Suppr超能文献

一名4岁男孩的成釉细胞纤维牙瘤

Ameloblastic Fibro-Odontoma in a 4-Year-Old Boy.

作者信息

Ghandehari-Motlagh Mehdi, Khosravi Zahra, Meighani Ghasem, Baradaran-Nakhjavani Yahya

机构信息

Department of Pedodontics, Dentistry School, Tehran University of Medical Sciences, Tehran, IR Iran.

出版信息

Iran J Pediatr. 2016 Mar 5;26(2):e3124. doi: 10.5812/ijp.3124. eCollection 2016 Apr.

Abstract

INTRODUCTION

Ameloblastic fibro-odontoma (AFO) is defined as a benign odontogenic tumor with slow growing behavior. Its prevalence is rare. AFO is characterized by histologic features of ameloblastic fibroma (AF) with the formation of enamel and dentine.

CASE PRESENTATION

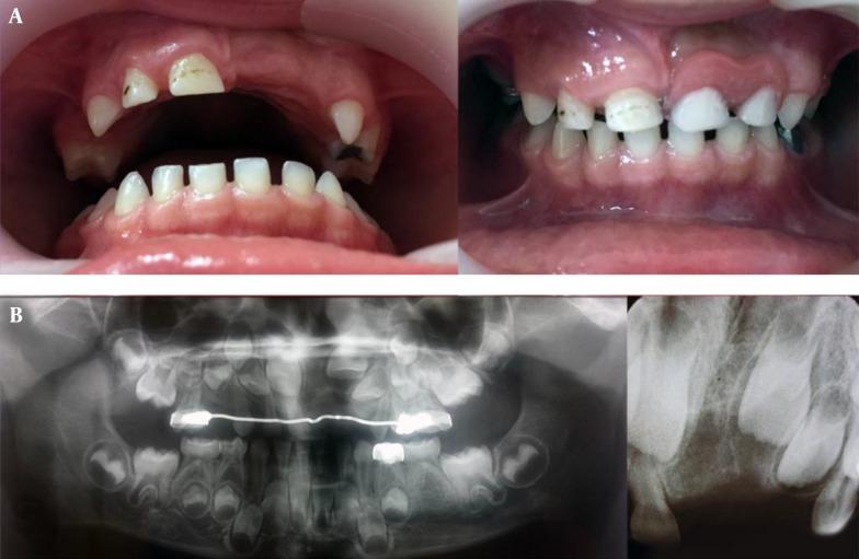
This is a case report of AFO accompanied with a number of impacted deciduous teeth and its management in a 4-year old boy. Examination of oral cavity revealed an extensive swelling from midline to left deciduous maxillary first molar, covered with normal mucosa. Radiographic examination showed a well-defined mixed radiolucent-radiopaque lesion that extended horizontally from midline to mesial border of the left maxillary primary first molar and vertically from alveolar crest to the floor of nose. The differential diagnosis was odontoma (ameloblastic fibro-odontoma, complex odontoma). Surgical enucleation and curettage was performed under general anesthesia. Histopathologic sections show bone trabeculae in marrow spaces. There was myxoid matrix in some spaces which contained odontogenic epithelial cells. These findings led to diagnosis of AFO. No sign of recurrence has been observed during the 12-month follow-up period.

CONCLUSION

Although AFO is a rare tumor, it is more prevalent in children's jaw. Conservative surgical treatment allowed the normal development of teeth.

摘要

引言

成釉细胞纤维牙瘤(AFO)被定义为一种生长缓慢的良性牙源性肿瘤。其发病率很低。AFO的组织学特征为成釉细胞纤维瘤(AF)伴有釉质和牙本质形成。

病例报告

本文报告一例4岁男孩的AFO病例,该病例伴有多颗乳牙阻生及其治疗情况。口腔检查发现,从正中线至左侧上颌乳中切牙有广泛肿胀,表面覆盖正常黏膜。影像学检查显示一个边界清晰的混合性透射线-阻射线病变,从正中线水平延伸至左侧上颌乳中切牙的近中边缘,从牙槽嵴垂直延伸至鼻底。鉴别诊断为牙瘤(成釉细胞纤维牙瘤、复合性牙瘤)。在全身麻醉下进行了手术摘除和刮治。组织病理学切片显示骨髓腔内有骨小梁。部分区域有黏液样基质,其中含有牙源性上皮细胞。这些发现确诊为AFO。在12个月的随访期内未观察到复发迹象。

结论

尽管AFO是一种罕见肿瘤,但在儿童颌骨中更为常见。保守性手术治疗可使牙齿正常发育。

https://cdn.ncbi.nlm.nih.gov/pmc/blobs/d492/4904337/7b484375a8e9/ijp-26-02-3124-g001.jpg

文献检索

告别复杂PubMed语法,用中文像聊天一样搜索,搜遍4000万医学文献。AI智能推荐,让科研检索更轻松。

立即免费搜索

文件翻译

保留排版,准确专业,支持PDF/Word/PPT等文件格式,支持 12+语言互译。

免费翻译文档

深度研究

AI帮你快速写综述,25分钟生成高质量综述,智能提取关键信息,辅助科研写作。

立即免费体验