• 文献检索
  • 文档翻译
  • 深度研究
  • 学术资讯
  • Suppr Zotero 插件Zotero 插件
  • 邀请有礼
  • 套餐&价格
  • 历史记录
应用&插件
Suppr Zotero 插件Zotero 插件浏览器插件Mac 客户端Windows 客户端微信小程序
定价
高级版会员购买积分包购买API积分包
服务
文献检索文档翻译深度研究API 文档MCP 服务
关于我们
关于 Suppr公司介绍联系我们用户协议隐私条款
关注我们

Suppr 超能文献

核心技术专利:CN118964589B侵权必究
粤ICP备2023148730 号-1Suppr @ 2026

文献检索

告别复杂PubMed语法,用中文像聊天一样搜索,搜遍4000万医学文献。AI智能推荐,让科研检索更轻松。

立即免费搜索

文件翻译

保留排版,准确专业,支持PDF/Word/PPT等文件格式,支持 12+语言互译。

免费翻译文档

深度研究

AI帮你快速写综述,25分钟生成高质量综述,智能提取关键信息,辅助科研写作。

立即免费体验

尼泊尔博卡拉一家三级护理教学医院50例皮肤结核的临床流行病学研究。

A clinicoepidemiological study of 50 cases of cutaneous tuberculosis in a tertiary care teaching hospital in pokhara, Nepal.

作者信息

Dwari Binayak Chandra, Ghosh Arnab, Paudel Raju, Kishore P

机构信息

Department of Dermatology, Manipal Teaching Hospital & Manipal College of Medical Sciences Pokhara, Nepal.

出版信息

Indian J Dermatol. 2010 Jul-Sep;55(3):233-7. doi: 10.4103/0019-5154.70670.

DOI:10.4103/0019-5154.70670
PMID:21063513
原文链接:https://pmc.ncbi.nlm.nih.gov/articles/PMC2965907/
Abstract

BACKGROUND

Cutaneous tuberculosis (TB) is essentially an invasion of the skin by Mycobacterium tuberculosis, the same bacteria that causes pulmonary tuberculosis.

AIM

This study was conducted to study the common types of cutaneous TB and to find the management pattern in a tertiary teaching hospital in Pokhara, Nepal.

MATERIALS AND METHODS

All the cases of cutaneous TB were biopsied and furthermore investigated by performing Mantoux test, sputum examination, fine needle aspiration cytology, chest X-ray and ELISA.

RESULTS

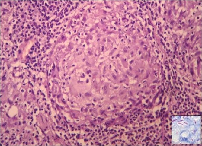
In this study, we found that tuberculosis verrucous cutis (48%) had a higher incidence than other types of cutaneous TB. More males were affected than were females (1.2:1). Commonly affected sites were the limb and the buttock (48%). The most commonly affected age group was 16-25 years (40%). All cases (except two) were more than 15 mm in size in the Mantoux test. The histopathological picture was typical in all except three cases. All patients were treated with antitubercular treatment as per the national guidelines.

CONCLUSION

The most common type of cutaneous TB was tuberculosis verrucous cutis and the most commonly affected sites were the limb and the buttock. As cutaneous TB sometimes reflects the presence of pulmonary tuberculosis, its incidence should not be ignored.

摘要

背景

皮肤结核本质上是由结核分枝杆菌侵袭皮肤所致,该细菌也是引发肺结核的病菌。

目的

本研究旨在探究尼泊尔博卡拉一家三级教学医院中皮肤结核的常见类型,并找出其治疗模式。

材料与方法

对所有皮肤结核病例进行活检,并进一步通过结核菌素试验、痰液检查、细针穿刺细胞学检查、胸部X线检查及酶联免疫吸附测定(ELISA)进行调查。

结果

在本研究中,我们发现疣状皮肤结核(48%)的发病率高于其他类型的皮肤结核。男性受累多于女性(比例为1.2:1)。常见受累部位为四肢和臀部(48%)。最常受累的年龄组为16 - 25岁(40%)。除两例外,所有病例的结核菌素试验硬结直径均超过15毫米。除三例病例外,所有病例的组织病理学表现均典型。所有患者均按照国家指南接受抗结核治疗。

