• 文献检索
  • 文档翻译
  • 深度研究
  • 学术资讯
  • Suppr Zotero 插件Zotero 插件
  • 邀请有礼
  • 套餐&价格
  • 历史记录
应用&插件
Suppr Zotero 插件Zotero 插件浏览器插件Mac 客户端Windows 客户端微信小程序
定价
高级版会员购买积分包购买API积分包
服务
文献检索文档翻译深度研究API 文档MCP 服务
关于我们
关于 Suppr公司介绍联系我们用户协议隐私条款
关注我们

Suppr 超能文献

核心技术专利:CN118964589B侵权必究
粤ICP备2023148730 号-1Suppr @ 2026

文献检索

告别复杂PubMed语法,用中文像聊天一样搜索,搜遍4000万医学文献。AI智能推荐,让科研检索更轻松。

立即免费搜索

文件翻译

保留排版,准确专业,支持PDF/Word/PPT等文件格式,支持 12+语言互译。

免费翻译文档

深度研究

AI帮你快速写综述,25分钟生成高质量综述,智能提取关键信息,辅助科研写作。

立即免费体验

蛛网膜下腔脓性物质的扩散受限:耐甲氧西林金黄色葡萄球菌性脑膜血管炎与进行性脑干缺血性卒中——病例报告

Restricted Diffusion of Pus in the Subarachnoid Space: MRSA Meningo-Vasculitis and Progressive Brainstem Ischemic Strokes - A Case Report.

作者信息

Rose David Z, Parra-Herran Carlos, Petito Carol K, Post M Judith D

机构信息

Department of Neurology, University of Miami Miller School of Medicine, Jackson Memorial Hospital, Miami, Fla., USA.

出版信息

Case Rep Neurol. 2010 Aug 7;2(2):101-110. doi: 10.1159/000319691.

DOI:10.1159/000319691
PMID:21045937
原文链接:https://pmc.ncbi.nlm.nih.gov/articles/PMC2968771/
Abstract

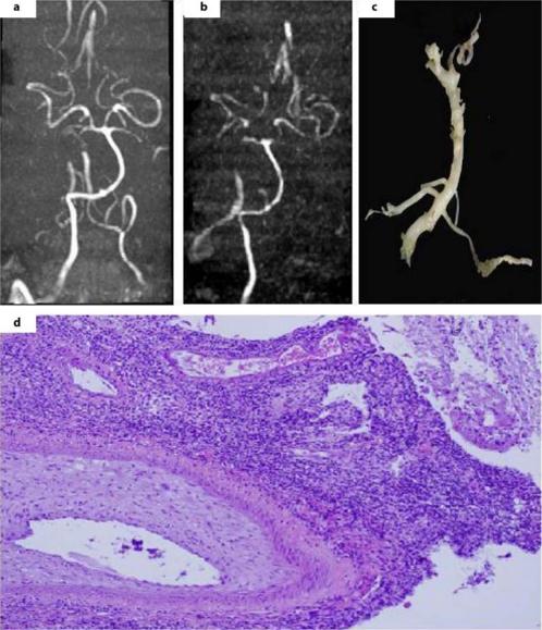
Extra-axial restriction on diffusion weighted imaging (DWI) is an unusual finding on brain magnetic resonance imaging (MRI). Intra-axial restriction on DWI, however, is common, and can represent brain parenchymal infarction, tumor, abscess, or toxic-metabolic process. The infrequency of extra-axial DWI restriction and the paucity of clinico-pathological correlation in the literature limit its differential diagnosis. Scant case reports suggest that extra-axial DWI restriction could be a lymphoma, neurenteric cyst, or, in one patient, subdural empyema [1,2,3]. We postulate that pus formation must be excluded first, because it can provoke an aggressive meningo-vasculitis with rapidly fatal, intra-axial infarctions. Our patient was a 45-year-old man, presenting to our hospital with left facial droop and right (contralateral) arm and leg weakness. Initial MRI revealed DWI restriction in the left lateral pons, consistent with a classic Millard-Gubler stroke. Also noted was a subtle, extra-axial area of curvilinear diffusion restriction in the left cerebellar-pontine angle's subarachnoid space. Days later, the patient had a headache, and repeat MRI revealed extension of the two DWI lesions - both the intra-axial pontine infarction and the extra-axial area of restricted diffusion in the subarachnoid space. The patient became comatose, a third MRI revealed more extensive DWI restrictions, and he expired despite aggressive care. Autopsy revealed massive brainstem infarcts, a thick lymphoplasmacytic infiltrate, copious Gram-Positive cocci (likely MRSA) and arteries partially occluded with fibrointimal proliferation. This emphasizes the concept that extra-axial DWI restriction can represent pus development in the subarachnoid space - a radiographic marker to identify a patient at risk for demise due to septic, meningo-vasculitic infarctions.

