Włodarski Krzysztof, Włodarski Paweł, Galus Ryszard, Brodzikowska Aniela
Chair of Histology and Embryology, Institute of Biostructural Research, Medical University of Warsaw, Chalubinskiego 5 Str., 02-004 Warszawa, Poland; E-Mails:
Int J Mol Sci. 2010 Sep 15;11(9):3277-87. doi: 10.3390/ijms11093277.
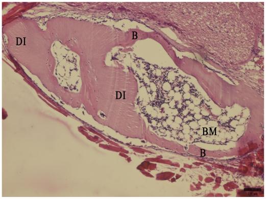
HCl-demineralized murine lower incisors were implanted intramuscularly into syngeneic BALB/c mice to induce heterotopic osteogenesis. Implants were exposed at the early, preosteogenic stage (4), or at the later, osteogenic stage (12) to the Moloney sarcoma virus (MSV), which within 3-4 days results in a sarcoma. The yield of bone induction was determined by weight of dry bone mass following NaOH hydrolysis of soft tissues. To verify the effect of this sarcoma on orthotopic local femoral bone, the dry mass of the tumor-exposed femora was measured and compared with the weight of MSV-unexposed contralateral controls. MSV-sarcoma or cells involved with their spontaneous rejection have a stimulatory effect on the periosteal membrane of the tumor-adjacent femoral bones, increasing their dry mass on average by 18%. No stimulatory effect on heterotopic bone induction was observed when the MSV sarcoma grew during the early, preosteogenic stage (4 onward), but when the tooth matrix had been exposed to such tumor at the already bone-forming stage, (12 onward), the yield of bone induction was enhanced. Thus, it is postulated that lesions induced by MSV during the early, preosteogenic stage inhibit recruitment of osteoprogenitor cells or degrade Bone Morphogenetic Proteins (BMPs) released by matrix resorbing inflammatory cells, whereas when acting on already existing bone they have a stimulatory effect.
将盐酸脱矿的小鼠下切牙肌内植入同基因的BALB/c小鼠体内,以诱导异位骨生成。将植入物在早期的成骨前期(4天)或后期的成骨期(12天)暴露于莫洛尼肉瘤病毒(MSV),该病毒在3-4天内会导致肉瘤形成。通过对软组织进行氢氧化钠水解后干骨质量的重量来确定骨诱导产量。为了验证这种肉瘤对原位局部股骨的影响,测量了暴露于肿瘤的股骨的干质量,并与未暴露于MSV的对侧对照的重量进行比较。MSV肉瘤或参与其自发排斥的细胞对肿瘤相邻股骨的骨膜有刺激作用,使其干质量平均增加18%。当MSV肉瘤在早期的成骨前期(4天及以后)生长时,未观察到对异位骨诱导的刺激作用,但当牙基质在已经成骨的阶段(12天及以后)暴露于这种肿瘤时,骨诱导产量会增加。因此,推测MSV在早期的成骨前期诱导的损伤会抑制骨祖细胞的募集或降解基质吸收性炎症细胞释放的骨形态发生蛋白(BMP),而当作用于已有的骨时则具有刺激作用。