotero 插件浏览器插件Mac 客户端Windows 客户端微信小程序
定价
高级版会员购买积分包购买API积分包
服务
文献检索文档翻译深度研究API 文档MCP 服务
关于我们
关于 Suppr公司介绍联系我们用户协议隐私条款
关注我们

Suppr 超能文献

核心技术专利:CN118964589B侵权必究
粤ICP备2023148730 号-1Suppr @ 2026

文献检索

告别复杂PubMed语法,用中文像聊天一样搜索,搜遍4000万医学文献。AI智能推荐,让科研检索更轻松。

立即免费搜索

文件翻译

保留排版,准确专业,支持PDF/Word/PPT等文件格式,支持 12+语言互译。

免费翻译文档

深度研究

AI帮你快速写综述,25分钟生成高质量综述,智能提取关键信息,辅助科研写作。

立即免费体验

慢性外源性生长激素水平对大鼠饮食诱导性肝脂肪变性的预防作用。

Preventive effects of chronic exogenous growth hormone levels on diet-induced hepatic steatosis in rats.

机构信息

Department of Clinical Biochemistry, Chinese People's Liberation Army General Hospital, 28 Fu-Xing Road, Beijing, China.

出版信息

Lipids Health Dis. 2010 Jul 26;9:78. doi: 10.1186/1476-511X-9-78.

DOI:10.1186/1476-511X-9-78
PMID:20653983
原文链接:https://pmc.ncbi.nlm.nih.gov/articles/PMC2918616/
Abstract

BACKGROUND

Non-alcoholic fatty liver disease (NAFLD), which is characterized by hepatic steatosis, can be reversed by early treatment. Several case reports have indicated that the administration of recombinant growth hormone (GH) could improve fatty liver in GH-deficient patients. Here, we investigated whether chronic exogenous GH levels could improve hepatic steatosis induced by a high-fat diet in rats, and explored the underlying mechanisms.

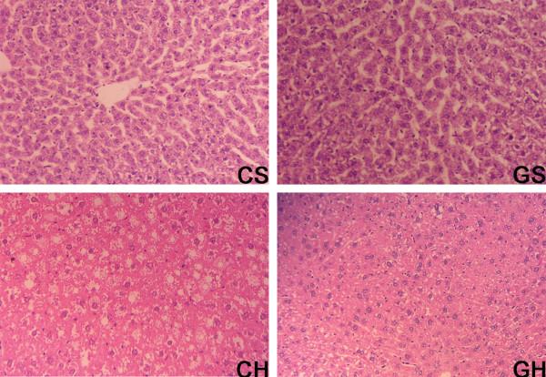
RESULTS

High-fat diet-fed rats developed abdominal obesity, fatty liver and insulin resistance. Chronic exogenous GH improved fatty liver, by reversing dyslipidaemia, fat accumulation and insulin resistance. Exogenous GH also reduced serum tumour necrosis factor-alpha (TNF-alpha) levels, and ameliorated hepatic lipid peroxidation and oxidative stress. Hepatic fat deposition was also reduced by exogenous GH levels, as was the expression of adipocyte-derived adipokines (adiponectin, leptin and resistin), which might improve lipid metabolism and hepatic steatosis. Exogenous GH seems to improve fatty liver by reducing fat weight, improving insulin sensitivity and correcting oxidative stress, which may be achieved through phosphorylation or dephosphorylation of a group of signal transducers and activators of hepatic signal transduction pathways.

CONCLUSIONS

Chronic exogenous GH has positive effects on fatty liver and may be a potential clinical application in the prevention or reversal of fatty liver. However, chronic secretion of exogenous GH, even at a low level, may increase serum glucose and insulin levels in rats fed a standard diet, and thus increase the risk of insulin resistance.

摘要

背景

非酒精性脂肪性肝病(NAFLD)的特征为肝脂肪变性,早期治疗可逆转。一些病例报告表明,重组生长激素(GH)的给药可以改善 GH 缺乏症患者的脂肪肝。在这里,我们研究了慢性外源性 GH 水平是否可以改善高脂肪饮食诱导的大鼠肝脂肪变性,并探讨了潜在的机制。

结果

高脂肪饮食喂养的大鼠出现腹部肥胖、脂肪肝和胰岛素抵抗。慢性外源性 GH 通过逆转血脂异常、脂肪堆积和胰岛素抵抗改善了脂肪肝。外源性 GH 还降低了血清肿瘤坏死因子-α(TNF-α)水平,并改善了肝脂质过氧化和氧化应激。外源性 GH 还降低了肝脂肪沉积,以及脂肪细胞衍生的脂肪因子(脂联素、瘦素和抵抗素)的表达,这可能改善了脂质代谢和肝脂肪变性。外源性 GH 通过减少脂肪重量、改善胰岛素敏感性和纠正氧化应激来改善脂肪肝,这可能是通过磷酸化或去磷酸化一组肝信号转导途径的信号转导物和激活物来实现的。

