• 文献检索
  • 文档翻译
  • 深度研究
  • 学术资讯
  • Suppr Zotero 插件Zotero 插件
  • 邀请有礼
  • 套餐&价格
  • 历史记录
应用&插件
Suppr Zotero 插件Zotero 插件浏览器插件Mac 客户端Windows 客户端微信小程序
定价
高级版会员购买积分包购买API积分包
服务
文献检索文档翻译深度研究API 文档MCP 服务
关于我们
关于 Suppr公司介绍联系我们用户协议隐私条款
关注我们

Suppr 超能文献

核心技术专利:CN118964589B侵权必究
粤ICP备2023148730 号-1Suppr @ 2026

文献检索

告别复杂PubMed语法,用中文像聊天一样搜索,搜遍4000万医学文献。AI智能推荐,让科研检索更轻松。

立即免费搜索

文件翻译

保留排版,准确专业,支持PDF/Word/PPT等文件格式,支持 12+语言互译。

免费翻译文档

深度研究

AI帮你快速写综述,25分钟生成高质量综述,智能提取关键信息,辅助科研写作。

立即免费体验

由类风湿性关节炎引起的椎间孔狭窄导致的腰椎神经根病。

Lumbar radiculopathy caused by foraminal stenosis in rheumatoid arthritis.

机构信息

Department of Orthopaedic Surgery, Nishitaga National Hospital, Sendai, Japan.

出版信息

Ups J Med Sci. 2011 May;116(2):133-7. doi: 10.3109/03009734.2010.526722. Epub 2010 Nov 24.

DOI:10.3109/03009734.2010.526722
PMID:21091389
原文链接:https://pmc.ncbi.nlm.nih.gov/articles/PMC3078543/
Abstract

STUDY DESIGN

Case-series study.

OBJECTIVE

To describe the clinical presentation, characteristic findings of imaging studies, and treatment of lumbar radiculopathy caused by foraminal stenosis in rheumatoid arthritis. BACKGROUND. Lumbar lesions in rheumatoid arthritis are relatively rare, with a limited number of systemic reports.

METHODS

Six patients with lumbar radiculopathy caused by foraminal stenosis in rheumatoid arthritis were treated. The patients were all women with a mean age of 69 years and mean rheumatoid arthritis duration of 15 years. The medical records and imaging studies of all patients were reviewed.

RESULTS

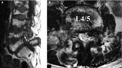
The affected nerve roots were L4 in four patients and L3 in two patients. Foraminal stenosis was not demonstrated in magnetic resonance images in four of the six patients. Selective radiculography with nerve root block reproduced pain, manifested blocking effect, and demonstrated compression of the nerve root by the superior articular process of the lower vertebra in all patients. Conservative treatment was performed on one patient, and surgery was conducted for the rest of the five patients; radiculopathy was improved in all patients.

CONCLUSIONS

Lumbar foraminal stenosis is a characteristic pathology of rheumatoid arthritis, and should be kept in mind in the diagnosis of lumbar radiculopathy. Selective radiculography is useful in the diagnosis of affected nerve roots.

摘要

研究设计

病例系列研究。

目的

描述类风湿关节炎引起的椎间孔狭窄性腰椎神经根病的临床特征、影像学表现和治疗方法。背景:类风湿关节炎的腰椎病变相对少见,仅有少数系统性报道。

方法

对 6 例由类风湿关节炎引起的椎间孔狭窄性腰椎神经根病患者进行治疗。所有患者均为女性,平均年龄 69 岁,平均类风湿关节炎病程 15 年。回顾所有患者的病历和影像学资料。

结果

4 例患者的受累神经根为 L4,2 例患者为 L3。6 例患者中,有 4 例磁共振成像未显示椎间孔狭窄。选择性神经根造影结合神经根阻滞可重现疼痛,表现出阻滞效应,并显示下位椎体上关节突对神经根的压迫,所有患者均如此。对 1 例患者进行保守治疗,其余 5 例患者进行手术治疗;所有患者的神经根病均得到改善。

