Suppr超能文献

肺复杂包虫囊肿很容易被漏诊。

It's easy to miss complicated hydatid cyst of lung.

作者信息

Biswas Debabani, Dey Atin, Biswas Saurabh, Chakraborty Mukul

机构信息

Department of Respiratory Medicine, Calcutta National Medical College, 24 Gorachand Road, Kolkata - 700 014, India.

出版信息

Lung India. 2010 Jul;27(3):164-6. doi: 10.4103/0970-2113.68328.

Abstract

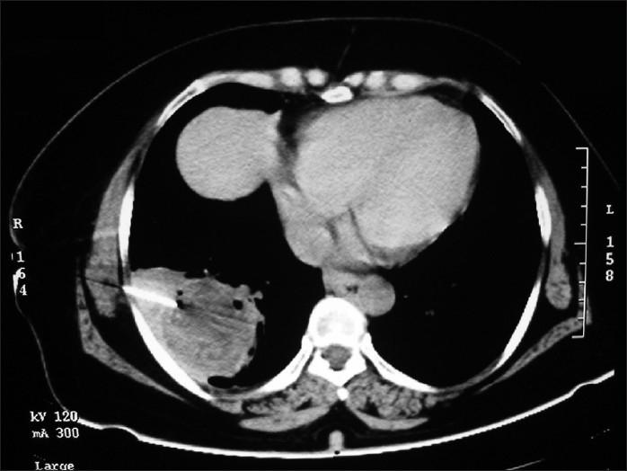
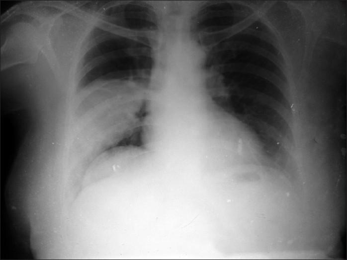
A 60-year-old female presented with pneumonitis of right lower zone. CT scan revealed mass like lesion with multiple air pockets. FNAC and ultrasound confirmed the diagnosis as isolated active pulmonary hydatid cyst, which is not common finding in adult population.

摘要

一名60岁女性因右下叶肺炎就诊。CT扫描显示有一个伴有多个气腔的肿块样病变。细针穿刺抽吸活检(FNAC)和超声检查确诊为孤立性活动性肺包虫囊肿,这在成人中并不常见。

https://cdn.ncbi.nlm.nih.gov/pmc/blobs/6328/2946721/c292f32c2f16/LI-27-164-g001.jpg

文献AI研究员

20分钟写一篇综述,助力文献阅读效率提升50倍。

立即体验

用中文搜PubMed

大模型驱动的PubMed中文搜索引擎

马上搜索

文档翻译

学术文献翻译模型,支持多种主流文档格式。

立即体验