• 文献检索
  • 文档翻译
  • 深度研究
  • 学术资讯
  • Suppr Zotero 插件Zotero 插件
  • 邀请有礼
  • 套餐&价格
  • 历史记录
应用&插件
Suppr Zotero 插件Zotero 插件浏览器插件Mac 客户端Windows 客户端微信小程序
定价
高级版会员购买积分包购买API积分包
服务
文献检索文档翻译深度研究API 文档MCP 服务
关于我们
关于 Suppr公司介绍联系我们用户协议隐私条款
关注我们

Suppr 超能文献

核心技术专利:CN118964589B侵权必究
粤ICP备2023148730 号-1Suppr @ 2026

文献检索

告别复杂PubMed语法,用中文像聊天一样搜索,搜遍4000万医学文献。AI智能推荐,让科研检索更轻松。

立即免费搜索

文件翻译

保留排版,准确专业,支持PDF/Word/PPT等文件格式,支持 12+语言互译。

免费翻译文档

深度研究

AI帮你快速写综述,25分钟生成高质量综述,智能提取关键信息,辅助科研写作。

立即免费体验

通过多位点磷酸化控制激活转录因子 4(ATF4)的持久性会影响细胞周期进程和神经发生。

Control of activating transcription factor 4 (ATF4) persistence by multisite phosphorylation impacts cell cycle progression and neurogenesis.

机构信息

From the Massachusetts Institute of Technology, Picower Institute for Learning and Memory, the Howard Hughes Medical Institute, Cambridge, Massachusetts 02139, the Stanley Center for Psychiatric Research.

From the Massachusetts Institute of Technology, Picower Institute for Learning and Memory, the Howard Hughes Medical Institute, Cambridge, Massachusetts 02139, the Stanley Center for Psychiatric Research; Departments of Neurosurgery and Pharmacology and Experimental Therapeutics, Boston University School of Medicine, Boston, Massachusetts 02118.

出版信息

J Biol Chem. 2010 Oct 22;285(43):33324-33337. doi: 10.1074/jbc.M110.140699. Epub 2010 Aug 19.

DOI:10.1074/jbc.M110.140699
PMID:20724472
原文链接:https://pmc.ncbi.nlm.nih.gov/articles/PMC2963346/
Abstract

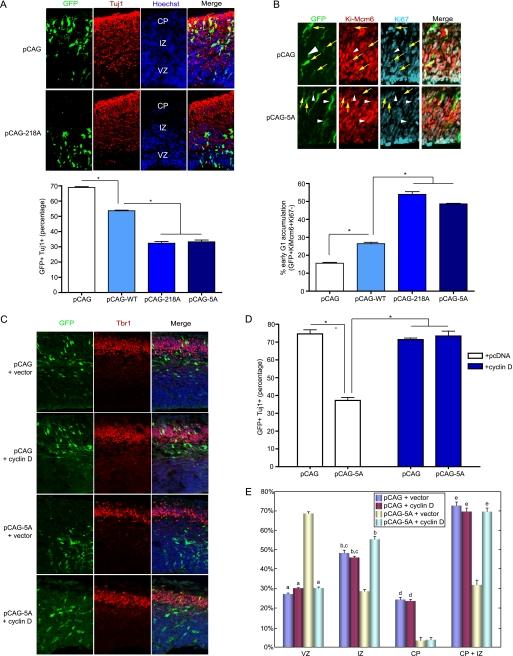
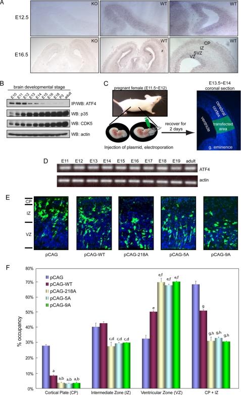
Organogenesis is a highly integrated process with a fundamental requirement for precise cell cycle control. Mechanistically, the cell cycle is composed of transitions and thresholds that are controlled by coordinated post-translational modifications. In this study, we describe a novel mechanism controlling the persistence of the transcription factor ATF4 by multisite phosphorylation. Proline-directed phosphorylation acted additively to regulate multiple aspects of ATF4 degradation. Stabilized ATF4 mutants exhibit decreased β-TrCP degron phosphorylation, β-TrCP interaction, and ubiquitination, as well as elicit early G(1) arrest. Expression of stabilized ATF4 also had significant consequences in the developing neocortex. Mutant ATF4 expressing cells exhibited positioning and differentiation defects that were attributed to early G(1) arrest, suggesting that neurogenesis is sensitive to ATF4 dosage. We propose that precise regulation of the ATF4 dosage impacts cell cycle control and impinges on neurogenesis.

