• 文献检索
  • 文档翻译
  • 深度研究
  • 学术资讯
  • Suppr Zotero 插件Zotero 插件
  • 邀请有礼
  • 套餐&价格
  • 历史记录
应用&插件
Suppr Zotero 插件Zotero 插件浏览器插件Mac 客户端Windows 客户端微信小程序
定价
高级版会员购买积分包购买API积分包
服务
文献检索文档翻译深度研究API 文档MCP 服务
关于我们
关于 Suppr公司介绍联系我们用户协议隐私条款
关注我们

Suppr 超能文献

核心技术专利:CN118964589B侵权必究
粤ICP备2023148730 号-1Suppr @ 2026

文献检索

告别复杂PubMed语法,用中文像聊天一样搜索,搜遍4000万医学文献。AI智能推荐,让科研检索更轻松。

立即免费搜索

文件翻译

保留排版,准确专业,支持PDF/Word/PPT等文件格式,支持 12+语言互译。

免费翻译文档

深度研究

AI帮你快速写综述,25分钟生成高质量综述,智能提取关键信息,辅助科研写作。

立即免费体验

双侧下肢发生的多中心性腹外硬纤维瘤病肿瘤

Multicentric extra-abdominal desmoid tumors arising in bilateral lower limbs.

作者信息

Shimoyama Tokiko, Hiraoka Koji, Shoda Takanori, Hamada Tetsuya, Fukushima Nobuhiro, Nagata Kensei

机构信息

Department of Orthopaedic Surgery, Kurume University School of Medicine, Kurume, Japan.

出版信息

Rare Tumors. 2010 Mar 31;2(1):e12. doi: 10.4081/rt.2010.e12.

DOI:10.4081/rt.2010.e12
PMID:21139941
原文链接:https://pmc.ncbi.nlm.nih.gov/articles/PMC2994500/
Abstract

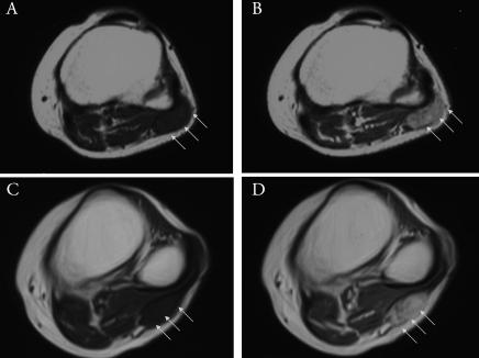
Extra-abdominal desmoid tumors preferentially affect the shoulders, arms, backs, buttocks, and thighs of young adults. Multicentric occurrence is rather rare but seems to be another distinctive feature of extra-abdominal desmoid tumors. In this article we report a rare case of multicentric extra-abdominal desmoid tumors arising in bilateral lower limbs.

摘要

腹外硬纤维瘤好发于年轻人的肩部、手臂、背部、臀部和大腿。多中心发生较为罕见,但似乎是腹外硬纤维瘤的另一个显著特征。在本文中,我们报告了一例罕见的双侧下肢多中心腹外硬纤维瘤病例。

