Suppr超能文献

血管紧张素-2 受体(AT1-R 和 AT2-R)是否为肾透明细胞癌的新预后因素?

Angiotensin-2 receptors (AT1-R and AT2-R), new prognostic factors for renal clear-cell carcinoma?

机构信息

CNRS UMR6061/IFR140, Faculté de Médecine Université de Rennes 1, 2 avenue du professeur Léon Bernard, CS34317, 35043 Rennes Cedex, France.

出版信息

Br J Cancer. 2010 Nov 23;103(11):1698-705. doi: 10.1038/sj.bjc.6605866.

Abstract

BACKGROUND

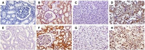
The growth factor Angiotensin-2 signals through Angiotensin receptor type 1 (AT1-R) in a broad range of cell types and tumours and through the type-2 receptor (AT2-R) in a more restricted group of cell types. Although numerous forms of cancer have been shown to overexpress AT1-R, expression of AT1-R and AT2-R by human renal clear-cell carcinoma (RCCC) is not well understood. In this study, the expression of both angiotensin receptors was quantified in a retrospective series of RCCC and correlated with prognostic factors.

METHODS

Angiotensin receptor type 1 and AT2-R expressions were quantified on tumour tissues by immunohistochemistry (IHC), western blot and quantitative reverse transcriptase PCR (qRT-PCR). IHC results were correlated to Fuhrman's grade and patient progression-free survival (PFS).

RESULTS

A total of 84 RCCC were analysed. By IHC, AT1-R and AT2-R were expressed to a greater level in high-grade tumours (AT1-R: P<0.001, AT2-R: P<0.001). Univariate analysis showed a correlation between PFS and AT1-R or AT2-R expression (P=0.001). By multivariate analysis, only AT2-R expression correlated with PFS (HR 1.021, P=0.006) and cancer stage (P<0.001). By western blot, AT1-R and AT1-R were also found to be overexpressed in higher Fuhrman's grade (P<0.01 and P=0.001 respectively). By qRT-PCR, AT1-R but not AT2-R mRNA were downregulated (P=0.001 and P=0.118, respectively).

CONCLUSION

Our results show that AT1-R and AT2-R proteins are overexpressed in the most aggressive forms of RCCC and that AT2-R expression correlates with PFS. AT1-R or AT2-R blockage could, therefore, offer novel directions for anti-RCCC therapy.

摘要

背景

生长因子血管紧张素-2 通过血管紧张素受体 1 型(AT1-R)在广泛的细胞类型和肿瘤中发出信号,并通过更受限制的细胞类型的 2 型受体(AT2-R)发出信号。虽然已经证明许多形式的癌症过度表达 AT1-R,但人类肾透明细胞癌(RCCC)中 AT1-R 和 AT2-R 的表达尚未得到很好的理解。在这项研究中,通过免疫组织化学(IHC)、western blot 和定量逆转录 PCR(qRT-PCR)定量检测了 RCCC 中两种血管紧张素受体的表达,并将其与预后因素相关联。

方法

通过免疫组织化学(IHC)、western blot 和定量逆转录 PCR(qRT-PCR)定量检测肿瘤组织中血管紧张素受体 1 型和 AT2-R 的表达。IHC 结果与 Fuhrman 分级和患者无进展生存期(PFS)相关联。

结果

共分析了 84 例 RCCC。通过 IHC,高级别肿瘤中 AT1-R 和 AT2-R 的表达水平更高(AT1-R:P<0.001,AT2-R:P<0.001)。单因素分析显示 PFS 与 AT1-R 或 AT2-R 表达之间存在相关性(P=0.001)。通过多因素分析,只有 AT2-R 表达与 PFS 相关(HR 1.021,P=0.006)和癌症分期相关(P<0.001)。通过 western blot 也发现,在 Fuhrman 分级较高的情况下,AT1-R 和 AT1-R 也过表达(分别为 P<0.01 和 P=0.001)。通过 qRT-PCR,AT1-R 而不是 AT2-R mRNA 下调(P=0.001 和 P=0.118)。

结论

我们的结果表明,AT1-R 和 AT2-R 蛋白在 RCCC 最具侵袭性的形式中过表达,并且 AT2-R 表达与 PFS 相关。因此,AT1-R 或 AT2-R 阻断可能为抗 RCCC 治疗提供新的方向。

https://cdn.ncbi.nlm.nih.gov/pmc/blobs/4605/2994218/1f985f54fb40/6605866f1.jpg

文献AI研究员

20分钟写一篇综述,助力文献阅读效率提升50倍。

立即体验

用中文搜PubMed

大模型驱动的PubMed中文搜索引擎

马上搜索

文档翻译

学术文献翻译模型,支持多种主流文档格式。

立即体验