Suppr超能文献

人类异常纺锤体蛋白参与纺锤体组织、纺锤体定向和胞质分裂。

Human ASPM participates in spindle organisation, spindle orientation and cytokinesis.

作者信息

Higgins Julie, Midgley Carol, Bergh Anna-Maria, Bell Sandra M, Askham Jonathan M, Roberts Emma, Binns Ruth K, Sharif Saghira M, Bennett Christopher, Glover David M, Woods C Geoffrey, Morrison Ewan E, Bond Jacquelyn

机构信息

Section of Ophthalmology and Neuroscience, Wellcome Trust Brenner Building, Leeds Institute of Molecular Medicine, University of Leeds, St. James's University Hospital, Leeds LS9 7TF, UK.

出版信息

BMC Cell Biol. 2010 Nov 2;11:85. doi: 10.1186/1471-2121-11-85.

Abstract

BACKGROUND

Mutations in the Abnormal Spindle Microcephaly related gene (ASPM) are the commonest cause of autosomal recessive primary microcephaly (MCPH) a disorder characterised by a small brain and associated mental retardation. ASPM encodes a mitotic spindle pole associated protein. It is suggested that the MCPH phenotype arises from proliferation defects in neural progenitor cells (NPC).

RESULTS

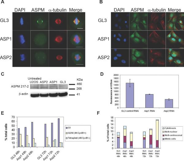
We show that ASPM is a microtubule minus end-associated protein that is recruited in a microtubule-dependent manner to the pericentriolar matrix (PCM) at the spindle poles during mitosis. ASPM siRNA reduces ASPM protein at the spindle poles in cultured U2OS cells and severely perturbs a number of aspects of mitosis, including the orientation of the mitotic spindle, the main determinant of developmental asymmetrical cell division. The majority of ASPM depleted mitotic cells fail to complete cytokinesis. In MCPH patient fibroblasts we show that a pathogenic ASPM splice site mutation results in the expression of a novel variant protein lacking a tripeptide motif, a minimal alteration that correlates with a dramatic decrease in ASPM spindle pole localisation. Moreover, expression of dominant-negative ASPM C-terminal fragments cause severe spindle assembly defects and cytokinesis failure in cultured cells.

CONCLUSIONS

These observations indicate that ASPM participates in spindle organisation, spindle positioning and cytokinesis in all dividing cells and that the extreme C-terminus of the protein is required for ASPM localisation and function. Our data supports the hypothesis that the MCPH phenotype caused by ASPM mutation is a consequence of mitotic aberrations during neurogenesis. We propose the effects of ASPM mutation are tolerated in somatic cells but have profound consequences for the symmetrical division of NPCs, due to the unusual morphology of these cells. This antagonises the early expansion of the progenitor pool that underpins cortical neurogenesis, causing the MCPH phenotype.

摘要

背景

异常纺锤体小头畸形相关基因(ASPM)的突变是常染色体隐性原发性小头畸形(MCPH)最常见的病因,MCPH是一种以脑小和相关智力发育迟缓为特征的疾病。ASPM编码一种有丝分裂纺锤体极相关蛋白。有人认为MCPH表型源于神经祖细胞(NPC)的增殖缺陷。

结果

我们发现ASPM是一种微管负端相关蛋白,在有丝分裂期间以微管依赖的方式被募集到纺锤体极的中心粒周围基质(PCM)。ASPM siRNA降低了培养的U2OS细胞纺锤体极处的ASPM蛋白,并严重扰乱了有丝分裂的多个方面,包括有丝分裂纺锤体的方向,这是发育不对称细胞分裂的主要决定因素。大多数ASPM缺失的有丝分裂细胞未能完成胞质分裂。在MCPH患者成纤维细胞中,我们发现一个致病性ASPM剪接位点突变导致一种缺乏三肽基序的新型变体蛋白的表达,这种微小改变与ASPM纺锤体极定位的显著降低相关。此外,显性负性ASPM C端片段的表达在培养细胞中导致严重的纺锤体组装缺陷和胞质分裂失败。

结论

这些观察结果表明,ASPM参与所有分裂细胞的纺锤体组织、纺锤体定位和胞质分裂,并且该蛋白的极端C端对于ASPM的定位和功能是必需的。我们的数据支持这样的假设,即由ASPM突变引起的MCPH表型是神经发生过程中有丝分裂异常的结果。我们提出,ASPM突变的影响在体细胞中是可以耐受的,但由于这些细胞的特殊形态,对NPC的对称分裂有深远影响。这对抗了支持皮质神经发生的祖细胞池的早期扩张,导致MCPH表型。

https://cdn.ncbi.nlm.nih.gov/pmc/blobs/1675/2988714/8f4a8afc9263/1471-2121-11-85-1.jpg

文献检索

告别复杂PubMed语法,用中文像聊天一样搜索,搜遍4000万医学文献。AI智能推荐,让科研检索更轻松。

立即免费搜索

文件翻译

保留排版,准确专业,支持PDF/Word/PPT等文件格式,支持 12+语言互译。

免费翻译文档

深度研究

AI帮你快速写综述,25分钟生成高质量综述,智能提取关键信息,辅助科研写作。

立即免费体验