结论

皮肤结核最常见的类型为疣状皮肤结核,最常受累部位为四肢和臀部。由于皮肤结核有时反映出肺结核的存在,其发病率不应被忽视。

https://cdn.ncbi.nlm.nih.gov/pmc/blobs/0130/2965907/92dd8de23178/IJD-55-233-g006.jpg
https://cdn.ncbi.nlm.nih.gov/pmc/blobs/0130/2965907/d4ab8640ca36/IJD-55-233-g001.jpg
https://cdn.ncbi.nlm.nih.gov/pmc/blobs/0130/2965907/968b8edf3372/IJD-55-233-g002.jpg
https://cdn.ncbi.nlm.nih.gov/pmc/blobs/0130/2965907/74cc4090c94e/IJD-55-233-g003.jpg
https://cdn.ncbi.nlm.nih.gov/pmc/blobs/0130/2965907/304f5afe5344/IJD-55-233-g004.jpg
https://cdn.ncbi.nlm.nih.gov/pmc/blobs/0130/2965907/bdaf024b8bdc/IJD-55-233-g005.jpg
https://cdn.ncbi.nlm.nih.gov/pmc/blobs/0130/2965907/92dd8de23178/IJD-55-233-g006.jpg
https://cdn.ncbi.nlm.nih.gov/pmc/blobs/0130/2965907/d4ab8640ca36/IJD-55-233-g001.jpg
https://cdn.ncbi.nlm.nih.gov/pmc/blobs/0130/2965907/968b8edf3372/IJD-55-233-g002.jpg
https://cdn.ncbi.nlm.nih.gov/pmc/blobs/0130/2965907/74cc4090c94e/IJD-55-233-g003.jpg
https://cdn.ncbi.nlm.nih.gov/pmc/blobs/0130/2965907/304f5afe5344/IJD-55-233-g004.jpg
https://cdn.ncbi.nlm.nih.gov/pmc/blobs/0130/2965907/bdaf024b8bdc/IJD-55-233-g005.jpg
https://cdn.ncbi.nlm.nih.gov/pmc/blobs/0130/2965907/92dd8de23178/IJD-55-233-g006.jpg

相似文献

1
A clinicoepidemiological study of 50 cases of cutaneous tuberculosis in a tertiary care teaching hospital in pokhara, Nepal.尼泊尔博卡拉一家三级护理教学医院50例皮肤结核的临床流行病学研究。
Indian J Dermatol. 2010 Jul-Sep;55(3):233-7. doi: 10.4103/0019-5154.70670.
2
Prevalence of pulmonary tuberculosis among HIV infected persons in Pokhara, Nepal.尼泊尔博卡拉地区艾滋病毒感染者中肺结核的患病率。
J Nepal Health Res Counc. 2012 Jan;10(1):32-6.
3
API TB Consensus Guidelines 2006: Management of pulmonary tuberculosis, extra-pulmonary tuberculosis and tuberculosis in special situations.《2006年抗结核药物国际共识指南:肺结核、肺外结核及特殊情况结核病的管理》
J Assoc Physicians India. 2006 Mar;54:219-34.
4
Clinicohistological Profile of Cutaneous Tuberculosis in Central Nepal.尼泊尔中部皮肤结核的临床组织学特征
Kathmandu Univ Med J (KUMJ). 2014 Oct-Dec;12(48):238-41. doi: 10.3126/kumj.v12i4.13727.
5
Clinico-epidemiological profile and diagnostic procedures of pediatric tuberculosis in a tertiary care hospital of western Nepal-a case-series analysis.尼泊尔西部一家三级护理医院的儿科结核病临床流行病学特征和诊断程序:病例系列分析。
BMC Pediatr. 2010 Aug 9;10:57. doi: 10.1186/1471-2431-10-57.
6
Fine-needle extrathoracic lymph-node aspiration in HIV-associated sputum-negative tuberculosis.HIV 相关痰菌阴性肺结核的细针胸外淋巴结穿刺抽吸术
Lancet. 1992;340(8834-8835):1504-5. doi: 10.1016/0140-6736(92)92758-8.
7
Pattern of adverse drug reactions experienced by tuberculosis patients in a tertiary care teaching hospital in Western Nepal.尼泊尔西部一家三级护理教学医院中结核病患者所经历的药物不良反应模式。
Pak J Pharm Sci. 2008 Jan;21(1):51-6.
8
A clinicopathological pattern of cutaneous tuberculosis and HIV concurrence in western Rajasthan.拉贾斯坦邦西部皮肤结核与 HIV 合并感染的临床病理模式。
Int J Mycobacteriol. 2020 Oct-Dec;9(4):429-434. doi: 10.4103/ijmy.ijmy_183_20.
9
Consensus statement on childhood tuberculosis.儿童结核病共识声明。
Indian Pediatr. 2010 Jan;47(1):41-55. doi: 10.1007/s13312-010-0008-3.
10
Viable Mycobacterium tuberculosis in sputum after pulmonary tuberculosis cure.肺结核治愈后痰中仍存在存活结核分枝杆菌。
BMC Infect Dis. 2019 Oct 30;19(1):923. doi: 10.1186/s12879-019-4561-7.