摘要

器官发生是一个高度整合的过程,对精确的细胞周期控制有基本的要求。从机制上讲,细胞周期由通过协调的翻译后修饰控制的转变和阈值组成。在这项研究中,我们描述了一种通过多部位磷酸化控制转录因子 ATF4 持久性的新机制。脯氨酸定向磷酸化起附加作用,调节 ATF4 降解的多个方面。稳定的 ATF4 突变体表现出降低的 β-TrCP 降解基序磷酸化、β-TrCP 相互作用和泛素化,以及早期 G1 期停滞。稳定表达的 ATF4 也对发育中的新皮层有显著影响。表达突变 ATF4 的细胞表现出定位和分化缺陷,归因于早期 G1 期停滞,表明神经发生对 ATF4 剂量敏感。我们提出,ATF4 剂量的精确调节影响细胞周期控制,并影响神经发生。

https://cdn.ncbi.nlm.nih.gov/pmc/blobs/d6a2/2963346/a1d345c0f04b/zbc0451035830007.jpg
https://cdn.ncbi.nlm.nih.gov/pmc/blobs/d6a2/2963346/764a98383de3/zbc0451035830001.jpg
https://cdn.ncbi.nlm.nih.gov/pmc/blobs/d6a2/2963346/a54ae1f49d23/zbc0451035830002.jpg
https://cdn.ncbi.nlm.nih.gov/pmc/blobs/d6a2/2963346/bb74418af35d/zbc0451035830003.jpg
https://cdn.ncbi.nlm.nih.gov/pmc/blobs/d6a2/2963346/0c8b2475628c/zbc0451035830004.jpg
https://cdn.ncbi.nlm.nih.gov/pmc/blobs/d6a2/2963346/a69482a93e5d/zbc0451035830005.jpg
https://cdn.ncbi.nlm.nih.gov/pmc/blobs/d6a2/2963346/e31910f28b86/zbc0451035830006.jpg
https://cdn.ncbi.nlm.nih.gov/pmc/blobs/d6a2/2963346/a1d345c0f04b/zbc0451035830007.jpg
https://cdn.ncbi.nlm.nih.gov/pmc/blobs/d6a2/2963346/764a98383de3/zbc0451035830001.jpg
https://cdn.ncbi.nlm.nih.gov/pmc/blobs/d6a2/2963346/a54ae1f49d23/zbc0451035830002.jpg
https://cdn.ncbi.nlm.nih.gov/pmc/blobs/d6a2/2963346/bb74418af35d/zbc0451035830003.jpg
https://cdn.ncbi.nlm.nih.gov/pmc/blobs/d6a2/2963346/0c8b2475628c/zbc0451035830004.jpg
https://cdn.ncbi.nlm.nih.gov/pmc/blobs/d6a2/2963346/a69482a93e5d/zbc0451035830005.jpg
https://cdn.ncbi.nlm.nih.gov/pmc/blobs/d6a2/2963346/e31910f28b86/zbc0451035830006.jpg
https://cdn.ncbi.nlm.nih.gov/pmc/blobs/d6a2/2963346/a1d345c0f04b/zbc0451035830007.jpg

