Suppr超能文献

硬化性肠系膜脂膜炎作为老年患者腹部肿块和不适的病因:一例病例报告及文献综述

Sclerosing mesenteritis as a cause of abdominal mass and discomfort in an elderly patient: a case report and literature review.

作者信息

Ali Farzana Nawaz, Ishaque Sidra, Jamil Bushra, Idris Muhammad

机构信息

Medical College, The Aga Khan University, (Stadium Road), Karachi 74800, Pakistan.

出版信息

Case Rep Med. 2010;2010:625321. doi: 10.1155/2010/625321. Epub 2010 Jun 29.

Abstract

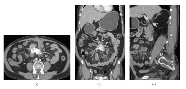
Sclerosing mesenteritis is a rare benign process that involves inflammation, fat necrosis, and fibrosis of the mesentery. The disease poses great diagnostic challenge due to its nonspecific clinical and diagnostic findings. We report the case of a 75-year-old man who presented with vague abdominal discomfort associated with an intra-abdominal mass. With suspicion of a bowel carcinoid tumor on computed tomography scans, the patient underwent diagnostic laparoscopy. A diagnosis of sclerosing mesenteritis was made on histological examination. The patient's symptoms responded to a combination of immunosuppressive drugs, with no interval change in the size of the mass on radiological examination after fifteen months.

摘要

硬化性肠系膜炎是一种罕见的良性病变,涉及肠系膜的炎症、脂肪坏死和纤维化。由于其非特异性的临床和诊断表现,该疾病带来了巨大的诊断挑战。我们报告一例75岁男性患者,其表现为伴有腹腔内肿块的模糊腹部不适。计算机断层扫描怀疑为肠道类癌肿瘤,该患者接受了诊断性腹腔镜检查。组织学检查确诊为硬化性肠系膜炎。患者的症状对免疫抑制药物联合治疗有反应,15个月后影像学检查显示肿块大小无间隔变化。

https://cdn.ncbi.nlm.nih.gov/pmc/blobs/ea23/2910504/7aa115442015/CRM2010-625321.001.jpg

相似文献

4
Sclerosing Mesenteritis, a Rare Cause of Mesenteric Mass in a Young Adult: A Case Report.
Front Surg. 2021 Aug 20;8:722312. doi: 10.3389/fsurg.2021.722312. eCollection 2021.
5
[A case of idiopathic sclerosing mesenteritis with retroperitoneal fibrosis].
Korean J Gastroenterol. 2011 Oct 25;58(4):221-5. doi: 10.4166/kjg.2011.58.4.221.
6
Surgical Excision of Sclerosing Mesenteritis, Exploration of an Unknown Mesenteric Mass.
Cureus. 2021 Jan 7;13(1):e12546. doi: 10.7759/cureus.12546.
7
Refractory sclerosing mesenteritis involving the small intestinal mesentery: a case report and literature review.
Intern Med. 2014;53(13):1419-27. doi: 10.2169/internalmedicine.53.1813. Epub 2014 Jun 15.
8
Peritoneal Cancer Mimicking Sclerosing Mesenteritis: A Case Report.
Cureus. 2022 Jan 4;14(1):e20934. doi: 10.7759/cureus.20934. eCollection 2022 Jan.
9
Sclerosing mesenteritis seen clinically as pancreatic pseudotumor: two cases and a review.
Pancreas. 1999 Apr;18(3):316-21. doi: 10.1097/00006676-199904000-00014.
10
Sclerosing Mesenteritis in a Patient Heterozygous for Factor V Leiden.
Am J Case Rep. 2020 Oct 5;21:e926332. doi: 10.12659/AJCR.926332.

引用本文的文献

1
Sclerosing Mesenteritis Presenting as a Pseudotumor of the Greater Omentum.
Med Princ Pract. 2016;25(1):93-5. doi: 10.1159/000441454. Epub 2015 Oct 27.
2
Spontaneous resolution of severe, symptomatic mesocolic panniculitis: a case report.
BMC Gastroenterol. 2012 Jun 6;12:59. doi: 10.1186/1471-230X-12-59.

本文引用的文献

1
Mesenteric panniculitis: various presentations and treatment regimens.
World J Gastroenterol. 2009 Aug 14;15(30):3827-30. doi: 10.3748/wjg.15.3827.
2
Extensive sclerosing mesenteritis of the rectosigmoid colon associated with erosive colitis.
Gastroenterol Res Pract. 2009;2009:176793. doi: 10.1155/2009/176793. Epub 2009 Apr 12.
6
[A case of mesenteric panniculitis].
An Sist Sanit Navar. 2008 Jan-Apr;31(1):81-5. doi: 10.4321/s1137-66272008000100007.
8
Occasional finding of mesenteric lipodystrophy during laparoscopy: a difficult diagnosis.
World J Gastroenterol. 2007 Oct 28;13(40):5394-6. doi: 10.3748/wjg.v13.i40.5394.
9
Sclerosing mesenteritis: clinical features, treatment, and outcome in ninety-two patients.
Clin Gastroenterol Hepatol. 2007 May;5(5):589-96; quiz 523-4. doi: 10.1016/j.cgh.2007.02.032.
10
Idiopathic orbital inflammation with sclerosing mesenteritis: a new association?
Clin Exp Ophthalmol. 2006 Mar;34(2):190-2. doi: 10.1111/j.1442-9071.2006.01182.x.

文献AI研究员

20分钟写一篇综述,助力文献阅读效率提升50倍。

立即体验

用中文搜PubMed

大模型驱动的PubMed中文搜索引擎

马上搜索

文档翻译

学术文献翻译模型,支持多种主流文档格式。

立即体验