Suppr超能文献

一名患有多种感染的男性脾脏沿岸细胞血管瘤的快速进展

Rapid progression of littoral cell angioma of the spleen in a man with multiple infections.

作者信息

Berman Errol, Ikpatt Francis, Wang Di, Dembner Alan, Zauber N Peter

机构信息

Saint Barnabas Medical Center, Livingston, New Jersey, USA.

出版信息

Rare Tumors. 2010 Mar 31;2(1):e17. doi: 10.4081/rt.2010.e17.

Abstract

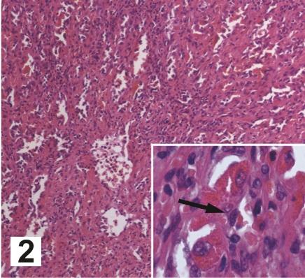
Littoral cell angioma is an uncommon primary vascular neoplasm of the spleen. It frequently follows a benign course, but cases with aggressive behavior have been described. We present a case of this rare disease highlighting radiological examinations showing a rapid increase in the size of the spleen as well as an increase in the number and size of existing nodules. We also discuss the relationship of this disorder to chronic infections and its possible association with Epstein Barr virus.

摘要

脾窦岸细胞血管瘤是一种罕见的脾脏原发性血管肿瘤。它通常病程良性,但也有侵袭性行为的病例报道。我们报告一例这种罕见疾病,重点介绍影像学检查结果,显示脾脏迅速增大,以及现有结节数量和大小增加。我们还讨论了这种疾病与慢性感染的关系及其与爱泼斯坦-巴尔病毒的可能关联。

https://cdn.ncbi.nlm.nih.gov/pmc/blobs/ee48/2994494/6e4ef4e938c1/rt-2010-1-e17-g001.jpg

文献AI研究员

20分钟写一篇综述,助力文献阅读效率提升50倍。

立即体验

用中文搜PubMed

大模型驱动的PubMed中文搜索引擎

马上搜索

文档翻译

学术文献翻译模型,支持多种主流文档格式。

立即体验