相似文献

1
Control of activating transcription factor 4 (ATF4) persistence by multisite phosphorylation impacts cell cycle progression and neurogenesis.通过多位点磷酸化控制激活转录因子 4(ATF4)的持久性会影响细胞周期进程和神经发生。
J Biol Chem. 2010 Oct 22;285(43):33324-33337. doi: 10.1074/jbc.M110.140699. Epub 2010 Aug 19.
2
Functional interaction of protein kinase CK2 and activating transcription factor 4 (ATF4), a key player in the cellular stress response.蛋白激酶CK2与激活转录因子4(ATF4)的功能相互作用,ATF4是细胞应激反应中的关键因子。
Biochim Biophys Acta. 2013 Mar;1833(3):439-51. doi: 10.1016/j.bbamcr.2012.10.025. Epub 2012 Oct 31.
3
Degradation of Transcriptional Repressor ATF4 during Long-Term Synaptic Plasticity.长期突触可塑性过程中转录抑制因子 ATF4 的降解。
Int J Mol Sci. 2020 Nov 12;21(22):8543. doi: 10.3390/ijms21228543.
4
Over-expression of atf4 in Xenopus embryos interferes with neurogenesis and eye formation.非洲爪蟾胚胎中atf4的过表达会干扰神经发生和眼睛形成。
Dongwuxue Yanjiu. 2011 Oct;32(5):485-91. doi: 10.3724/SP.J.1141.2011.05485.
5
PHD1 interacts with ATF4 and negatively regulates its transcriptional activity without prolyl hydroxylation.PHD1 与 ATF4 相互作用,在脯氨酰羟化作用缺失的情况下负调控其转录活性。
Exp Cell Res. 2011 Dec 10;317(20):2789-99. doi: 10.1016/j.yexcr.2011.09.005. Epub 2011 Sep 17.
6
CK1δ stimulates ubiquitination-dependent proteasomal degradation of ATF4 to promote chemoresistance in gastric Cancer.CK1δ 通过促进 ATF4 的泛素化依赖的蛋白酶体降解来促进胃癌的化疗耐药性。
Clin Transl Med. 2021 Oct;11(10):e587. doi: 10.1002/ctm2.587.
7
Phosphorylation-dependent structure of ATF4 peptides derived from a human ATF4 protein, a member of the family of transcription factors.源自人类ATF4蛋白(转录因子家族成员)的ATF4肽段的磷酸化依赖性结构
Peptides. 2007 Dec;28(12):2253-67. doi: 10.1016/j.peptides.2007.09.016. Epub 2007 Sep 29.
8
Activating transcription factor 4 is critical for proliferation and survival in primary bone marrow stromal cells and calvarial osteoblasts.激活转录因子4对原代骨髓基质细胞和颅骨成骨细胞的增殖与存活至关重要。
J Cell Biochem. 2008 Oct 15;105(3):885-95. doi: 10.1002/jcb.21888.
9
Activating transcription factor 4.激活转录因子4
Int J Biochem Cell Biol. 2008;40(1):14-21. doi: 10.1016/j.biocel.2007.01.020. Epub 2007 Jan 28.
10
Endoplasmic reticulum stress response mediated by the PERK-eIF2(alpha)-ATF4 pathway is involved in osteoblast differentiation induced by BMP2.PERK-eIF2(alpha)-ATF4 通路介导的内质网应激反应参与 BMP2 诱导的成骨细胞分化。
J Biol Chem. 2011 Feb 11;286(6):4809-18. doi: 10.1074/jbc.M110.152900. Epub 2010 Dec 6.

引用本文的文献

1
Emerging roles for integrated stress response signaling in homeostasis.整合应激反应信号在体内平衡中的新作用。
FEBS J. 2025 Jul 14. doi: 10.1111/febs.70166.
2
Environmental adversity, endoplasmic reticulum stress, and neurogenesis.环境逆境、内质网应激与神经发生。
Neurotoxicology. 2025 Jul;109:32-45. doi: 10.1016/j.neuro.2025.05.010. Epub 2025 May 31.
3
Activation of PERK/eIF2α/ATF4 signaling inhibits ERα expression in breast cancer.PERK/eIF2α/ATF4信号通路的激活会抑制乳腺癌中雌激素受体α(ERα)的表达。

