Suppr超能文献

成釉细胞纤维牙瘤:一项诊断挑战。

Ameloblastic fibro-odontoma: a diagnostic challenge.

作者信息

de Souza Tolentino Elen, Centurion Bruna Stuchi, Lima Marta Cunha, Freitas-Faria Patrícia, Consolaro Alberto, Sant'ana Eduardo

机构信息

Bauru Dental School, University of São Paulo, Alameda Octávio Pinheiro Brisola 9-75, Bauru, São Paulo 17012-901, Brazil.

出版信息

Int J Dent. 2010;2010. doi: 10.1155/2010/104630. Epub 2010 Aug 19.

Abstract

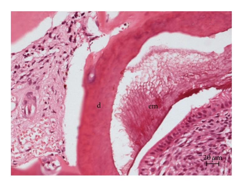
An 11-year-old girl presented to our department to have a second opinion regarding a lesion involving her left mandible. She had previously undergone several radiographic exams including panoramic, helical, and cone-beam computed tomography. Radiographic examinations revealed a well-defined radiolucent region, which contained an irregular radiopaque mass of 3 cm in diameter, localized to the left angle of the mandible. Our presumptive diagnosis was complex odontoma. Excisional biopsy was performed, and microscopic features showed strands and islands of odontogenic epithelium showing peripheral palisading and loosely arranged central cells, identical to stellate reticulum, embedded in a myxoid cell-rich stroma resembling the dental papilla. Dentin and enamel were also presented. The diagnosis was ameloblastic fibro-odontoma, which is a rare mixed odontogenic tumor, derived from epithelial and ectomesenchymal elements that form the dental tissues.

摘要

一名11岁女孩前来我科,就其左侧下颌骨病变寻求第二种诊断意见。她此前已接受了多项影像学检查,包括全景、螺旋和锥形束计算机断层扫描。影像学检查发现一个边界清晰的透光区,其中包含一个直径3厘米的不规则不透光肿块,位于下颌骨左角。我们的初步诊断是复合性牙瘤。进行了切除活检,显微镜下特征显示牙源性上皮条索和岛状结构,周边呈栅栏状排列,中央细胞排列疏松,类似于星网状层,嵌入富含黏液样细胞的基质中,类似牙乳头。同时还发现了牙本质和牙釉质。诊断为成釉细胞纤维牙瘤,这是一种罕见的混合性牙源性肿瘤,由形成牙齿组织的上皮和外间充质成分衍生而来。

https://cdn.ncbi.nlm.nih.gov/pmc/blobs/0198/2933904/178f60acd5f1/IJD2010-104630.001.jpg

文献AI研究员

20分钟写一篇综述,助力文献阅读效率提升50倍。

立即体验

用中文搜PubMed

大模型驱动的PubMed中文搜索引擎

马上搜索

文档翻译

学术文献翻译模型,支持多种主流文档格式。

立即体验