• 文献检索
  • 文档翻译
  • 深度研究
  • 学术资讯
  • Suppr Zotero 插件Zotero 插件
  • 邀请有礼
  • 套餐&价格
  • 历史记录
应用&插件
Suppr Zotero 插件Zotero 插件浏览器插件Mac 客户端Windows 客户端微信小程序
定价
高级版会员购买积分包购买API积分包
服务
文献检索文档翻译深度研究API 文档MCP 服务
关于我们
关于 Suppr公司介绍联系我们用户协议隐私条款
关注我们

Suppr 超能文献

核心技术专利:CN118964589B侵权必究
粤ICP备2023148730 号-1Suppr @ 2026

文献检索

告别复杂PubMed语法,用中文像聊天一样搜索,搜遍4000万医学文献。AI智能推荐,让科研检索更轻松。

立即免费搜索

文件翻译

保留排版,准确专业,支持PDF/Word/PPT等文件格式,支持 12+语言互译。

免费翻译文档

深度研究

AI帮你快速写综述,25分钟生成高质量综述,智能提取关键信息,辅助科研写作。

立即免费体验

人类胎儿气管的超微结构。孕中期管腔和腺上皮的形态学研究。

Ultrastructure of human fetal trachea. A morphological study of the luminal and glandular epithelia at the mid-trimester.

作者信息

Montgomery P Q, Stafford N D, Stolinski C

机构信息

Department of ENT Surgery, St. Mary's Hospital, London, UK.

出版信息

J Anat. 1990 Dec;173:43-59.

PMID:2074229
原文链接:https://pmc.ncbi.nlm.nih.gov/articles/PMC1256079/
Abstract

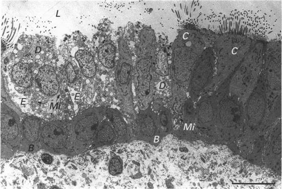
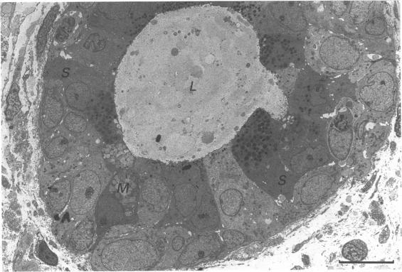
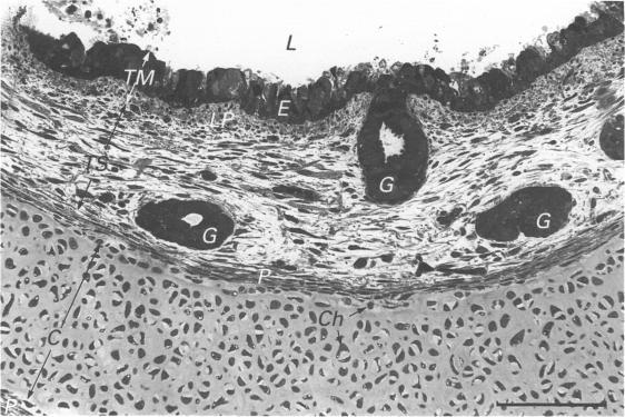
Twenty two mid-trimester human fetal tracheae were processed for light microscopy and scanning, transmission and freeze-fracture replication electron microscopy. The tracheal pseudostratified columnar epithelium was found to be composed of four cell types: ciliated in various stages of development, non-ciliated, basal and degenerating cells. The ratio of ciliated to non-ciliated cells was approximately one-to-one. The non-ciliated cells were of two morphological sub-types. Of these, the vast majority contained characteristic secretory granules, approximately 0.5 microns diameter, found in abundance within the apical region of the cell cytoplasm. The second sub-type of the non-ciliated cell, the well differentiated goblet cell, was observed very infrequently. The relatively large number of non-ciliated cells in the fetal tracheal epithelium suggests a transition stage to the adult where the ratio of ciliated to non-ciliated cells is near 5-to-1. The nature of the first type of the non-ciliated cells, which have not been studied in depth previously, remains obscure. Their probable secretory function is discussed and comparisons are made with previously reported cell types showing similar features, in fetal or adult material from the distal airways of animal and human tissues. Approximately 15 to 20% of the epithelial cells show signs of degeneration. The probable causes of this degenerative process are discussed. Other cell types such as brush cells, endocrine and wandering lymphocytes were not observed. Well-differentiated muco-serous glands were observed within the tela submucosa.