结论

腰椎椎间孔狭窄是类风湿关节炎的特征性病变,在诊断腰椎神经根病时应予以考虑。选择性神经根造影对受累神经根的诊断具有重要价值。

https://cdn.ncbi.nlm.nih.gov/pmc/blobs/5307/3078543/1bcd9a18a6ae/UPS-0300-9734-116-133_g003.jpg
https://cdn.ncbi.nlm.nih.gov/pmc/blobs/5307/3078543/26803c58b632/UPS-0300-9734-116-133_g001.jpg
https://cdn.ncbi.nlm.nih.gov/pmc/blobs/5307/3078543/c24c7cafc3e6/UPS-0300-9734-116-133_g002.jpg
https://cdn.ncbi.nlm.nih.gov/pmc/blobs/5307/3078543/1bcd9a18a6ae/UPS-0300-9734-116-133_g003.jpg
https://cdn.ncbi.nlm.nih.gov/pmc/blobs/5307/3078543/26803c58b632/UPS-0300-9734-116-133_g001.jpg
https://cdn.ncbi.nlm.nih.gov/pmc/blobs/5307/3078543/c24c7cafc3e6/UPS-0300-9734-116-133_g002.jpg
https://cdn.ncbi.nlm.nih.gov/pmc/blobs/5307/3078543/1bcd9a18a6ae/UPS-0300-9734-116-133_g003.jpg

相似文献

1
Lumbar radiculopathy caused by foraminal stenosis in rheumatoid arthritis.由类风湿性关节炎引起的椎间孔狭窄导致的腰椎神经根病。
Ups J Med Sci. 2011 May;116(2):133-7. doi: 10.3109/03009734.2010.526722. Epub 2010 Nov 24.
2
Characteristics of nerve root compression caused by degenerative lumbar spinal stenosis with scoliosis.退变性腰椎管狭窄症伴脊柱侧弯所致神经根受压的特征
Spine J. 2003 Nov-Dec;3(6):524-9.
3
New methods for diagnosing lumbar foraminal stenosis using dynamic digital tomosynthesis radiculography.使用动态数字断层神经根摄影术诊断腰椎侧隐窝狭窄的新方法。
J Clin Neurosci. 2020 Jul;77:106-109. doi: 10.1016/j.jocn.2020.05.011. Epub 2020 May 6.
4
Curve Characteristics and Foraminal Dimensions in Patients With Adult Scoliosis and Radiculopathy.成人脊柱侧弯和神经根病患者的曲线特征及椎间孔尺寸
Clin Spine Surg. 2017 Mar;30(2):E111-E118. doi: 10.1097/BSD.0b013e3182aab1e3.
5
Dynamic digital tomosynthesis-radiculography is useful for diagnosis of lumbar foraminal stenosis at an adjacent level after lumbar fusion surgery: A case report.动态数字断层合成神经根造影术对腰椎融合术后相邻节段腰椎椎间孔狭窄的诊断有帮助:病例报告
J Clin Neurosci. 2019 Jul;65:148-150. doi: 10.1016/j.jocn.2019.03.065. Epub 2019 Apr 8.
6
Successful visualization of dynamic change of lumbar nerve root compression with the patient in both upright and prone positions using dynamic digital tomosynthesis-radiculography in patients with lumbar foraminal stenosis: An initial report of three cases.在腰椎管狭窄症患者中使用动态数字断层合成神经根造影术在患者直立和俯卧位时成功可视化腰神经根压迫的动态变化:三例初步报告
J Clin Neurosci. 2019 Apr;62:256-259. doi: 10.1016/j.jocn.2018.12.016. Epub 2019 Jan 9.
7
[Lateral fenestration combined with spinal canal decompression through contralateral laminotomy for radiculopathy caused by lumbar canal stenosis and lumbar foraminal stenosis: a case report].[外侧开窗联合经对侧椎板切开椎管减压治疗腰椎管狭窄症和腰椎椎间孔狭窄症所致神经根病:1例报告]
No Shinkei Geka. 2010 May;38(5):477-83.
8
[Characteristics of nerve root compression caused by degenerative lumbar stenosis with scoliosis].[退行性腰椎管狭窄症伴脊柱侧弯所致神经根受压的特征]
Zhongguo Yi Xue Ke Xue Yuan Xue Bao. 2005 Apr;27(2):170-3.
9
Characteristics of L3 nerve root radiculopathy.L3神经根型颈椎病的特征。
Surg Neurol. 2009 Jul;72(1):36-40; discussion 40. doi: 10.1016/j.surneu.2008.08.073. Epub 2009 Jan 15.
10
Factors affecting dynamic foraminal stenosis in the lumbar spine.影响腰椎动态椎间孔狭窄的因素。
Spine J. 2013 Sep;13(9):1080-7. doi: 10.1016/j.spinee.2013.03.041. Epub 2013 May 10.

