• 文献检索
  • 文档翻译
  • 深度研究
  • 学术资讯
  • Suppr Zotero 插件Zotero 插件
  • 邀请有礼
  • 套餐&价格
  • 历史记录
应用&插件
Suppr Zotero 插件Zotero 插件浏览器插件Mac 客户端Windows 客户端微信小程序
定价
高级版会员购买积分包购买API积分包
服务
文献检索文档翻译深度研究API 文档MCP 服务
关于我们
关于 Suppr公司介绍联系我们用户协议隐私条款
关注我们

Suppr 超能文献

核心技术专利:CN118964589B侵权必究
粤ICP备2023148730 号-1Suppr @ 2026

文献检索

告别复杂PubMed语法,用中文像聊天一样搜索,搜遍4000万医学文献。AI智能推荐,让科研检索更轻松。

立即免费搜索

文件翻译

保留排版,准确专业,支持PDF/Word/PPT等文件格式,支持 12+语言互译。

免费翻译文档

深度研究

AI帮你快速写综述,25分钟生成高质量综述,智能提取关键信息,辅助科研写作。

立即免费体验

脊柱断层评估在脊柱肋骨骺发育不良综合征患儿中的应用。

Tomographic assessment of the spine in children with spondylocostal dysotosis syndrome.

机构信息

Ludwig Boltzmann Institute of Osteology, Hanusch Hospital, WGKK, Vienna, Austria.

出版信息

Clinics (Sao Paulo). 2010;65(10):953-9. doi: 10.1590/s1807-59322010001000005.

DOI:10.1590/s1807-59322010001000005
PMID:21120293
原文链接:https://pmc.ncbi.nlm.nih.gov/articles/PMC2972617/
Abstract

OBJECTIVE

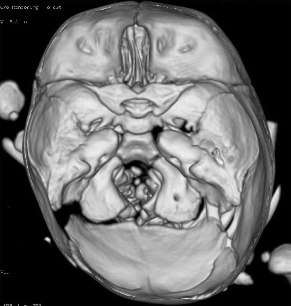
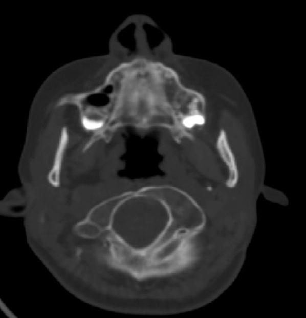
The aim of this study was to perform a detailed tomographic analysis of the skull base, craniocervical junction, and the entire spine in seven patients with spondylocostal dysostosis syndrome.

METHOD

Detailed scanning images have been organized in accordance with the most prominent clinical pathology. The reasons behind plagiocephaly, torticollis, short immobile neck, scoliosis and rigid back have been detected. Radiographic documentation was insufficient modality.

RESULTS

Detailed computed tomography scans provided excellent delineation of the osseous abnormality pattern in our patients.

CONCLUSION

This article throws light on the most serious osseous manifestations of spondylocostal dysostosissyndrome.

