Keck J G, Kovacs G R, Moss B
Laboratory of Viral Diseases, National Institute of Allergy and Infectious Diseases, Bethesda, Maryland 20892.
J Virol. 1993 Oct;67(10):5740-8. doi: 10.1128/JVI.67.10.5740-5748.1993.
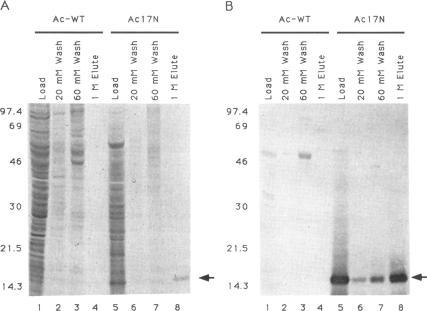
The A1L, A2L, and G8R open reading frames (ORFs) were previously shown by transfection assays to encode transactivators of late gene expression. We now present evidence that the 17-kDa protein product of the A1L gene can function in vitro as a transcription factor. Simultaneous overexpression of the transactivators was achieved by coinfecting HeLa cells with one recombinant vaccinia virus that encodes the bacteriophage T7 RNA polymerase and three recombinant vaccinia viruses that contain copies of A1L, A2L, and G8R ORFs regulated by T7 promoters. Extracts from the recombinant virus-infected cells exhibited greatly enhanced late in vitro transcription activity and served as a source of factors. The 17-kDa product of the A1L ORF represented approximately 8% of the ammonium sulfate-precipitated cell protein and copurified with a late transcription factor activity. The transcription factor activity could be specifically immunodepleted with immobilized antibody to the bacterially expressed A1L-encoded protein, providing additional evidence for its identity and role. A sequence encoding six consecutive histidines was added to the A1L ORF, which was then incorporated into the genome of a baculovirus expression vector. The 17-kDa protein, synthesized in insect cells and purified by binding to an Ni(2+)-chelating affinity column, could replace the vaccinia virus-overexpressed 17-kDa protein in transcription assays. In addition to the 17-kDa product of the A1L gene, which was named vaccinia virus late transcription factor 2, the proteins that stimulate specific transcription of late promoter-regulated templates included the viral multisubunit RNA polymerase, vaccinia virus late transcription factor 1 (the product of the G8R ORF), and at least one other partially purified protein.
之前通过转染试验表明,A1L、A2L和G8R开放阅读框(ORF)编码晚期基因表达的反式激活因子。我们现在提供证据表明,A1L基因的17 kDa蛋白产物在体外可作为转录因子发挥作用。通过用一种编码噬菌体T7 RNA聚合酶的重组痘苗病毒和三种含有受T7启动子调控的A1L、A2L和G8R ORF拷贝的重组痘苗病毒共感染HeLa细胞,实现了反式激活因子的同时过表达。来自重组病毒感染细胞的提取物在体外晚期转录活性大大增强,并作为因子来源。A1L ORF的17 kDa产物约占硫酸铵沉淀的细胞蛋白的8%,并与晚期转录因子活性共纯化。转录因子活性可用固定化的针对细菌表达的A1L编码蛋白的抗体特异性免疫去除,为其身份和作用提供了额外证据。在A1L ORF中添加了一个编码六个连续组氨酸的序列,然后将其整合到杆状病毒表达载体的基因组中。在昆虫细胞中合成并通过与Ni(2+)螯合亲和柱结合纯化的17 kDa蛋白,可在转录试验中替代痘苗病毒过表达的17 kDa蛋白。除了被命名为痘苗病毒晚期转录因子2的A1L基因的17 kDa产物外,刺激晚期启动子调控模板特异性转录的蛋白质还包括病毒多亚基RNA聚合酶、痘苗病毒晚期转录因子1(G8R ORF的产物)和至少一种其他部分纯化的蛋白质。