• 文献检索
  • 文档翻译
  • 深度研究
  • 学术资讯
  • Suppr Zotero 插件Zotero 插件
  • 邀请有礼
  • 套餐&价格
  • 历史记录
应用&插件
Suppr Zotero 插件Zotero 插件浏览器插件Mac 客户端Windows 客户端微信小程序
定价
高级版会员购买积分包购买API积分包
服务
文献检索文档翻译深度研究API 文档MCP 服务
关于我们
关于 Suppr公司介绍联系我们用户协议隐私条款
关注我们

Suppr 超能文献

核心技术专利:CN118964589B侵权必究
粤ICP备2023148730 号-1Suppr @ 2026

文献检索

告别复杂PubMed语法,用中文像聊天一样搜索,搜遍4000万医学文献。AI智能推荐,让科研检索更轻松。

立即免费搜索

文件翻译

保留排版,准确专业,支持PDF/Word/PPT等文件格式,支持 12+语言互译。

免费翻译文档

深度研究

AI帮你快速写综述,25分钟生成高质量综述,智能提取关键信息,辅助科研写作。

立即免费体验

在成功治疗伴有胆囊炎和胆管炎的症状性胆结石疾病四个月后,发生十二指肠胆结石性肠梗阻伴胃出口梗阻(布韦雷综合征):一例报告。

Development of a duodenal gallstone ileus with gastric outlet obstruction (Bouveret syndrome) four months after successful treatment of symptomatic gallstone disease with cholecystitis and cholangitis: a case report.

作者信息

Giese Arnd, Zieren Jürgen, Winnekendonk Guido, Henning Bernhard F

机构信息

Department of Internal Medicine, Gastroenterology Unit, Marienhospital, Ruhr-University Bochum, Hölkeskampring 40, 44625 Herne, Germany.

出版信息

J Med Case Rep. 2010 Nov 23;4:376. doi: 10.1186/1752-1947-4-376.

DOI:10.1186/1752-1947-4-376
PMID:21092262
原文链接:https://pmc.ncbi.nlm.nih.gov/articles/PMC2997099/
Abstract

INTRODUCTION

Cases of gallstone ileus account for 1% to 4% of all instances of mechanical bowel obstruction. The majority of obstructing gallstones are located in the terminal ileum. Less than 10% of impacted gallstones are located in the duodenum. A gastric outlet obstruction secondary to a gallstone ileus is known as Bouveret syndrome. Gallstones usually enter the bowel through a biliary enteral fistula. Little is known about the formation of such fistulae in the course of gallstone disease.

CASE PRESENTATION

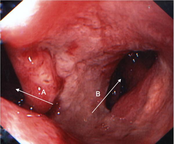
We report the case of a 72-year-old Caucasian woman born in Germany with a gastric outlet obstruction due to a gallstone ileus (Bouveret syndrome), with a large gallstone impacted in the third part of the duodenum. Diagnostic investigations of our patient included plain abdominal films, gastroscopy and abdominal computed tomography, which showed a biliary enteric fistula between the gallbladder and the duodenal bulb. Our patient was successfully treated by laparotomy, duodenotomy, extraction of the stone, cholecystectomy, and resection of the fistula in a one-stage surgical approach. Histopathological examination showed chronic and acute cholecystitis, with perforated ulceration of the duodenal wall and acute purulent inflammation of the surrounding fatty tissue. Four months prior to developing a gallstone ileus our patient had been hospitalized for cholecystitis, a large gallstone in the gallbladder, cholangitis and a small obstructing gallstone in the common biliary duct. She had been treated with endoscopic retrograde cholangiopancreatography, endoscopic biliary sphincterotomy, balloon extraction of the common biliary duct gallstone, and intravenous antibiotics. At the time of her first presentation, abdominal ultrasound and endoscopic examination (including esophagogastroduodenoscopy and endoscopic retrograde cholangiopancreatography) had not shown any evidence of a biliary enteral fistula. In the four months preceding the gallstone ileus our patient had been asymptomatic.

CONCLUSION

In patients known to have gallstone disease presenting with symptoms of ileus, the differential diagnosis of a gallstone ileus should be considered even in the absence of preceding symptoms related to the gallbladder disease. Gallstones large enough to cause intestinal obstruction usually enter the bowel by a biliary enteral fistula. During the formation of such a fistula, patients can be asymptomatic.

