Suppr超能文献

透明质酸合酶(HAS1-3)和透明质酸酶(HYAL1-2)在子宫内膜样型子宫内膜癌中透明质酸的积累。

Hyaluronan synthases (HAS1-3) and hyaluronidases (HYAL1-2) in the accumulation of hyaluronan in endometrioid endometrial carcinoma.

机构信息

Institute of Clinical Medicine, Department of Pathology and Forensic Medicine, University of Eastern Finland and Kuopio University Hospital, Kuopio, Finland.

出版信息

BMC Cancer. 2010 Sep 27;10:512. doi: 10.1186/1471-2407-10-512.

Abstract

BACKGROUND

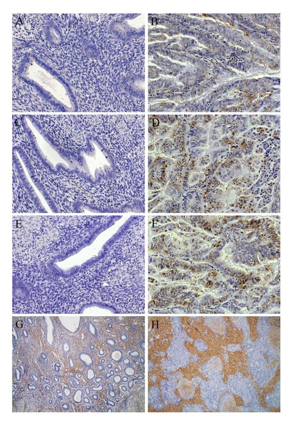
Hyaluronan accumulation correlates with the degree of malignancy in many solid tumor types, including malignant endometrial carcinomas. To elucidate the mechanism of hyaluronan accumulation, we examined the expression levels of the hyaluronan synthases (HAS1, HAS2 and HAS3) and hyaluronidases (HYAL1 and HYAL2), and correlated them with hyaluronan content and HAS1-3 immunoreactivity.

METHODS

A total of 35 endometrial tissue biopsies from 35 patients, including proliferative and secretory endometrium (n = 10), post-menopausal proliferative endometrium (n = 5), complex atypical hyperplasia (n = 4), grade 1 (n = 8) and grade 2 + 3 (n = 8) endometrioid adenocarcinomas were divided for gene expression by real-time RT-PCR, and paraffin embedded blocks for hyaluronan and HAS1-3 cytochemistry.

RESULTS

The mRNA levels of HAS1-3 were not consistently changed, while the immunoreactivity of all HAS proteins was increased in the cancer epithelium. Interestingly, HAS3 mRNA, but not HAS3 immunoreactivity, was increased in post-menopausal endometrium compared to normal endometrium (p = 0.003). The median of HYAL1 mRNA was 10-fold and 15-fold lower in both grade 1 and grade 2+3 endometrioid endometrial cancers, as compared to normal endometrium (p = 0.004-0.006), and post-menopausal endometrium (p = 0.002), respectively. HYAL2 mRNA was also reduced in cancer (p = 0.02) and correlated with HYAL1 (r = 0.8, p = 0.0001). There was an inverse correlation between HYAL1 mRNA and the epithelial hyaluronan staining intensity (r = -0.6; P = 0.001).

CONCLUSION

The results indicated that HYAL1 and HYAL2 were coexpressed and significantly downregulated in endometrioid endometrial cancer and correlated with the accumulation of hyaluronan. While immunoreactivity for HASs increased in the cancer cells, tumor mRNA levels for HASs were not changed, suggesting that reduced turnover of HAS protein may also have contributed to the accumulation of hyaluronan.

摘要

背景

透明质酸的积累与许多实体肿瘤类型的恶性程度相关,包括恶性子宫内膜癌。为了阐明透明质酸积累的机制,我们检查了透明质酸合酶(HAS1、HAS2 和 HAS3)和透明质酸酶(HYAL1 和 HYAL2)的表达水平,并将其与透明质酸含量和 HAS1-3 免疫反应性相关联。

方法

总共对 35 名患者的 35 份子宫内膜组织活检进行了基因表达的实时 RT-PCR 分析,这些患者包括增殖期和分泌期子宫内膜(n = 10)、绝经后增殖期子宫内膜(n = 5)、复杂非典型增生(n = 4)、1 级(n = 8)和 2+3 级(n = 8)子宫内膜样腺癌。同时对石蜡包埋块进行透明质酸和 HAS1-3 细胞化学染色。

结果

HAS1-3 的 mRNA 水平没有一致改变,而所有 HAS 蛋白的免疫反应性在癌上皮中增加。有趣的是,与正常子宫内膜相比,绝经后子宫内膜中 HAS3 mRNA 而不是 HAS3 免疫反应性增加(p = 0.003)。与正常子宫内膜(p = 0.004-0.006)和绝经后子宫内膜(p = 0.002)相比,1 级和 2+3 级子宫内膜样腺癌中 HYAL1 mRNA 的中位数分别低 10 倍和 15 倍,而 HYAL2 mRNA 也在癌症中减少(p = 0.02),并与 HYAL1 相关(r = 0.8,p = 0.0001)。HYAL1 mRNA 与上皮透明质酸染色强度呈负相关(r = -0.6;P = 0.001)。

结论

结果表明,HYAL1 和 HYAL2 在子宫内膜样腺癌中共同表达并显著下调,并与透明质酸的积累相关。虽然癌细胞中的 HASs 免疫反应性增加,但 HASs 的肿瘤 mRNA 水平没有改变,这表明 HAS 蛋白的周转率降低也可能导致透明质酸的积累。

https://cdn.ncbi.nlm.nih.gov/pmc/blobs/8986/2956733/08175d7b6e45/1471-2407-10-512-1.jpg

文献检索

告别复杂PubMed语法,用中文像聊天一样搜索,搜遍4000万医学文献。AI智能推荐,让科研检索更轻松。

立即免费搜索

文件翻译

保留排版,准确专业,支持PDF/Word/PPT等文件格式,支持 12+语言互译。

免费翻译文档

深度研究

AI帮你快速写综述,25分钟生成高质量综述,智能提取关键信息,辅助科研写作。

立即免费体验