de Mello Ramon Andrade Bezerra, Fonseca Elsa, Brochado Manuela, Quinaz João Manuel
Internal Medicine Department, São João Hospital, 4200-319 Porto, Portugal.
Case Rep Med. 2010;2010:759651. doi: 10.1155/2010/759651. Epub 2010 Nov 7.
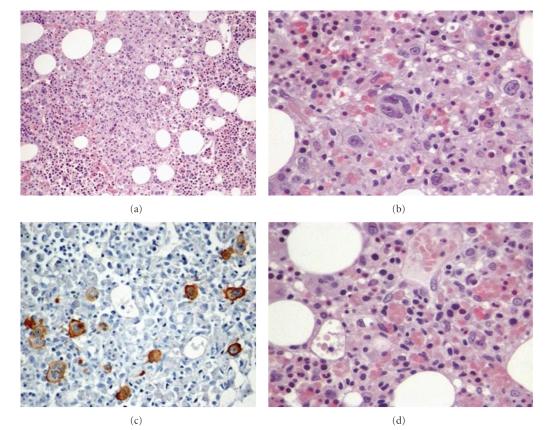
Background. Hemophagocytic syndrome (HPS) is characterized by a hyperinflammatory reaction followed by alteration in cytotoxic function of Th1 lymphocytes and natural killer cells. We report a rare case of a patient that presented with fever and pancytopenia due to HPS associated with Hodgkin's lymphoma (HL). Case Report. A 69-year-old Caucasian woman was admitted presenting with complaints of fever, seizures, and low back pain that had lasted for two weeks. Laboratorial data showed pancytopenia. Bone marrow biopsy revealed infiltration by Reed-Sternberg cells and hemophagocytosis signs. Imaging studies showed mediastinal lymph nodes (stage IV B). She had been treated with ABVD (doxorubicin, bleomycin, vinblastine, and dacarbazine) followed by a good response. Conclusion. HPS associated with HL is a very rare and lethal disease, with mortality rates of about 15% to 60%. The prompt diagnosis of the underlying lymphoma may be an important strategy for optimizing the clinical approach and outcome.
背景。噬血细胞综合征(HPS)的特征是炎症反应亢进,随后Th1淋巴细胞和自然杀伤细胞的细胞毒性功能发生改变。我们报告一例罕见病例,一名患者因与霍奇金淋巴瘤(HL)相关的HPS出现发热和全血细胞减少。病例报告。一名69岁的白种女性因发热、癫痫发作和持续两周的腰痛入院。实验室检查显示全血细胞减少。骨髓活检显示有里德-斯腾伯格细胞浸润和噬血细胞现象。影像学检查显示纵隔淋巴结(IV B期)。她接受了ABVD(阿霉素、博来霉素、长春花碱和达卡巴嗪)治疗,随后反应良好。结论。与HL相关的HPS是一种非常罕见且致命的疾病,死亡率约为15%至60%。对潜在淋巴瘤的及时诊断可能是优化临床治疗方法和结果的重要策略。