摘要

引言

胆结石性肠梗阻病例占所有机械性肠梗阻病例的1%至4%。大多数阻塞性胆结石位于回肠末端。不到10%的嵌顿性胆结石位于十二指肠。由胆结石性肠梗阻引起的胃出口梗阻称为布韦雷综合征。胆结石通常通过胆肠瘘进入肠道。关于胆石症病程中此类瘘管的形成知之甚少。

病例报告

我们报告一例72岁出生于德国的白人女性,因胆结石性肠梗阻(布韦雷综合征)导致胃出口梗阻,一枚大的胆结石嵌顿于十二指肠第三部。对我们患者的诊断性检查包括腹部平片、胃镜检查和腹部计算机断层扫描,结果显示胆囊与十二指肠球部之间存在胆肠瘘。我们的患者通过剖腹术、十二指肠切开术、取石、胆囊切除术和瘘管切除术,采用一期手术方法成功治疗。组织病理学检查显示慢性和急性胆囊炎,十二指肠壁穿孔性溃疡,以及周围脂肪组织的急性化脓性炎症。在发生胆结石性肠梗阻前四个月,我们的患者因胆囊炎、胆囊内一枚大的胆结石、胆管炎和胆总管内一枚小的阻塞性胆结石住院治疗。她接受了内镜逆行胰胆管造影术、内镜下胆管括约肌切开术、胆总管结石球囊取出术和静脉注射抗生素治疗。在她首次就诊时,腹部超声和内镜检查(包括食管胃十二指肠镜检查和内镜逆行胰胆管造影术)未显示任何胆肠瘘的证据。在胆结石性肠梗阻前的四个月里,我们的患者无症状。

结论

在已知患有胆石症且出现肠梗阻症状的患者中,即使没有先前与胆囊疾病相关的症状,也应考虑胆结石性肠梗阻的鉴别诊断。大到足以引起肠梗阻的胆结石通常通过胆肠瘘进入肠道。在这种瘘管形成过程中,患者可能无症状。

https://cdn.ncbi.nlm.nih.gov/pmc/blobs/a1df/2997099/4fdf2da9f7f2/1752-1947-4-376-2.jpg
https://cdn.ncbi.nlm.nih.gov/pmc/blobs/a1df/2997099/9a89375cd49c/1752-1947-4-376-1.jpg
https://cdn.ncbi.nlm.nih.gov/pmc/blobs/a1df/2997099/4fdf2da9f7f2/1752-1947-4-376-2.jpg
https://cdn.ncbi.nlm.nih.gov/pmc/blobs/a1df/2997099/9a89375cd49c/1752-1947-4-376-1.jpg
https://cdn.ncbi.nlm.nih.gov/pmc/blobs/a1df/2997099/4fdf2da9f7f2/1752-1947-4-376-2.jpg

相似文献

1
Development of a duodenal gallstone ileus with gastric outlet obstruction (Bouveret syndrome) four months after successful treatment of symptomatic gallstone disease with cholecystitis and cholangitis: a case report.在成功治疗伴有胆囊炎和胆管炎的症状性胆结石疾病四个月后,发生十二指肠胆结石性肠梗阻伴胃出口梗阻(布韦雷综合征):一例报告。
J Med Case Rep. 2010 Nov 23;4:376. doi: 10.1186/1752-1947-4-376.
2
Gallstone ileus in a ninety-two years old colecistectomized patient after endoscopic biliary sphincterotomy: a case report.内镜下胆管括约肌切开术后92岁胆囊切除患者的胆石性肠梗阻:一例报告
G Chir. 2017 Nov-Dec;38(6):299-302. doi: 10.11138/gchir/2017.38.6.299.
3
Unusual Presentation of Bouveret Syndrome Resulting in Both Gastric Outlet Obstruction and Small Bowel Obstruction with Perforation.布韦雷特综合征的罕见表现导致胃出口梗阻和小肠梗阻并伴有穿孔。
Medicines (Basel). 2022 Mar 15;9(3):24. doi: 10.3390/medicines9030024.
4
[Gallstone ileus after endoscopic retrograde cholangiopancreatography].[内镜逆行胰胆管造影术后胆石性肠梗阻]
Cir Cir. 2017 Mar-Apr;85(2):154-157. doi: 10.1016/j.circir.2015.09.008. Epub 2016 Jan 6.
5
Bouveret syndrome preceding classical gallstone ileus: a rare presentation of a cholecystoduodenal fistula.经典型胆石性肠梗阻之前的布韦雷综合征:一种罕见的胆囊十二指肠瘘表现。
J Surg Case Rep. 2024 Jul 20;2024(7):rjae421. doi: 10.1093/jscr/rjae421. eCollection 2024 Jul.
6
Gallstone ileus presenting as gastric outlet obstruction (Bouveret's syndrome): a case report.以胃出口梗阻为表现的胆石性肠梗阻(布韦雷综合征):一例报告
Acta Chir Belg. 2006 Jul-Aug;106(4):438-40. doi: 10.1080/00015458.2006.11679926.
7
The Rolling Stone: Bouveret Syndrome Requiring Open Gastrotomy After Failing Electrohydraulic Lithotripsy.《滚石》杂志:电液压碎石术失败后需行开腹胃切开术治疗的布韦雷综合征
Cureus. 2023 May 25;15(5):e39470. doi: 10.7759/cureus.39470. eCollection 2023 May.
8
Bouveret syndrome and gallstone ileus.布韦雷综合征与胆石性肠梗阻。
Surg Laparosc Endosc Percutan Tech. 2007 Aug;17(4):328-30. doi: 10.1097/SLE.0b013e31806c7dc2.
9
Bouveret's syndrome complicated by a distal gallstone ileus.布韦雷综合征并发远端胆石性肠梗阻。
World J Gastroenterol. 2003 Dec;9(12):2873-5. doi: 10.3748/wjg.v9.i12.2873.
10
Duodenal bulb obstruction caused by a gallstone (Bouveret syndrome) successfully treated with endoscopic measures.内镜治疗成功治愈胆结石所致十二指肠球部梗阻(布韦雷综合征)。
Proc (Bayl Univ Med Cent). 2020 Jul 23;33(4):630-632. doi: 10.1080/08998280.2020.1792757.

