Department of Obstetrics and Gynecology, Tzaneio General State Hospital, Piraeus, Greece.
World J Surg Oncol. 2010 Nov 7;8:95. doi: 10.1186/1477-7819-8-95.
Gastrointestinal stromal tumors (GISTs) are mesenchymal tumors that develop in the wall of the gastrointestinal tract and their diagnosis during pregnancy or puerperium is extremely rare.
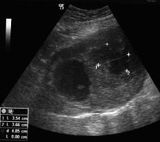
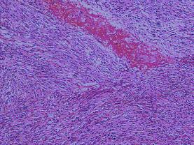
A 28-year old patient presented with acute abdomen due to hemoperitoneum from a large mass arising of the small intestine with distended vessels on its top and a ruptured superficial vessel bleeding into the peritoneal cavity. The patient was at the tenth postpartum day of her first pregnancy. The preoperative diagnosis was a possible ovarian or uterine mass. After an emergency exploratory laparotomy a segmental bowel resection was performed, removing the tumor with a part of 3-cm of the small intestine. Histology revealed GIST with maximum diameter of 13 cm and mitotic rates more than 5 mitoses per 50 high power fields with some atypical forms, indicating a high risk malignancy. Immunohistochemical staining of the tumor tissue demonstrated strongly positive reactivity to CD 117 (c-kit) and CD34 in almost all the tumor cells. The patient was treated with oral imatinib mesylate (Gleevec) 400 mg daily for one year. Three years after surgery, the patient was alive without evidence of metastases or local recurrence.
Considering that only few patients with gastrointestinal stromal tumors have been reported in the obstetrical and gynecological literature, the awareness of such an entity by the obstetricians-gynecologists is necessary in order to facilitate coordinated approach with the general surgeons and oncologists for the optimal care of the patients.
胃肠道间质瘤(GISTs)是源自胃肠道壁的间叶性肿瘤,其在妊娠或产褥期的诊断极为罕见。
一位 28 岁患者因大量小肠肿块导致的腹腔积血而出现急腹症,肿块表面血管扩张,浅层血管破裂,血液流入腹腔。患者处于首次妊娠的第 10 天产后期。术前诊断为卵巢或子宫肿块的可能性较大。在紧急剖腹探查术后,进行了一段肠切除术,切除了肿瘤和部分 3cm 小肠。组织学显示 GIST,最大直径为 13cm,每 50 个高倍视野中有超过 5 次有丝分裂,存在一些非典型形态,提示高度恶性肿瘤。肿瘤组织的免疫组织化学染色显示 CD117(c-kit)和 CD34 在几乎所有肿瘤细胞中均呈强阳性反应。该患者接受了每日 400mg 甲磺酸伊马替尼(格列卫)的口服治疗,持续一年。术后 3 年,患者无转移或局部复发的证据,存活至今。
鉴于只有少数胃肠道间质瘤患者在妇产科文献中报道,妇产科医生有必要意识到这种疾病的存在,以便与普外科医生和肿瘤学家进行协调,为患者提供最佳治疗。