Suppr超能文献

2010年热带口炎性腹泻的面貌。

The Face of Tropical Sprue in 2010.

作者信息

Batheja Mashal Jatoi, Leighton Jonathan, Azueta Ainara, Heigh Russell

机构信息

Department of Gastroenterology and Hepatology, Mayo Clinic, Scottsdale, Ariz., USA.

出版信息

Case Rep Gastroenterol. 2010 May 19;4(2):168-172. doi: 10.1159/000314231.

Abstract

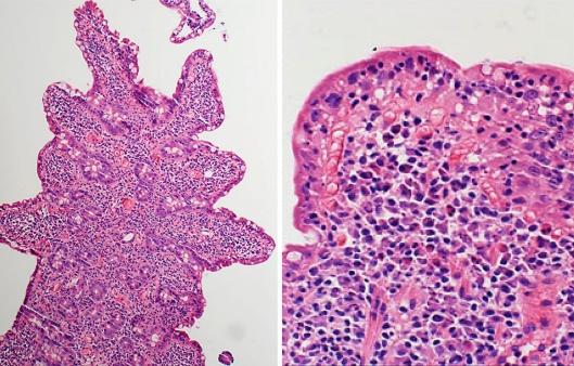
Tropical sprue (TS), although endemic in certain tropical regions of the world, is rarely seen in North America and Europe. However, in this era of globalization and worldwide travel, it is important for all clinicians to be aware of the possibility of TS in patients presenting with nonspecific, persistent gastrointestinal complaints like diarrhea and weight loss. The symptoms and histologic findings of TS can resemble and be confused with those of diseases seen more commonly in nontropical climates like celiac disease and small intestine bacterial overgrowth. Therefore, if the usual causes of persistent diarrhea are ruled out, keeping a high index of suspicion for TS in patients who have a travel history to one of the endemic regions is important.

摘要

热带口炎性腹泻(TS)虽然在世界某些热带地区呈地方性流行,但在北美和欧洲却很少见。然而,在这个全球化和全球旅行的时代,对于所有临床医生来说,认识到患有腹泻和体重减轻等非特异性、持续性胃肠道症状的患者存在患TS的可能性非常重要。TS的症状和组织学表现可能与在非热带气候中更常见的疾病(如乳糜泻和小肠细菌过度生长)相似且容易混淆。因此,如果排除了持续性腹泻的常见病因,对于有去过流行地区旅行史的患者高度怀疑TS很重要。

https://cdn.ncbi.nlm.nih.gov/pmc/blobs/2d9d/2929410/b28709cf4a67/crg0004-0168-f01.jpg

文献AI研究员

20分钟写一篇综述,助力文献阅读效率提升50倍。

立即体验

用中文搜PubMed

大模型驱动的PubMed中文搜索引擎

马上搜索

文档翻译

学术文献翻译模型,支持多种主流文档格式。

立即体验