Suppr超能文献

表达泛素连接酶失活 c-IAP2 的小鼠中存在非典型 NF-κB 激活和异常 B 细胞积累。

Non-canonical NF-κB activation and abnormal B cell accumulation in mice expressing ubiquitin protein ligase-inactive c-IAP2.

机构信息

Laboratory of Immune Cell Biology, Center for Cancer Research, National Cancer Institute, National Institutes of Health, Bethesda, Maryland, USA.

出版信息

PLoS Biol. 2010 Oct 26;8(10):e1000518. doi: 10.1371/journal.pbio.1000518.

Abstract

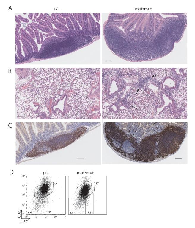
Chromosomal translocations between loci encoding MALT1 and c-IAP2 are common in MALT lymphomas. The resulting fusion proteins lack the c-IAP2 RING domain, the region responsible for its ubiquitin protein ligase (E3) activity. Ectopic expression of the fusion protein activates the canonical NF-κB signaling cascade, but how it does so is controversial and how it promotes MALT lymphoma is unknown. Considering recent reports implicating c-IAP1 and c-IAP2 E3 activity in repression of non-canonical NF-κB signaling, we asked if the c-IAP2/MALT fusion protein can initiate non-canonical NF-κB activation. Here we show that in addition to canonical activation, the fusion protein stabilizes NIK and activates non-canonical NF-κB. Canonical but not non-canonical activation depended on MALT1 paracaspase activity, and expression of E3-inactive c-IAP2 activated non-canonical NF-κB. Mice in which endogenous c-IAP2 was replaced with an E3-inactive mutant accumulated abnormal B cells with elevated non-canonical NF-κB and had increased numbers of B cells with a marginal zone phenotype, gut-associated lymphoid hyperplasia, and other features of MALT lymphoma. Thus, the c-IAP2/MALT1 fusion protein activates NF-κB by two distinct mechanisms, and loss of c-IAP2 E3 activity in vivo is sufficient to induce abnormalities common to MALT lymphoma.

摘要

染色体易位在编码 MALT1 和 c-IAP2 的基因座之间在 MALT 淋巴瘤中很常见。由此产生的融合蛋白缺乏 c-IAP2 的 RING 结构域,该区域负责其泛素蛋白连接酶(E3)活性。融合蛋白的异位表达激活了经典的 NF-κB 信号级联反应,但它是如何做到这一点的存在争议,以及它如何促进 MALT 淋巴瘤尚不清楚。考虑到最近有报道表明 c-IAP1 和 c-IAP2 的 E3 活性参与了非经典 NF-κB 信号的抑制,我们想知道 c-IAP2/MALT 融合蛋白是否可以引发非经典 NF-κB 激活。在这里,我们表明,除了经典激活外,融合蛋白还稳定了 NIK 并激活了非经典 NF-κB。经典但非经典的激活依赖于 MALT1 半胱天冬酶活性,并且表达 E3 失活的 c-IAP2 可激活非经典 NF-κB。用 E3 失活突变体替代内源性 c-IAP2 的小鼠积累了异常的 B 细胞,具有升高的非经典 NF-κB,并具有更多具有边缘区表型的 B 细胞,肠道相关淋巴组织增生和 MALT 淋巴瘤的其他特征。因此,c-IAP2/MALT1 融合蛋白通过两种不同的机制激活 NF-κB,体内 c-IAP2 E3 活性的丧失足以诱导与 MALT 淋巴瘤常见的异常。

https://cdn.ncbi.nlm.nih.gov/pmc/blobs/42bb/2964333/7e0f2489af4a/pbio.1000518.g001.jpg

文献检索

告别复杂PubMed语法,用中文像聊天一样搜索,搜遍4000万医学文献。AI智能推荐,让科研检索更轻松。

立即免费搜索

文件翻译

保留排版,准确专业,支持PDF/Word/PPT等文件格式,支持 12+语言互译。

免费翻译文档

深度研究

AI帮你快速写综述,25分钟生成高质量综述,智能提取关键信息,辅助科研写作。

立即免费体验