摘要

对22个孕中期人胎儿气管进行了处理,用于光学显微镜检查以及扫描电子显微镜、透射电子显微镜和冷冻断裂复型电子显微镜检查。发现气管假复层柱状上皮由四种细胞类型组成:处于不同发育阶段的纤毛细胞、非纤毛细胞、基底细胞和退化细胞。纤毛细胞与非纤毛细胞的比例约为1:1。非纤毛细胞有两种形态亚型。其中,绝大多数含有特征性分泌颗粒,直径约0.5微米,大量存在于细胞质顶端区域。非纤毛细胞的第二种亚型,即分化良好的杯状细胞,很少观察到。胎儿气管上皮中相对大量的非纤毛细胞表明其处于向成人阶段的过渡阶段,成人纤毛细胞与非纤毛细胞的比例接近5:1。此前未深入研究的第一种非纤毛细胞的性质仍不清楚。讨论了它们可能的分泌功能,并与动物和人类组织远端气道的胎儿或成人材料中先前报道的具有相似特征的细胞类型进行了比较。约15%至20%的上皮细胞显示出退化迹象。讨论了这种退化过程的可能原因。未观察到其他细胞类型,如刷状细胞、内分泌细胞和游走淋巴细胞。在黏膜下层观察到分化良好的黏液浆液腺。

https://cdn.ncbi.nlm.nih.gov/pmc/blobs/df3b/1256079/f69d26c3462c/janat00037-0059-a.jpg
https://cdn.ncbi.nlm.nih.gov/pmc/blobs/df3b/1256079/f2d66636f601/janat00037-0051-a.jpg
https://cdn.ncbi.nlm.nih.gov/pmc/blobs/df3b/1256079/84379e9fd23c/janat00037-0052-a.jpg
https://cdn.ncbi.nlm.nih.gov/pmc/blobs/df3b/1256079/7eee5939a830/janat00037-0053-a.jpg
https://cdn.ncbi.nlm.nih.gov/pmc/blobs/df3b/1256079/854c5b700585/janat00037-0054-a.jpg
https://cdn.ncbi.nlm.nih.gov/pmc/blobs/df3b/1256079/7daa496f78e3/janat00037-0055-a.jpg
https://cdn.ncbi.nlm.nih.gov/pmc/blobs/df3b/1256079/c46def150f57/janat00037-0055-b.jpg
https://cdn.ncbi.nlm.nih.gov/pmc/blobs/df3b/1256079/8ed2056b771c/janat00037-0056-a.jpg
https://cdn.ncbi.nlm.nih.gov/pmc/blobs/df3b/1256079/0934cd9b420d/janat00037-0057-a.jpg
https://cdn.ncbi.nlm.nih.gov/pmc/blobs/df3b/1256079/db692b817b52/janat00037-0058-a.jpg
https://cdn.ncbi.nlm.nih.gov/pmc/blobs/df3b/1256079/a33355c7bec1/janat00037-0058-b.jpg
https://cdn.ncbi.nlm.nih.gov/pmc/blobs/df3b/1256079/f69d26c3462c/janat00037-0059-a.jpg
https://cdn.ncbi.nlm.nih.gov/pmc/blobs/df3b/1256079/f2d66636f601/janat00037-0051-a.jpg
https://cdn.ncbi.nlm.nih.gov/pmc/blobs/df3b/1256079/84379e9fd23c/janat00037-0052-a.jpg
https://cdn.ncbi.nlm.nih.gov/pmc/blobs/df3b/1256079/7eee5939a830/janat00037-0053-a.jpg
https://cdn.ncbi.nlm.nih.gov/pmc/blobs/df3b/1256079/854c5b700585/janat00037-0054-a.jpg
https://cdn.ncbi.nlm.nih.gov/pmc/blobs/df3b/1256079/7daa496f78e3/janat00037-0055-a.jpg
https://cdn.ncbi.nlm.nih.gov/pmc/blobs/df3b/1256079/c46def150f57/janat00037-0055-b.jpg
https://cdn.ncbi.nlm.nih.gov/pmc/blobs/df3b/1256079/8ed2056b771c/janat00037-0056-a.jpg
https://cdn.ncbi.nlm.nih.gov/pmc/blobs/df3b/1256079/0934cd9b420d/janat00037-0057-a.jpg
https://cdn.ncbi.nlm.nih.gov/pmc/blobs/df3b/1256079/db692b817b52/janat00037-0058-a.jpg
https://cdn.ncbi.nlm.nih.gov/pmc/blobs/df3b/1256079/a33355c7bec1/janat00037-0058-b.jpg
https://cdn.ncbi.nlm.nih.gov/pmc/blobs/df3b/1256079/f69d26c3462c/janat00037-0059-a.jpg