引用本文的文献

1
Scrofuloderma: a diagnostic challenge.皮肤瘰疬:一项诊断挑战。
An Bras Dermatol. 2019 Jan-Feb;94(1):102-104. doi: 10.1590/abd1806-4841.20188560.
2
Cutaneous Tuberculosis: Clinicopathologic Arrays and Diagnostic Challenges.皮肤结核:临床病理表现及诊断挑战
Dermatol Res Pract. 2018 Jul 9;2018:7201973. doi: 10.1155/2018/7201973. eCollection 2018.
3
Unusual Sites of Cutaneous Tuberculosis: A Report of Two Cases.皮肤结核的罕见部位:两例报告

本文引用的文献

1
"Tuberculoderma" a Brief Review Together" with Statistical Analysis and Observations.
Indian J Dermatol Venereol. 1963 Jan-Mar;29(1):25-42.
2
Pattern of Cutaneous Tuberculosis in North India.印度北部皮肤结核的模式
Indian J Dermatol Venereol Leprol. 1986 Jul-Aug;52(4):203-207.
3
Clinical and morphological variants of cutaneous tuberculosis and its relation to Mycobacterium species.
Indian J Med Microbiol. 2001 Oct-Dec;19(4):193-6.
4
Case Rep Dermatol Med. 2017;2017:7285169. doi: 10.1155/2017/7285169. Epub 2017 Feb 27.
4
CUTANEOUS TUBERCULOSIS: A 26-YEAR RETROSPECTIVE STUDY IN AN ENDEMIC AREA OF TUBERCULOSIS, VITÓRIA, ESPÍRITO SANTO, BRAZIL.皮肤结核病:在巴西圣埃斯皮里图州维多利亚市结核病流行地区的一项26年回顾性研究
Rev Inst Med Trop Sao Paulo. 2016 Jul 11;58:49. doi: 10.1590/S1678-9946201658049.
5
Clinico-Histopathological Spectrum of Infectious Granulomatous Dermatoses in Western India- A Representative Study from Mumbai.印度西部感染性肉芽肿性皮肤病的临床组织病理学谱——来自孟买的一项代表性研究
J Clin Diagn Res. 2016 Apr;10(4):EC10-4. doi: 10.7860/JCDR/2016/16459.7568. Epub 2016 Apr 1.
6
Cutaneous tuberculosis: diagnosis, histopathology and treatment - part II.皮肤结核:诊断、组织病理学与治疗 - 第二部分
An Bras Dermatol. 2014 Jul-Aug;89(4):545-55. doi: 10.1590/abd1806-4841.20142747.
[Squamous epithelial carcinoma as a complication of lupus vulgaris].
[寻常狼疮的并发症——鳞状上皮癌]
Hautarzt. 2002 Feb;53(2):118-20. doi: 10.1007/s001050100230.
5
Childhood cutaneous tuberculosis: a study over 25 years from northern India.儿童皮肤结核:来自印度北部的25年研究
Int J Dermatol. 2001 Jan;40(1):26-32. doi: 10.1046/j.1365-4362.2001.01165.x.
6
Tuberculosis and HIV infection. How to safely treat both disorders concurrently.结核病与艾滋病毒感染。如何同时安全治疗这两种疾病。
Postgrad Med. 2000 Aug;108(2):57-60, 65-8. doi: 10.3810/pgm.2000.08.1181.
7
Tuberculous cellulitis.
Clin Exp Dermatol. 2000 May;25(3):222-3. doi: 10.1046/j.1365-2230.2000.00621.x.
8
Cutaneous tuberculosis: a twenty-year prospective study.皮肤结核:一项为期20年的前瞻性研究。
Int J Tuberc Lung Dis. 1999 Jun;3(6):494-500.
9
Concomitant occurrence of leprosy, cutaneous tuberculosis and pulmonary tuberculosis--a case report.麻风、皮肤结核与肺结核合并发生——病例报告
Lepr Rev. 1994 Sep;65(3):282-4.
10
The histologic spectrum of the cutaneous mycobacterioses.皮肤分枝杆菌病的组织学谱。
Hum Pathol. 1982 May;13(5):485-95. doi: 10.1016/s0046-8177(82)80032-4.