引用本文的文献

1
Quantifying Lumbar Foraminal Volumetric Dimensions: Normative Data and Implications for Stenosis-Part 2 of a Comprehensive Series.定量腰椎侧隐窝容积尺寸:正常数据及其对狭窄症的影响——全面系列的第 2 部分。
Med Sci (Basel). 2024 Jul 22;12(3):34. doi: 10.3390/medsci12030034.
2
The Influence of Rheumatoid Arthritis on Higher Reoperation Rates over Time Following Lumbar Spinal Fusion-A Nationwide Cohort Study.类风湿关节炎对腰椎融合术后长期再手术率的影响——一项全国性队列研究
J Clin Med. 2022 May 16;11(10):2788. doi: 10.3390/jcm11102788.
3
Surgical Management of the Lumbar Spine in Rheumatoid Arthritis.

本文引用的文献

1
Lumbar fusion outcomes in patients with rheumatoid arthritis.类风湿关节炎患者的腰椎融合术结果
Eur Spine J. 2008 Jun;17(6):822-5. doi: 10.1007/s00586-008-0610-4. Epub 2008 Jan 29.
2
Therapeutic criteria in rheumatoid arthritis.类风湿关节炎的治疗标准
J Am Med Assoc. 1949 Jun 25;140(8):659-62. doi: 10.1001/jama.1949.02900430001001.
3
Rheumatoid granulomatous nodules as destructive leions of vertebrae.类风湿性肉芽肿结节作为椎体的破坏性病变。
类风湿性关节炎腰椎的外科治疗
Global Spine J. 2020 Sep;10(6):767-774. doi: 10.1177/2192568219886267. Epub 2019 Nov 6.
4
The pitfalls in surgical management of lumbar canal stenosis associated with rheumatoid arthritis.类风湿性关节炎相关腰椎管狭窄症手术治疗中的陷阱
Neurol Med Chir (Tokyo). 2013;53(12):853-60. doi: 10.2176/nmc.oa2012-0299. Epub 2013 Oct 21.
J Bone Joint Surg Am. 1952 Jul;24 A(3):601-9.
4
RHEUMATOID ARTHRITIS OF THE LUMBAR SPINE.腰椎类风湿关节炎
Ann Rheum Dis. 1964 May;23(3):205-17. doi: 10.1136/ard.23.3.205.
5
Radiologic findings of the lumbar spine in patients with rheumatoid arthritis, and a review of pathologic mechanisms.类风湿关节炎患者腰椎的影像学表现及病理机制综述
J Spinal Disord Tech. 2003 Feb;16(1):38-43. doi: 10.1097/00024720-200302000-00007.
6
Problems of posterior lumbar interbody fusion (PLIF) for the rheumatoid spondylitis of the lumbar spine.腰椎类风湿性脊柱炎后路腰椎椎间融合术(PLIF)的问题。
Arch Orthop Trauma Surg. 2002 Mar;122(2):73-9. doi: 10.1007/s004020100321. Epub 2001 Sep 13.
7
Foraminal stenosis of the lumbar spine: a review of 65 surgical cases.腰椎椎间孔狭窄症:65例手术病例回顾
Am J Orthop (Belle Mead NJ). 2001 Mar;30(3):205-11.
8
Rheumatoid burst fracture.类风湿性爆裂骨折。
Arthritis Rheum. 1998 Apr;41(4):747-8. doi: 10.1002/1529-0131(199804)41:4<747::AID-ART28>3.0.CO;2-6.
9
[Pathology and management of spinal lesions in rheumatoid arthritis].[类风湿关节炎脊柱病变的病理学与管理]
Nihon Seikeigeka Gakkai Zasshi. 1996 Sep;70(9):573-82.
10
Operative results and postoperative progression of ossification among patients with ossification of cervical posterior longitudinal ligament.颈椎后纵韧带骨化症患者的手术结果及术后骨化进展情况
Spine (Phila Pa 1976). 1981 Jul-Aug;6(4):354-64. doi: 10.1097/00007632-198107000-00005.