摘要

目的

本研究的目的是对 7 例脊椎肋骨发育不良综合征患者的颅底、颅颈交界区和整个脊柱进行详细的断层分析。

方法

根据最突出的临床病理学对详细的扫描图像进行了组织。分析斜头畸形、斜颈、短而不能活动的颈部、脊柱侧凸和僵硬背部的原因。影像学检查不充分。

结果

详细的计算机断层扫描为我们的患者提供了极好的骨骼异常模式描绘。

结论

本文阐述了脊椎肋骨发育不良综合征最严重的骨骼表现。

https://cdn.ncbi.nlm.nih.gov/pmc/blobs/37f0/2972617/f2225a95021c/cln-65-10-953-g010.jpg
https://cdn.ncbi.nlm.nih.gov/pmc/blobs/37f0/2972617/3f765bc4ceea/cln-65-10-953-g001.jpg
https://cdn.ncbi.nlm.nih.gov/pmc/blobs/37f0/2972617/7e6015a289f2/cln-65-10-953-g002.jpg
https://cdn.ncbi.nlm.nih.gov/pmc/blobs/37f0/2972617/4ce1f7e334e0/cln-65-10-953-g003.jpg
https://cdn.ncbi.nlm.nih.gov/pmc/blobs/37f0/2972617/89f328354cb0/cln-65-10-953-g004.jpg
https://cdn.ncbi.nlm.nih.gov/pmc/blobs/37f0/2972617/8efdc217df08/cln-65-10-953-g005.jpg
https://cdn.ncbi.nlm.nih.gov/pmc/blobs/37f0/2972617/86727acad93b/cln-65-10-953-g006.jpg
https://cdn.ncbi.nlm.nih.gov/pmc/blobs/37f0/2972617/2d1f16ed9ea0/cln-65-10-953-g007.jpg
https://cdn.ncbi.nlm.nih.gov/pmc/blobs/37f0/2972617/2ac244411604/cln-65-10-953-g008.jpg
https://cdn.ncbi.nlm.nih.gov/pmc/blobs/37f0/2972617/64fa969e1943/cln-65-10-953-g009.jpg
https://cdn.ncbi.nlm.nih.gov/pmc/blobs/37f0/2972617/f2225a95021c/cln-65-10-953-g010.jpg
https://cdn.ncbi.nlm.nih.gov/pmc/blobs/37f0/2972617/3f765bc4ceea/cln-65-10-953-g001.jpg
https://cdn.ncbi.nlm.nih.gov/pmc/blobs/37f0/2972617/7e6015a289f2/cln-65-10-953-g002.jpg
https://cdn.ncbi.nlm.nih.gov/pmc/blobs/37f0/2972617/4ce1f7e334e0/cln-65-10-953-g003.jpg
https://cdn.ncbi.nlm.nih.gov/pmc/blobs/37f0/2972617/89f328354cb0/cln-65-10-953-g004.jpg
https://cdn.ncbi.nlm.nih.gov/pmc/blobs/37f0/2972617/8efdc217df08/cln-65-10-953-g005.jpg
https://cdn.ncbi.nlm.nih.gov/pmc/blobs/37f0/2972617/86727acad93b/cln-65-10-953-g006.jpg
https://cdn.ncbi.nlm.nih.gov/pmc/blobs/37f0/2972617/2d1f16ed9ea0/cln-65-10-953-g007.jpg
https://cdn.ncbi.nlm.nih.gov/pmc/blobs/37f0/2972617/2ac244411604/cln-65-10-953-g008.jpg
https://cdn.ncbi.nlm.nih.gov/pmc/blobs/37f0/2972617/64fa969e1943/cln-65-10-953-g009.jpg
https://cdn.ncbi.nlm.nih.gov/pmc/blobs/37f0/2972617/f2225a95021c/cln-65-10-953-g010.jpg

相似文献

1
Tomographic assessment of the spine in children with spondylocostal dysotosis syndrome.脊柱断层评估在脊柱肋骨骺发育不良综合征患儿中的应用。
Clinics (Sao Paulo). 2010;65(10):953-9. doi: 10.1590/s1807-59322010001000005.
2
Diffuse skull base/cervical fusion syndromes in two siblings with spondylocostal dysostosis syndrome: analysis via three dimensional computed tomography scanning.患有脊椎肋骨发育不良综合征的两兄弟中的弥漫性颅底/颈椎融合综合征:通过三维计算机断层扫描进行分析
Spine (Phila Pa 1976). 2008 Jun 1;33(13):E425-8. doi: 10.1097/BRS.0b013e318175c2de.
3
Distinctive spine abnormalities in patients with Goldenhar syndrome: tomographic assessment.Goldenhar综合征患者独特的脊柱异常:断层扫描评估
Eur Spine J. 2015 Mar;24(3):594-9. doi: 10.1007/s00586-014-3204-3. Epub 2014 Feb 7.
4
Prenatal sonographic features of spondylocostal dysostosis and diaphragmatic hernia in the first trimester.孕早期脊柱肋骨发育不良和膈疝的产前超声特征。
Ultrasound Obstet Gynecol. 1999 Mar;13(3):213-5. doi: 10.1046/j.1469-0705.1999.13030213.x.
5
Spine and rib abnormalities and stature in spondylocostal dysostosis.脊椎肋骨发育不良中的脊柱和肋骨异常与身材
Spine (Phila Pa 1976). 2006 Apr 1;31(7):E192-7. doi: 10.1097/01.brs.0000208166.61618.8f.
6
Spondylocostal dysostosis: thirteen new cases treated by conservative and surgical means.脊椎肋骨发育不良:13例采用保守和手术方法治疗的新病例。
Spine (Phila Pa 1976). 2004 Jul 1;29(13):1447-51. doi: 10.1097/01.brs.0000128761.72844.ab.
7
Prenatal diagnosis of spondylocostal dysostosis with 3-dimensional ultrasonography.三维超声产前诊断脊椎肋骨发育不良
J Ultrasound Med. 2006 Apr;25(4):539-43. doi: 10.7863/jum.2006.25.4.539.
8
The aetiology behind torticollis and variable spine defects in patients with Müllerian duct/renal aplasia-cervicothoracic somite dysplasia syndrome: 3D CT scan analysis.Müllerian 管/肾发育不全-颈胸体节发育不良综合征患者斜颈和可变脊柱缺陷的病因:3D CT 扫描分析。
Eur Spine J. 2011 Oct;20(10):1720-7. doi: 10.1007/s00586-011-1835-1. Epub 2011 May 8.
9
A case of spondylocostal dysostosis with a fra (5) (q32).一例伴有5号染色体长臂3区2带脆性位点(fra(5)(q32))的脊椎肋骨发育不良病例。
Turk J Pediatr. 1997 Oct-Dec;39(4):547-9.
10
Three-dimensional ultrasound findings of spondylocostal dysostosis in the second trimester of pregnancy.妊娠中期脊柱肋骨发育不良的三维超声表现
Ultrasound Obstet Gynecol. 2006 May;27(5):580-2. doi: 10.1002/uog.2769.

