Suppr超能文献

使用气溶胶兔痘病毒模型评估抗痘病毒药物。

Use of the Aerosol Rabbitpox Virus Model for Evaluation of Anti-Poxvirus Agents.

作者信息

Roy Chad J, Voss Thomas G

机构信息

Infectious Disease Aerobiology, Microbiology Division, Tulane National Primate Research Center, 18703 Three Rivers Road, Covington, Louisiana, USA.

出版信息

Viruses. 2010 Sep 27;2(9):2096-2107. doi: 10.3390/v2092096.

Abstract

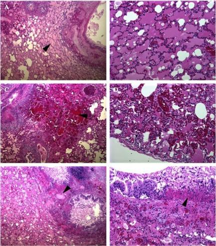
Smallpox is an acute disease caused by infection with variola virus that has had historic effects on the human population due to its virulence and infectivity. Because variola remains a threat to humans, the discovery and development of novel pox therapeutics and vaccines has been an area of intense focus. As variola is a uniquely human virus lacking a robust animal model, the development of rational therapeutic or vaccine approaches for variola requires the use of model systems that reflect the clinical aspects of human infection. Many laboratory animal models of poxviral disease have been developed over the years to study host response and to evaluate new therapeutics and vaccines for the treatment or prevention of human smallpox. Rabbitpox (rabbitpox virus infection in rabbits) is a severe and often lethal infection that has been identified as an ideal disease model for the study of poxviruses in a non-rodent species. The aerosol infection model (aerosolized rabbitpox infection) embodies many of the desired aspects of the disease syndrome that involves the respiratory system and thus may serve as an appropriate model for evaluation of antivirals under development for the therapeutic treatment of human smallpox. In this review we summarize the aerosol model of rabbitpox, discuss the development efforts that have thus far used this model for antiviral testing, and comment on the prospects for its use in future evaluations requiring a poxviral model with a focus on respiratory infection.

摘要

天花是一种由天花病毒感染引起的急性疾病,由于其毒性和传染性,在历史上对人类种群产生了重大影响。由于天花病毒仍然对人类构成威胁,新型痘病毒治疗方法和疫苗的发现与开发一直是备受关注的领域。由于天花病毒是一种独特的人类病毒,缺乏合适的动物模型,因此开发针对天花病毒的合理治疗方法或疫苗需要使用能够反映人类感染临床特征的模型系统。多年来,人们已经开发了许多痘病毒疾病的实验动物模型,用于研究宿主反应以及评估用于治疗或预防人类天花的新治疗方法和疫苗。兔痘(兔痘病毒感染兔子)是一种严重且通常致命的感染,已被确定为研究非啮齿类动物痘病毒的理想疾病模型。气溶胶感染模型(雾化兔痘感染)体现了涉及呼吸系统的疾病综合征的许多理想特征,因此可作为评估正在开发的用于治疗人类天花的抗病毒药物的合适模型。在本综述中,我们总结了兔痘的气溶胶模型,讨论了迄今为止使用该模型进行抗病毒测试的研究进展,并对其在未来需要以呼吸道感染为重点的痘病毒模型评估中的应用前景进行了评论。

https://cdn.ncbi.nlm.nih.gov/pmc/blobs/82e4/3185745/0a7886d67760/viruses-02-02096f1.jpg

文献检索

告别复杂PubMed语法,用中文像聊天一样搜索,搜遍4000万医学文献。AI智能推荐,让科研检索更轻松。

立即免费搜索

文件翻译

保留排版,准确专业,支持PDF/Word/PPT等文件格式,支持 12+语言互译。

免费翻译文档

深度研究

AI帮你快速写综述,25分钟生成高质量综述,智能提取关键信息,辅助科研写作。

立即免费体验