https://cdn.ncbi.nlm.nih.gov/pmc/blobs/d33f/2994500/6a780f8cb27d/rt-2010-1-e12-g005.jpg
https://cdn.ncbi.nlm.nih.gov/pmc/blobs/d33f/2994500/100c43b74f21/rt-2010-1-e12-g001.jpg
https://cdn.ncbi.nlm.nih.gov/pmc/blobs/d33f/2994500/ed9dce21af3d/rt-2010-1-e12-g002.jpg
https://cdn.ncbi.nlm.nih.gov/pmc/blobs/d33f/2994500/0c12ad3db632/rt-2010-1-e12-g003.jpg
https://cdn.ncbi.nlm.nih.gov/pmc/blobs/d33f/2994500/00edfadb42f0/rt-2010-1-e12-g004.jpg
https://cdn.ncbi.nlm.nih.gov/pmc/blobs/d33f/2994500/6a780f8cb27d/rt-2010-1-e12-g005.jpg
https://cdn.ncbi.nlm.nih.gov/pmc/blobs/d33f/2994500/100c43b74f21/rt-2010-1-e12-g001.jpg
https://cdn.ncbi.nlm.nih.gov/pmc/blobs/d33f/2994500/ed9dce21af3d/rt-2010-1-e12-g002.jpg
https://cdn.ncbi.nlm.nih.gov/pmc/blobs/d33f/2994500/0c12ad3db632/rt-2010-1-e12-g003.jpg
https://cdn.ncbi.nlm.nih.gov/pmc/blobs/d33f/2994500/00edfadb42f0/rt-2010-1-e12-g004.jpg
https://cdn.ncbi.nlm.nih.gov/pmc/blobs/d33f/2994500/6a780f8cb27d/rt-2010-1-e12-g005.jpg

相似文献

1
Multicentric extra-abdominal desmoid tumors arising in bilateral lower limbs.双侧下肢发生的多中心性腹外硬纤维瘤病肿瘤
Rare Tumors. 2010 Mar 31;2(1):e12. doi: 10.4081/rt.2010.e12.
2
The Clinical Features of Multicentric Extra-abdominal Desmoid Tumors.多中心性腹外硬纤维瘤的临床特征
Cancer Diagn Progn. 2021 Jul 3;1(4):339-343. doi: 10.21873/cdp.10045. eCollection 2021 Sep-Oct.
3
Extra-abdominal Desmoid Tumor Mimicking Cervical Spine Schwannoma.酷似颈椎神经鞘瘤的腹外硬纤维瘤
Cureus. 2018 Aug 14;10(8):e3145. doi: 10.7759/cureus.3145.
4
Multicentric extra-abdominal desmoid tumours.多中心性腹外硬纤维瘤
Br J Plast Surg. 2004 Jun;57(4):362-5. doi: 10.1016/j.bjps.2004.02.014.
5
Extra-abdominal fibromatosis (desmoid tumor) arising in the infratemporal fossa: a case report.颞下窝发生的腹外纤维瘤病(硬纤维瘤):一例报告
Skull Base Surg. 1998;8(4):237-41. doi: 10.1055/s-2008-1058191.
6
Extra-abdominal desmoid fibromatosis: two familial cases with synchronous and metachronous multicentric hyalinizing nodules.腹外硬纤维瘤病:两例家族性病例,伴有同步和异时多中心透明变性结节。
Histopathology. 2002 Aug;41(2):118-21. doi: 10.1046/j.1365-2559.2002.01430.x.
7
Wait-and-see policy as a first-line management for extra-abdominal desmoid tumors.对腹外型韧带样型纤维瘤采取观望策略作为一线治疗。
J Bone Joint Surg Am. 2014 Apr 16;96(8):631-8. doi: 10.2106/JBJS.M.00988.
8
An evaluation of brachytherapy and external beam radiation used with wide-margin surgical resection in the treatment of extra-abdominal desmoid tumors.近距离放射治疗和外照射放疗联合广泛边缘手术切除治疗腹外硬纤维瘤的评估。
Am J Orthop (Belle Mead NJ). 2011 May;40(5):E78-82.
9
A Rare Case of Extra-abdominal Desmoid-type Fibromatosis Arising from the Popliteal Fossa.一例罕见的源于腘窝的腹外硬纤维瘤病
Cureus. 2018 Nov 28;10(11):e3651. doi: 10.7759/cureus.3651.
10
Sporadic desmoid tumor. An exceptional cause of cystic pancreatic lesion.散发性硬纤维瘤。胰腺囊性病变的罕见病因。
JOP. 2008 May 8;9(3):339-45.