结论

慢性外源性 GH 对脂肪肝有积极作用,可能是预防或逆转脂肪肝的潜在临床应用。然而,即使在低水平下,慢性分泌外源性 GH 也会增加标准饮食喂养大鼠的血清葡萄糖和胰岛素水平,从而增加胰岛素抵抗的风险。

https://cdn.ncbi.nlm.nih.gov/pmc/blobs/0a75/2918616/bf4165950cd3/1476-511X-9-78-5.jpg
https://cdn.ncbi.nlm.nih.gov/pmc/blobs/0a75/2918616/ea4e2d45a08b/1476-511X-9-78-1.jpg
https://cdn.ncbi.nlm.nih.gov/pmc/blobs/0a75/2918616/1dbf45a8b2c3/1476-511X-9-78-2.jpg
https://cdn.ncbi.nlm.nih.gov/pmc/blobs/0a75/2918616/6cd18f335e47/1476-511X-9-78-3.jpg
https://cdn.ncbi.nlm.nih.gov/pmc/blobs/0a75/2918616/4ebf752177e8/1476-511X-9-78-4.jpg
https://cdn.ncbi.nlm.nih.gov/pmc/blobs/0a75/2918616/bf4165950cd3/1476-511X-9-78-5.jpg
https://cdn.ncbi.nlm.nih.gov/pmc/blobs/0a75/2918616/ea4e2d45a08b/1476-511X-9-78-1.jpg
https://cdn.ncbi.nlm.nih.gov/pmc/blobs/0a75/2918616/1dbf45a8b2c3/1476-511X-9-78-2.jpg
https://cdn.ncbi.nlm.nih.gov/pmc/blobs/0a75/2918616/6cd18f335e47/1476-511X-9-78-3.jpg
https://cdn.ncbi.nlm.nih.gov/pmc/blobs/0a75/2918616/4ebf752177e8/1476-511X-9-78-4.jpg
https://cdn.ncbi.nlm.nih.gov/pmc/blobs/0a75/2918616/bf4165950cd3/1476-511X-9-78-5.jpg

相似文献

1
Preventive effects of chronic exogenous growth hormone levels on diet-induced hepatic steatosis in rats.慢性外源性生长激素水平对大鼠饮食诱导性肝脂肪变性的预防作用。
Lipids Health Dis. 2010 Jul 26;9:78. doi: 10.1186/1476-511X-9-78.
2
Ping-tang Recipe () improves insulin resistance and attenuates hepatic steatosis in high-fat diet-induced obese rats.平塘方()改善高脂饮食诱导肥胖大鼠的胰岛素抵抗和肝脂肪变性。
Chin J Integr Med. 2012 Apr;18(4):262-8. doi: 10.1007/s11655-012-1023-0. Epub 2012 Mar 30.
3
Methionine restriction prevents the progression of hepatic steatosis in leptin-deficient obese mice.限制蛋氨酸摄入可防止瘦素缺乏型肥胖小鼠的肝脂肪变性进展。
Metabolism. 2013 Nov;62(11):1651-61. doi: 10.1016/j.metabol.2013.06.012. Epub 2013 Aug 5.
4
Garcinia Cambogia attenuates diet-induced adiposity but exacerbates hepatic collagen accumulation and inflammation.藤黄果可减轻饮食诱导的肥胖,但会加剧肝脏胶原积累和炎症。
World J Gastroenterol. 2013 Aug 7;19(29):4689-701. doi: 10.3748/wjg.v19.i29.4689.
5
Therapeutic role of niacin in the prevention and regression of hepatic steatosis in rat model of nonalcoholic fatty liver disease.烟酸在非酒精性脂肪性肝病大鼠模型中预防和逆转肝脂肪变性的治疗作用。
Am J Physiol Gastrointest Liver Physiol. 2014 Feb 15;306(4):G320-7. doi: 10.1152/ajpgi.00181.2013. Epub 2013 Dec 19.
6
Therapeutic role of ursolic acid on ameliorating hepatic steatosis and improving metabolic disorders in high-fat diet-induced non-alcoholic fatty liver disease rats.熊果酸对改善高脂饮食诱导的非酒精性脂肪性肝病大鼠肝脂肪变性及代谢紊乱的治疗作用
PLoS One. 2014 Jan 29;9(1):e86724. doi: 10.1371/journal.pone.0086724. eCollection 2014.
7
Chronic IL-6 Administration Desensitizes IL-6 Response in Liver, Causes Hyperleptinemia and Aggravates Steatosis in Diet-Induced-Obese Mice.长期给予白细胞介素-6可使肝脏对白细胞介素-6的反应脱敏,导致饮食诱导肥胖小鼠出现高瘦素血症并加重脂肪变性。
PLoS One. 2016 Jun 22;11(6):e0157956. doi: 10.1371/journal.pone.0157956. eCollection 2016.
8
Effects of fenofibrate and xuezhikang on high-fat diet-induced non-alcoholic fatty liver disease.非诺贝特与血脂康对高脂饮食诱导的非酒精性脂肪性肝病的影响。
Clin Exp Pharmacol Physiol. 2007 Jan-Feb;34(1-2):27-35. doi: 10.1111/j.1440-1681.2007.04547.x.
9
Polychlorinated biphenyl 153 is a diet-dependent obesogen that worsens nonalcoholic fatty liver disease in male C57BL6/J mice.多氯联苯 153 是一种饮食依赖性的致肥胖物,可使雄性 C57BL6/J 小鼠的非酒精性脂肪肝恶化。
J Nutr Biochem. 2013 Sep;24(9):1587-95. doi: 10.1016/j.jnutbio.2013.01.009. Epub 2013 Apr 22.
10
[Metformin prevents non-alcoholic fatty liver disease in rats: role of phospholipase A2/lysophosphatidylcholine lipoapoptosis pathway in hepatocytes].[二甲双胍预防大鼠非酒精性脂肪性肝病:磷脂酶A2/溶血磷脂酰胆碱脂凋亡途径在肝细胞中的作用]
Zhonghua Er Ke Za Zhi. 2011 Feb;49(2):139-45.