引用本文的文献

1
Laparoscopic Management of a Proximal Jejunal Gallstone with Patulous Ampulla and Choledochal Cyst-a Report of Unusual Presentation and a Review.腹腔镜治疗合并壶腹扩张及胆总管囊肿的近端空肠胆结石——罕见病例报告及文献复习
Indian J Surg. 2017 Feb;79(1):51-57. doi: 10.1007/s12262-016-1575-x. Epub 2016 Dec 28.
2
Uncommon presentation of a common disease - Bouveret's syndrome: A case report and systematic literature review.一种常见疾病的罕见表现——布韦雷氏综合征:一例病例报告及系统文献综述
World J Gastrointest Surg. 2017 Jan 27;9(1):25-36. doi: 10.4240/wjgs.v9.i1.25.
3
Gastric outlet obstruction in a patient with Bouveret's syndrome: a case report.

本文引用的文献

1
[Ultrasonographic diagnosis of a biliary-digestive fistula with gallstone ileus].[超声诊断胆石性肠梗阻合并胆肠瘘]
Dtsch Med Wochenschr. 2010 Feb;135(7):287-9. doi: 10.1055/s-0029-1244849. Epub 2010 Feb 9.
2
The relationship of Mirizzi syndrome and cholecystoenteric fistula: validation of a modified classification.Mirizzi综合征与胆囊肠瘘的关系:一种改良分类法的验证
World J Surg. 2008 Oct;32(10):2237-43. doi: 10.1007/s00268-008-9660-3.
3
Gallstone ileus: diagnosis and management.胆结石性肠梗阻:诊断与治疗
布韦里综合征患者的胃出口梗阻:一例报告
BMC Res Notes. 2013 May 12;6:195. doi: 10.1186/1756-0500-6-195.
4
Tricholithobezoar causing gastric perforation.毛石胃石症导致胃穿孔。
Case Rep Gastroenterol. 2012 Jan;6(1):26-32. doi: 10.1159/000336203. Epub 2012 Jan 13.
World J Surg. 2007 Jun;31(6):1292-7. doi: 10.1007/s00268-007-9011-9. Epub 2007 Apr 15.
4
Results of the Tokyo Consensus Meeting Tokyo Guidelines.东京共识会议东京指南的结果。
J Hepatobiliary Pancreat Surg. 2007;14(1):114-21. doi: 10.1007/s00534-006-1163-8. Epub 2007 Jan 30.
5
Successful treatment of gallstone ileus (Bouveret's syndrome) by using extracorporal shock wave lithotripsy and argon plasma coagulation.运用体外冲击波碎石术和氩离子凝固术成功治疗胆石性肠梗阻(布韦雷综合征)
Gastrointest Endosc. 2007 Jan;65(1):173-5. doi: 10.1016/j.gie.2006.05.025. Epub 2006 Aug 30.
6
Early versus delayed laparoscopic cholecystectomy for acute cholecystitis.急性胆囊炎的早期与延迟腹腔镜胆囊切除术
Cochrane Database Syst Rev. 2006 Oct 18(4):CD005440. doi: 10.1002/14651858.CD005440.pub2.
7
Gallstone ileus: rare and still controversial.胆石性肠梗阻:罕见且仍存在争议。
ANZ J Surg. 2005 Apr;75(4):234-8. doi: 10.1111/j.1445-2197.2005.03368.x.
8
Gastric outlet obstruction by gallstone: Bouveret syndrome.胆结石所致胃出口梗阻:布韦雷综合征。
Scand J Gastroenterol. 2000 Jul;35(7):781-3. doi: 10.1080/003655200750023480.
9
Gallstone ileus: endoscopic removal of a gallstone obstructing the upper jejunum.胆石性肠梗阻:内镜下取出阻塞空肠上段的胆结石。
J Intern Med. 1999 Dec;246(6):593-7. doi: 10.1046/j.1365-2796.1999.00597.x.
10
Gallstone ileus: a review of 1001 reported cases.胆结石性肠梗阻:对1001例报告病例的综述
Am Surg. 1994 Jun;60(6):441-6.