本文引用的文献

1
Diffuse skull base/cervical fusion syndromes in two siblings with spondylocostal dysostosis syndrome: analysis via three dimensional computed tomography scanning.患有脊椎肋骨发育不良综合征的两兄弟中的弥漫性颅底/颈椎融合综合征:通过三维计算机断层扫描进行分析
Spine (Phila Pa 1976). 2008 Jun 1;33(13):E425-8. doi: 10.1097/BRS.0b013e318175c2de.
2
Natural history of thoracic insufficiency syndrome: a spondylothoracic dysplasia perspective.胸廓发育不全综合征的自然史:脊椎胸廓发育不良视角
J Bone Joint Surg Am. 2007 Dec;89(12):2663-75. doi: 10.2106/JBJS.F.01085.
3
Formation errors of the vertebral column.
脊柱形成异常。
J Bone Joint Surg Am. 2007 Feb;89 Suppl 1:64-71. doi: 10.2106/JBJS.F.00486.
4
Honored guest presentation: craniocervical developmental anatomy and its implications.特邀嘉宾演讲:颅颈发育解剖学及其影响
Clin Neurosurg. 2005;52:53-64.
5
Spine and rib abnormalities and stature in spondylocostal dysostosis.脊椎肋骨发育不良中的脊柱和肋骨异常与身材
Spine (Phila Pa 1976). 2006 Apr 1;31(7):E192-7. doi: 10.1097/01.brs.0000208166.61618.8f.
6
Spondylocarpotarsal synostosis syndrome (with a posterior midline unsegmented bar).脊椎腕跗骨融合综合征(伴有后正中线未分节条带)。
Skeletal Radiol. 2005 Jun;34(6):364-6. doi: 10.1007/s00256-004-0869-4. Epub 2004 Nov 16.
7
The normal cervical spine in infants and children.婴幼儿的正常颈椎。
Radiology. 1952 Nov;59(5):712-9. doi: 10.1148/59.5.712.
8
A cluster of autosomal recessive spondylocostal dysostosis caused by three newly identified DLL3 mutations segregating in a small village.由三个新发现的DLL3突变导致的常染色体隐性脊柱肋骨发育不良聚集病例在一个小村庄中呈分离状态。
Clin Genet. 2003 Jul;64(1):28-35. doi: 10.1034/j.1399-0004.2003.00085.x.
9
Novel mutations in DLL3, a somitogenesis gene encoding a ligand for the Notch signalling pathway, cause a consistent pattern of abnormal vertebral segmentation in spondylocostal dysostosis.DLL3是一种编码Notch信号通路配体的体节发生基因,该基因中的新突变在脊椎肋骨发育不良中导致了一致的异常椎体节段模式。
J Med Genet. 2003 May;40(5):333-9. doi: 10.1136/jmg.40.5.333.
10
Pediatric atlas fracture: a case of fracture through a synchondrosis and review of the literature.小儿寰椎骨折:一例经软骨结合处骨折病例及文献复习
Neurosurgery. 2000 Apr;46(4):991-4; discussion 994-5. doi: 10.1097/00006123-200004000-00043.