引用本文的文献

1
Role of Growth Hormone Therapy in Metabolic-Dysfunction-Associated Steatotic Liver Disease: A Systematic Review and Meta-Analysis.生长激素疗法在代谢功能障碍相关脂肪性肝病中的作用:一项系统评价和荟萃分析。
Indian J Endocrinol Metab. 2024 Jul-Aug;28(4):336-342. doi: 10.4103/ijem.ijem_488_23. Epub 2024 Aug 28.
2
Short-Term Growth Hormone Administration Mediates Hepatic Fatty Acid Uptake and De Novo Lipogenesis Gene Expression in Obese Rats.短期给予生长激素可介导肥胖大鼠肝脏脂肪酸摄取及从头脂肪生成基因的表达。
Biomedicines. 2023 Mar 29;11(4):1050. doi: 10.3390/biomedicines11041050.
3
Effect of growth hormone therapy on liver enzyme and other cardiometabolic risk factors in boys with obesity and nonalcoholic fatty liver disease.

本文引用的文献

1
Hepatic adiponectin receptor R2 expression is up-regulated in normal adult male mice by chronic exogenous growth hormone levels.在正常成年雄性小鼠中,慢性外源性生长激素水平可上调肝脏脂联素受体R2的表达。
Mol Med Rep. 2010 May-Jun;3(3):525-30. doi: 10.3892/mmr_00000292.
2
Glutathione deficiency down-regulates hepatic lipogenesis in rats.谷胱甘肽缺乏可下调大鼠肝内脂质生成。
Lipids Health Dis. 2010 May 19;9:50. doi: 10.1186/1476-511X-9-50.
3
PPARalpha: energy combustion, hypolipidemia, inflammation and cancer.过氧化物酶体增殖物激活受体α:能量燃烧、降血脂、炎症与癌症。
生长激素治疗对肥胖伴非酒精性脂肪性肝病男孩肝酶和其他心血管代谢危险因素的影响。
BMC Endocr Disord. 2022 Feb 26;22(1):49. doi: 10.1186/s12902-022-00967-y.
4
Towards Understanding the Direct and Indirect Actions of Growth Hormone in Controlling Hepatocyte Carbohydrate and Lipid Metabolism.探讨生长激素调控肝细胞糖脂代谢的直接和间接作用。
Cells. 2021 Sep 24;10(10):2532. doi: 10.3390/cells10102532.
5
Effects of the Combination of Evogliptin and Leucine on Insulin Resistance and Hepatic Steatosis in High-Fat Diet-Fed Mice.依帕列净与亮氨酸联合使用对高脂饮食喂养小鼠胰岛素抵抗和肝脂肪变性的影响
Biomol Ther (Seoul). 2021 Jul 1;29(4):419-426. doi: 10.4062/biomolther.2021.003.
6
Adult-Onset Hepatocyte GH Resistance Promotes NASH in Male Mice, Without Severe Systemic Metabolic Dysfunction.成年期肝细胞生长激素抵抗促进雄性小鼠非酒精性脂肪性肝炎,而无严重的全身代谢功能障碍。
Endocrinology. 2018 Nov 1;159(11):3761-3774. doi: 10.1210/en.2018-00669.
7
Growth hormone reverses dyslipidemia in adult offspring after maternal undernutrition.生长激素可逆转母体营养不良的成年后代的血脂异常。
Sci Rep. 2017 Jul 20;7(1):6038. doi: 10.1038/s41598-017-05045-1.
8
The Association Between IGF-1 Levels and the Histologic Severity of Nonalcoholic Fatty Liver Disease.胰岛素样生长因子-1水平与非酒精性脂肪性肝病组织学严重程度之间的关联