本文引用的文献

1
Alternative functions of core cell cycle regulators in neuronal migration, neuronal maturation, and synaptic plasticity.核心细胞周期调节因子在神经元迁移、神经元成熟和突触可塑性中的其他功能。
Neuron. 2009 May 14;62(3):312-26. doi: 10.1016/j.neuron.2009.03.029.
2
Cep120 and TACCs control interkinetic nuclear migration and the neural progenitor pool.Cep120和TACCs控制核内有丝分裂期间的核迁移及神经祖细胞池。
Neuron. 2007 Oct 4;56(1):79-93. doi: 10.1016/j.neuron.2007.08.026.
3
Inhibition of proliferation by PERK regulates mammary acinar morphogenesis and tumor formation.
Neoplasia. 2025 Apr 18;65:101165. doi: 10.1016/j.neo.2025.101165.
4
Inhibition of GLS1 and ASCT2 Synergistically Enhances the Anticancer Effects in Pancreatic Cancer Cells.抑制谷氨酰胺酶1(GLS1)和丙氨酸-丝氨酸-半胱氨酸转运体2(ASCT2)协同增强对胰腺癌细胞的抗癌作用。
J Microbiol Biotechnol. 2025 Apr 10;35:e2412032. doi: 10.4014/jmb.2412.12032.
5
Modulation of CREB3L2-ATF4 heterodimerization via proteasome inhibition and HRI activation in Alzheimer's disease pathology.通过蛋白酶体抑制和血红素调节激酶1激活对阿尔茨海默病病理中CREB3L2-ATF4异二聚化的调控
Cell Death Dis. 2025 Mar 31;16(1):225. doi: 10.1038/s41419-025-07586-0.
6
ATF4/NUPR1 axis promotes cancer cell survival and mediates immunosuppression in clear cell renal cell carcinoma.ATF4/NUPR1轴促进透明细胞肾细胞癌中的癌细胞存活并介导免疫抑制。
Discov Oncol. 2024 Oct 31;15(1):607. doi: 10.1007/s12672-024-01485-0.
7
The physiological role of the unfolded protein response in the nervous system.未折叠蛋白反应在神经系统中的生理作用。
Neural Regen Res. 2024 Nov 1;19(11):2411-2420. doi: 10.4103/1673-5374.393105. Epub 2024 Jan 8.
8
ATF4 in cellular stress, ferroptosis, and cancer.细胞应激、铁死亡和癌症中的激活转录因子4(ATF4)
Arch Toxicol. 2024 Apr;98(4):1025-1041. doi: 10.1007/s00204-024-03681-x. Epub 2024 Feb 21.
9
Signaling plasticity in the integrated stress response.整合应激反应中的信号可塑性。
Front Cell Dev Biol. 2023 Dec 7;11:1271141. doi: 10.3389/fcell.2023.1271141. eCollection 2023.
10
Transcriptome Profiling after Early Spinal Cord Injury in the Axolotl and Its Comparison with Rodent Animal Models through RNA-Seq Data Analysis.通过 RNA-Seq 数据分析,研究蝾螈早期脊髓损伤后的转录组图谱,并与啮齿动物模型进行比较。
Genes (Basel). 2023 Dec 8;14(12):2189. doi: 10.3390/genes14122189.
PERK 抑制增殖调控乳腺腺泡形态发生和肿瘤形成。
PLoS One. 2007 Jul 18;2(7):e615. doi: 10.1371/journal.pone.0000615.
4
eIF2alpha phosphorylation bidirectionally regulates the switch from short- to long-term synaptic plasticity and memory.真核生物翻译起始因子2α(eIF2α)磷酸化双向调节从短期到长期突触可塑性及记忆的转换。
Cell. 2007 Apr 6;129(1):195-206. doi: 10.1016/j.cell.2007.01.050.
5
A mechanism for cell-cycle regulation of MAP kinase signaling in a yeast differentiation pathway.酵母分化途径中MAP激酶信号传导的细胞周期调控机制。
Cell. 2007 Feb 9;128(3):519-31. doi: 10.1016/j.cell.2006.12.032.
6
Ubiquitin ligases: cell-cycle control and cancer.泛素连接酶:细胞周期调控与癌症
Nat Rev Cancer. 2006 May;6(5):369-81. doi: 10.1038/nrc1881.
7
Doublecortin-like kinase controls neurogenesis by regulating mitotic spindles and M phase progression.双皮质素样激酶通过调节有丝分裂纺锤体和M期进程来控制神经发生。
Neuron. 2006 Jan 5;49(1):25-39. doi: 10.1016/j.neuron.2005.10.039.
8
The cell biology of neurogenesis.神经发生的细胞生物学
Nat Rev Mol Cell Biol. 2005 Oct;6(10):777-88. doi: 10.1038/nrm1739.
9
Translational control of hippocampal synaptic plasticity and memory by the eIF2alpha kinase GCN2.eIF2α激酶GCN2对海马突触可塑性和记忆的翻译调控
Nature. 2005 Aug 25;436(7054):1166-73. doi: 10.1038/nature03897.
10
G protein betagamma subunits and AGS3 control spindle orientation and asymmetric cell fate of cerebral cortical progenitors.G蛋白βγ亚基和AGS3控制大脑皮质祖细胞的纺锤体定向和不对称细胞命运。
Cell. 2005 Jul 15;122(1):119-31. doi: 10.1016/j.cell.2005.05.009.