摘要

扩散加权成像(DWI)上的轴外扩散受限是脑磁共振成像(MRI)上一种不常见的表现。然而,DWI上的轴内扩散受限很常见,可提示脑实质梗死、肿瘤、脓肿或中毒代谢过程。轴外DWI受限情况少见,且文献中临床病理相关性资料匮乏,限制了其鉴别诊断。少量病例报告提示轴外DWI受限可能为淋巴瘤、神经肠囊肿,或在1例患者中为硬膜下积脓[1,2,3]。我们推测必须首先排除脓液形成,因为其可引发侵袭性脑膜血管炎,导致迅速致命的轴内梗死。我们的患者为一名45岁男性,因左侧面部下垂及右侧(对侧)手臂和腿部无力入院。初始MRI显示左侧脑桥外侧DWI受限,符合典型的Millard - Gubler卒中表现。同时还注意到左侧小脑脑桥角蛛网膜下腔内有一个细微的、呈曲线状的扩散受限轴外区域。数日后,患者出现头痛,复查MRI显示两个DWI病灶均有扩大——轴内脑桥梗死及蛛网膜下腔内扩散受限的轴外区域。患者陷入昏迷,第三次MRI显示更广泛的DWI受限,尽管积极治疗仍死亡。尸检发现大量脑干梗死、厚层淋巴浆细胞浸润、大量革兰氏阳性球菌(可能为耐甲氧西林金黄色葡萄球菌)以及部分被纤维内膜增生阻塞的动脉。这强调了轴外DWI受限可提示蛛网膜下腔内脓液形成这一概念——这是一种影像学标志物,可用于识别因感染性脑膜血管炎梗死而有死亡风险的患者。

https://cdn.ncbi.nlm.nih.gov/pmc/blobs/eafd/2968771/6cac057082eb/crn0002-0101-f06.jpg
https://cdn.ncbi.nlm.nih.gov/pmc/blobs/eafd/2968771/eddf77d0dc76/crn0002-0101-f01.jpg
https://cdn.ncbi.nlm.nih.gov/pmc/blobs/eafd/2968771/8047d47d31e4/crn0002-0101-f02.jpg
https://cdn.ncbi.nlm.nih.gov/pmc/blobs/eafd/2968771/cfae9829c35a/crn0002-0101-f03.jpg
https://cdn.ncbi.nlm.nih.gov/pmc/blobs/eafd/2968771/b1f3707a2e1b/crn0002-0101-f04.jpg
https://cdn.ncbi.nlm.nih.gov/pmc/blobs/eafd/2968771/6c3da1ba8c20/crn0002-0101-f05.jpg
https://cdn.ncbi.nlm.nih.gov/pmc/blobs/eafd/2968771/6cac057082eb/crn0002-0101-f06.jpg
https://cdn.ncbi.nlm.nih.gov/pmc/blobs/eafd/2968771/eddf77d0dc76/crn0002-0101-f01.jpg
https://cdn.ncbi.nlm.nih.gov/pmc/blobs/eafd/2968771/8047d47d31e4/crn0002-0101-f02.jpg
https://cdn.ncbi.nlm.nih.gov/pmc/blobs/eafd/2968771/cfae9829c35a/crn0002-0101-f03.jpg
https://cdn.ncbi.nlm.nih.gov/pmc/blobs/eafd/2968771/b1f3707a2e1b/crn0002-0101-f04.jpg
https://cdn.ncbi.nlm.nih.gov/pmc/blobs/eafd/2968771/6c3da1ba8c20/crn0002-0101-f05.jpg
https://cdn.ncbi.nlm.nih.gov/pmc/blobs/eafd/2968771/6cac057082eb/crn0002-0101-f06.jpg

