Suppr超能文献

重组痘苗病毒对功能性布尼亚姆韦拉病毒L蛋白的表达

Expression of functional Bunyamwera virus L protein by recombinant vaccinia viruses.

作者信息

Jin H, Elliott R M

机构信息

Institute of Virology, University of Glasgow, Scotland, United Kingdom.

出版信息

J Virol. 1991 Aug;65(8):4182-9. doi: 10.1128/JVI.65.8.4182-4189.1991.

Abstract

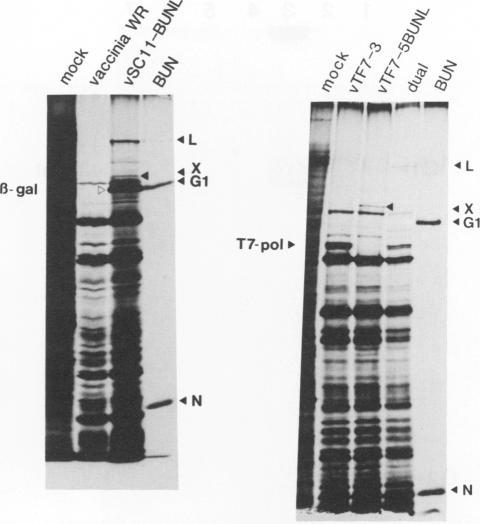
A cDNA containing the complete coding sequence of the Bunyamwera virus (family Bunyaviridae) L genome segment has been constructed and cloned into two recombinant vaccinia virus expression systems. In the first, the L gene is under control of vaccinia virus P7.5 promoter; in the second, the L gene is under control of the bacteriophage T7 phi 10 promoter, and expression of the L gene requires coinfection with a second recombinant vaccinia virus which synthesizes T7 RNA polymerase. Both systems express a protein which is the same size as the Bunyamwera virus L protein and is recognized by a monospecific L antiserum. The expressed L protein was shown to be functional in synthesizing Bunyamwera virus RNA in a nucleocapsid transfection assay: recombinant vaccinia virus-infected cells were transfected with purified Bunyamwera virus nucleocapsids, and subsequently, total cellular RNA was analyzed by Northern (RNA) blotting. No Bunyamwera virus RNA was detected in control transfections, but in cells which had previously been infected with recombinant vaccinia viruses expressing the L protein, both positive- and negative-sense Bunyamwera virus S segment RNA was detected. The suitability of this system to delineate functional domains within the Bunyamwera virus L protein is discussed.

摘要

一个包含布尼亚姆韦拉病毒(布尼亚病毒科)L基因组片段完整编码序列的cDNA已构建并克隆到两个重组痘苗病毒表达系统中。在第一个系统中,L基因受痘苗病毒P7.5启动子控制;在第二个系统中,L基因受噬菌体T7 phi 10启动子控制,L基因的表达需要与合成T7 RNA聚合酶的第二种重组痘苗病毒共感染。两个系统都表达一种与布尼亚姆韦拉病毒L蛋白大小相同且能被单特异性L抗血清识别的蛋白质。在核衣壳转染试验中,所表达的L蛋白在合成布尼亚姆韦拉病毒RNA方面显示出功能:用纯化的布尼亚姆韦拉病毒核衣壳转染重组痘苗病毒感染的细胞,随后通过Northern(RNA)印迹分析总细胞RNA。在对照转染中未检测到布尼亚姆韦拉病毒RNA,但在先前感染了表达L蛋白的重组痘苗病毒的细胞中,检测到了正链和负链布尼亚姆韦拉病毒S片段RNA。讨论了该系统用于描绘布尼亚姆韦拉病毒L蛋白功能域的适用性。

https://cdn.ncbi.nlm.nih.gov/pmc/blobs/6b98/248853/cc077ca4c950/jvirol00051-0224-a.jpg

文献检索

告别复杂PubMed语法,用中文像聊天一样搜索,搜遍4000万医学文献。AI智能推荐,让科研检索更轻松。

立即免费搜索

文件翻译

保留排版,准确专业,支持PDF/Word/PPT等文件格式,支持 12+语言互译。

免费翻译文档

深度研究

AI帮你快速写综述,25分钟生成高质量综述,智能提取关键信息,辅助科研写作。

立即免费体验