Clin Transl Gastroenterol. 2017 Jan 26;8(1):e217. doi: 10.1038/ctg.2016.72.
9
Co-administration of metformin and N-acetylcysteine with dietary control improves the biochemical and histological manifestations in rats with non-alcoholic fatty liver.二甲双胍和N-乙酰半胱氨酸与饮食控制联合使用可改善非酒精性脂肪肝大鼠的生化和组织学表现。
Res Pharm Sci. 2016 Oct;11(5):374-382. doi: 10.4103/1735-5362.192487.
10
Growth Hormone Control of Hepatic Lipid Metabolism.生长激素对肝脏脂质代谢的调控
Diabetes. 2016 Dec;65(12):3598-3609. doi: 10.2337/db16-0649. Epub 2016 Sep 27.
Nucl Recept Signal. 2010 Apr 16;8:e002. doi: 10.1621/nrs.08002.
4
Dietary saponins of sea cucumber alleviate orotic acid-induced fatty liver in rats via PPARalpha and SREBP-1c signaling.海参中的膳食皂素通过 PPARα 和 SREBP-1c 信号通路缓解乳清酸诱导的大鼠脂肪肝。
Lipids Health Dis. 2010 Mar 9;9:25. doi: 10.1186/1476-511X-9-25.
5
A microarray gene analysis of peripheral whole blood in normal adult male rats after long-term GH gene therapy.正常成年雄性大鼠长期 GH 基因治疗后外周全血的微阵列基因分析。
Cell Mol Biol Lett. 2010 Jun;15(2):177-95. doi: 10.2478/s11658-010-0001-9. Epub 2010 Jan 28.
6
Inhibition of JNK along with activation of ERK1/2 MAPK pathways improve steatohepatitis among the rats.抑制 JNK 并激活 ERK1/2 MAPK 通路可改善大鼠的脂肪性肝炎。
Clin Nutr. 2010 Jun;29(3):381-5. doi: 10.1016/j.clnu.2009.08.014. Epub 2009 Sep 11.
7
Role of growth hormone, insulin-like growth factor 1 and insulin-like growth factor-binding protein 3 in development of non-alcoholic fatty liver disease.生长激素、胰岛素样生长因子 1 和胰岛素样生长因子结合蛋白 3 在非酒精性脂肪性肝病发病机制中的作用。
Hepatol Int. 2007 Jun;1(2):287-94. doi: 10.1007/s12072-007-9007-4. Epub 2007 Jun 1.
8
Liver-specific deletion of the growth hormone receptor reveals essential role of growth hormone signaling in hepatic lipid metabolism.肝脏特异性缺失生长激素受体揭示了生长激素信号在肝脏脂质代谢中的重要作用。
J Biol Chem. 2009 Jul 24;284(30):19937-44. doi: 10.1074/jbc.M109.014308. Epub 2009 May 21.
9
Resveratrol inhibits nonalcoholic fatty liver disease in rats.白藜芦醇可抑制大鼠非酒精性脂肪性肝病。
BMC Gastroenterol. 2008 Sep 9;8:40. doi: 10.1186/1471-230X-8-40.
10
Resveratrol improves non-alcoholic fatty liver disease by activating AMP-activated protein kinase.白藜芦醇通过激活AMP活化蛋白激酶改善非酒精性脂肪性肝病。
Acta Pharmacol Sin. 2008 Jun;29(6):698-706. doi: 10.1111/j.1745-7254.2008.00807.x.