相似文献

1
Restricted Diffusion of Pus in the Subarachnoid Space: MRSA Meningo-Vasculitis and Progressive Brainstem Ischemic Strokes - A Case Report.蛛网膜下腔脓性物质的扩散受限:耐甲氧西林金黄色葡萄球菌性脑膜血管炎与进行性脑干缺血性卒中——病例报告
Case Rep Neurol. 2010 Aug 7;2(2):101-110. doi: 10.1159/000319691.
2
Millard-Gubler Syndrome Associated with Cerebellar Ataxia in a Patient with Isolated Paramedian Pontine Infarction - A Rarely Observed Combination with a Benign Prognosis: A Case Report.孤立性脑桥旁正中梗死患者伴小脑共济失调的Millard-Gubler综合征——一种罕见的组合且预后良好:病例报告
Case Rep Neurol. 2021 Apr 13;13(1):239-245. doi: 10.1159/000515330. eCollection 2021 Jan-Apr.
3
Smog Sign: Hazy Diffusion-weighted Imaging Restriction in Dense Axonal Tracts in the Pons on Hyperacute MRI with Remarkable Clinical Improvement After Intra-arterial Thrombectomy.烟雾征:超急性磁共振成像时脑桥致密轴索束中模糊的扩散加权成像受限,动脉内血栓切除术后临床显著改善
Cureus. 2019 Aug 22;11(8):e5461. doi: 10.7759/cureus.5461.
4
Combination of standard axial and thin-section coronal diffusion-weighted imaging facilitates the diagnosis of brainstem infarction.标准轴位和薄层冠状位弥散加权成像相结合有助于脑干梗死的诊断。
Brain Behav. 2017 Mar 15;7(4):e00666. doi: 10.1002/brb3.666. eCollection 2017 Apr.
5
Improved detectability of acute and subacute brainstem infarctions by combining standard axial and thin-sliced sagittal DWI.标准轴位与薄层矢状面 DWI 联合应用可提高急性和亚急性脑干梗死的检出率。
PLoS One. 2018 Jul 3;13(7):e0200092. doi: 10.1371/journal.pone.0200092. eCollection 2018.
6
Patient characteristics with negative diffusion-weighted imaging findings in acute lateral medullary infarction.急性延髓外侧梗死中扩散加权成像结果为阴性的患者特征。
Neurol Sci. 2021 Feb;42(2):689-696. doi: 10.1007/s10072-020-04578-0. Epub 2020 Jul 12.
7
Value of Combination of Standard Axial and Thin-Section Coronal Diffusion-weighted Imaging in Diagnosis of Acute Brainstem Infarction.标准轴位与薄层冠状位扩散加权成像联合应用在急性脑干梗死诊断中的价值
Open Access Maced J Med Sci. 2019 Jul 28;7(14):2287-2291. doi: 10.3889/oamjms.2019.336. eCollection 2019 Jul 30.
8
[Early assessment of severe hypoxic-ischemic encephalopathy in neonates by diffusion-weighted magnetic resonance imaging techniques and its significance].[磁共振扩散加权成像技术对新生儿重度缺氧缺血性脑病的早期评估及其意义]
Zhonghua Er Ke Za Zhi. 2007 Nov;45(11):843-7.
9
Atypical epidermoid cyst of the fourth ventricle with minimal diffusion-restriction.第四脑室非典型表皮样囊肿,弥散受限轻微。
Childs Nerv Syst. 2024 Nov;40(11):3865-3868. doi: 10.1007/s00381-024-06553-y. Epub 2024 Jul 29.
10
Diffusion-weighted imaging in acute bacterial meningitis in infancy.婴儿急性细菌性脑膜炎的弥散加权成像
Neuroradiology. 2003 Sep;45(9):634-9. doi: 10.1007/s00234-003-1035-8. Epub 2003 Aug 8.