引用本文的文献

1
Multifocal Desmoid-Type Fibromatosis: Case Series and Potential Relationship to Neuronal Spread.多灶性硬纤维瘤型纤维瘤病:病例系列及与神经播散的潜在关系
Cureus. 2024 Feb 7;16(2):e53771. doi: 10.7759/cureus.53771. eCollection 2024 Feb.
2
Large Multicentric Synchronous Extra-Abdominal Fibromatosis of the Leg and Foot: A Case Report.腿部和足部大型多中心同步性腹外纤维瘤病:一例报告
Indian J Radiol Imaging. 2023 Sep 12;34(1):167-171. doi: 10.1055/s-0043-1772849. eCollection 2024 Jan.
3
The Clinical Features of Multicentric Extra-abdominal Desmoid Tumors.

本文引用的文献

1
Multicentric extra-abdominal desmoid tumours.多中心性腹外硬纤维瘤
Br J Plast Surg. 2004 Jun;57(4):362-5. doi: 10.1016/j.bjps.2004.02.014.
2
DESMOID TUMOURS. A SERIES OF 33 CASES.硬纤维瘤。33例病例系列
Acta Chir Scand. 1963 Oct;126:305-14.
3
Desmoid tumors in familial multiple polyposis.家族性多发性息肉病中的硬纤维瘤
多中心性腹外硬纤维瘤的临床特征
Cancer Diagn Progn. 2021 Jul 3;1(4):339-343. doi: 10.21873/cdp.10045. eCollection 2021 Sep-Oct.
4
Bilateral multifocal lower extremity localized soft tissue amyloidomas: case report with ultrasonographic characterization.双侧多灶性下肢局限性软组织淀粉样瘤:超声特征病例报告
Skeletal Radiol. 2017 Dec;46(12):1783-1789. doi: 10.1007/s00256-017-2777-4. Epub 2017 Sep 30.
Proc Staff Meet Mayo Clin. 1959 Jan 21;34(2):31-8.
4
Multiple cutaneous and subcutaneous lesions occurring simultaneously with hereditary polyposis and osteomatosis.多发性皮肤和皮下病变与遗传性息肉病和骨瘤病同时出现。
Am J Hum Genet. 1953 Jun;5(2):139-47.
5
Quality of surgery and outcome in extra-abdominal aggressive fibromatosis: a series of patients surgically treated at a single institution.腹外侵袭性纤维瘤病的手术质量与预后:一组在单一机构接受手术治疗的患者
J Clin Oncol. 2003 Apr 1;21(7):1390-7. doi: 10.1200/JCO.2003.05.150.
6
External beam radiotherapy for primary and adjuvant management of aggressive fibromatosis.外照射放疗用于侵袭性纤维瘤病的原发性及辅助治疗。
Int J Radiat Oncol Biol Phys. 2002 Sep 1;54(1):177-181. doi: 10.1016/s0360-3016(02)02926-7.
7
Extra-abdominal desmoid fibromatosis: two familial cases with synchronous and metachronous multicentric hyalinizing nodules.腹外硬纤维瘤病:两例家族性病例,伴有同步和异时多中心透明变性结节。
Histopathology. 2002 Aug;41(2):118-21. doi: 10.1046/j.1365-2559.2002.01430.x.
8
Treatment of aggressive fibromatosis: a retrospective study of 72 patients followed for 1-27 years.侵袭性纤维瘤病的治疗:一项对72例患者进行1至27年随访的回顾性研究。
Acta Orthop Scand. 2002 Apr;73(2):213-9. doi: 10.1080/000164702753671830.
9
Extra-abdominal desmoid tumour of the breast: review of the primary management and the implications for breast reconstruction.乳腺腹外硬纤维瘤:原发性治疗及乳房重建影响的综述
Br J Plast Surg. 2001 Apr;54(3):268-71. doi: 10.1054/bjps.2001.3548.
10
Surgery versus radiation therapy for patients with aggressive fibromatosis or desmoid tumors: A comparative review of 22 articles.侵袭性纤维瘤病或韧带样瘤患者的手术与放射治疗:22篇文章的比较综述
Cancer. 2000 Apr 1;88(7):1517-23.