相似文献

1
Ultrastructure of human fetal trachea. A morphological study of the luminal and glandular epithelia at the mid-trimester.人类胎儿气管的超微结构。孕中期管腔和腺上皮的形态学研究。
J Anat. 1990 Dec;173:43-59.
2
Differentiation of tracheal epithelium during fetal lung maturation in the rhesus monkey Macaca mulatta.恒河猴(猕猴)胎儿肺成熟过程中气管上皮的分化
Am J Anat. 1986 Jan;175(1):59-71. doi: 10.1002/aja.1001750107.
3
In vivo ciliogenesis in human fetal tracheal epithelium.人胎儿气管上皮细胞的体内纤毛发生
Am J Anat. 1989 Aug;185(4):415-28. doi: 10.1002/aja.1001850405.
4
The respiratory epithelium. II. Hamster trachea, bronchus, and bronchioles.呼吸道上皮。II. 仓鼠的气管、支气管和细支气管。
J Natl Cancer Inst. 1978 Aug;61(2):551-61.
5
A morphological study of the tracheal epithelium of the snake Natrix maura.乌游蛇气管上皮的形态学研究。
J Anat. 1990 Oct;172:47-57.
6
Morphology and quantitation of ciliated outgrowths from cultured rabbit tracheal explants.培养的兔气管外植体纤毛生长物的形态学与定量分析
Eur J Cell Biol. 1983 Jan;29(2):200-8.
7
The tracheobronchial epithelium of the bonnet monkey (Macaca radiata): a quantitative ultrastructural study.冠毛猕猴(Macaca radiata)的气管支气管上皮:一项定量超微结构研究。
Am J Anat. 1984 Sep;171(1):25-40. doi: 10.1002/aja.1001710104.
8
The development of the epithelium and its innervation in the avian extra-pulmonary respiratory tract.鸟类肺外呼吸道上皮及其神经支配的发育
J Anat. 1978 Jan;125(Pt 1):171-82.
9
An ultrastructural study of the tracheal epithelium of the guinea-pig with special reference to the ciliary structure.豚鼠气管上皮超微结构的研究,特别涉及纤毛结构
J Anat. 1983 Jan;136(Pt 1):47-67.
10
In utero and postnatal exposure of Wistar rats to low frequency/high intensity noise depletes the tracheal epithelium of ciliated cells.孕期和出生后将Wistar大鼠暴露于低频/高强度噪声会使气管上皮的纤毛细胞减少。
Lung. 2001;179(4):225-32. doi: 10.1007/s004080000063.

引用本文的文献

1
Ultrastructural Comparison of the Nasal Epithelia of Healthy and Naturally Affected Rabbits with Pasteurella multocida A.健康兔与自然感染多杀性巴氏杆菌A的兔鼻上皮超微结构比较
Vet Med Int. 2013;2013:321390. doi: 10.1155/2013/321390. Epub 2013 Mar 14.
2
"Tasting" the airway lining fluid.“品尝”气道衬液。
Histochem Cell Biol. 2012 Sep;138(3):365-83. doi: 10.1007/s00418-012-0993-5. Epub 2012 Jul 10.

本文引用的文献

1
Development of the mucus-secreting elements in human lung.人类肺部黏液分泌成分的发育
Thorax. 1961 Sep;16(3):219-25. doi: 10.1136/thx.16.3.219.
2
Development and distribution of mucous glands in the foetal human trachea.胎儿人类气管中黏液腺的发育与分布
Br J Dis Chest. 1961 Apr;55:54-64. doi: 10.1016/s0007-0971(61)80002-8.
3
Reinforcement and protection with polystyrene of freeze-fracture replicas during thawing and digestion of tissue.在组织解冻和消化过程中用聚苯乙烯对冷冻断裂复制品进行加固和保护。
J Microsc. 1983 Nov;132(Pt 2):149-52. doi: 10.1111/j.1365-2818.1983.tb04266.x.
4
Death in embryonic systems.胚胎系统中的死亡
Science. 1966 Nov 4;154(3749):604-12. doi: 10.1126/science.154.3749.604.
5
Differentiation of tracheal epithelium during fetal lung maturation in the rhesus monkey Macaca mulatta.恒河猴(猕猴)胎儿肺成熟过程中气管上皮的分化
Am J Anat. 1986 Jan;175(1):59-71. doi: 10.1002/aja.1001750107.
6
Structural basis for physiological regulation of paracellular pathways in intestinal epithelia.肠道上皮细胞旁途径生理调节的结构基础。
J Membr Biol. 1987;100(2):149-64. doi: 10.1007/BF02209147.
7
Preparation of the mammalian organ of Corti for scanning electron microscopy.
J Microsc. 1987 Jul;147(Pt 1):89-101. doi: 10.1111/j.1365-2818.1987.tb02821.x.
8
A freeze-fracture replication apparatus for biological specimens.一种用于生物样本的冷冻断裂复型装置。
J Microsc. 1975 Aug;104(3):235-44. doi: 10.1111/j.1365-2818.1975.tb04021.x.
9
Scanning electron microscopic observations of the human respiratory tract.人类呼吸道的扫描电子显微镜观察
Am J Dis Child. 1975 Mar;129(3):289-94. doi: 10.1001/archpedi.1975.02120400007002.
10
Squamous metaplasia of the tracheal epithelium in children.儿童气管上皮的鳞状化生
Thorax. 1976 Apr;31(2):167-71. doi: 10.1136/thx.31.2.167.