引用本文的文献

1
Crossed brainstem syndrome revealing bleeding brainstem cavernous malformation: an illustrative case.交叉性脑干综合征揭示脑干海绵状血管畸形出血:一个说明性病例。
BMC Neurol. 2021 May 20;21(1):204. doi: 10.1186/s12883-021-02223-7.
2
Vertebrobasilar artery dissection manifesting as Millard-Gubler syndrome in a young ischemic stroke patient: A case report.一名年轻缺血性中风患者中表现为Millard-Gubler综合征的椎基底动脉夹层:病例报告
World J Clin Cases. 2019 Jan 6;7(1):73-78. doi: 10.12998/wjcc.v7.i1.73.
3
Diffusion-weighted MRI abnormalities in an outbreak of Streptococcus agalactiae Serotype III, multilocus sequence type 283 meningitis.

本文引用的文献

1
Central nervous system lymphoma characterization by diffusion-weighted imaging and MR spectroscopy.通过扩散加权成像和磁共振波谱对中枢神经系统淋巴瘤进行特征描述。
J Neuroimaging. 2008 Oct;18(4):411-7. doi: 10.1111/j.1552-6569.2007.00231.x. Epub 2008 May 19.
2
Clinical implications of increased fractional anisotropy in meningitis associated with brain abscess.与脑脓肿相关的脑膜炎中各向异性分数增加的临床意义
J Comput Assist Tomogr. 2007 Nov-Dec;31(6):888-93. doi: 10.1097/rct.0b013e3180547118.
3
Fatal brain abscess due to community-associated methicillin-resistant Staphylococcus aureus strain USA300.
无乳链球菌血清型III、多位点序列类型283脑膜炎暴发中的扩散加权磁共振成像异常
J Magn Reson Imaging. 2017 Feb;45(2):507-514. doi: 10.1002/jmri.25373. Epub 2016 Jul 29.
由社区获得性耐甲氧西林金黄色葡萄球菌USA300菌株引起的致命性脑脓肿
Clin Infect Dis. 2007 Nov 1;45(9):e113-7. doi: 10.1086/522171. Epub 2007 Sep 21.
4
Retroperitoneal infection complicated by bacterial meningitis and ventriculitis with secondary brainstem infarction.
Neurocrit Care. 2007;6(3):192-4. doi: 10.1007/s12028-007-0009-9.
5
Increased anisotropy in neonatal meningitis: an indicator of meningeal inflammation.
Neuroradiology. 2007 Sep;49(9):767-75. doi: 10.1007/s00234-007-0246-9. Epub 2007 Jun 2.
6
Mechanisms of ischemic stroke in HIV-infected patients.HIV感染患者缺血性中风的机制。
Neurology. 2007 Apr 17;68(16):1257-61. doi: 10.1212/01.wnl.0000259515.45579.1e.
7
Intracranial neurenteric cysts: imaging and pathology spectrum.颅内神经肠囊肿:影像学与病理学表现谱
AJNR Am J Neuroradiol. 2006 Jun-Jul;27(6):1211-6.
8
Brainstem infarcts as an early manifestation of Streptococcus anginosus meningitis.咽峡炎链球菌脑膜炎的早期表现为脑干梗死。
Neurocrit Care. 2005;3(2):157-60. doi: 10.1385/NCC:3:2:157.
9
Meningoencephalitis caused by Streptococcus pneumoniae: a diagnostic and therapeutic challenge. Diagnosis with diffusion-weighted MRI leading to treatment with corticosteroids.肺炎链球菌引起的脑膜脑炎:诊断与治疗挑战。通过弥散加权磁共振成像诊断并使用皮质类固醇进行治疗。
Neuroradiology. 2005 Oct;47(10):758-64. doi: 10.1007/s00234-005-1423-3. Epub 2005 Sep 7.
10
Infection with the human immunodeficiency virus type 1 and vascular inflammatory disease.
Clin Exp Rheumatol. 2004;22(6 Suppl 36):S87-93.