Suppr超能文献

肝脏胆管腺纤维瘤:一例报告并文献复习

Biliary adenofibroma of the liver: report of a case and review of the literature.

作者信息

Gurrera Alessandra, Alaggio Rita, Leone Giorgia, Aprile Giuseppe, Magro Gaetano

机构信息

Divisione di Anatomia Patologica, Dipartimento G.F. Ingrassia, Policlinico Universitario-Vittorio Emanuele, Università di Catania, via Santa Sofia 87, 95123 Catania, Italy.

出版信息

Patholog Res Int. 2010 Oct 28;2010:504584. doi: 10.4061/2010/504584.

Abstract

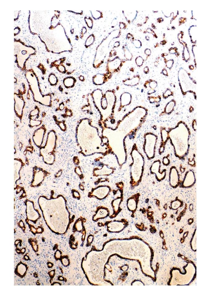
We herein report the clinicopathologic features of a rare case of biliary adenofibroma (BAF) of the liver in a 79-year-old man. Grossly, tumour presented as a well-circumscribed, 5.5-cm mass with a solid and microcystic appearance. Histological examination was typical of biliary adenofibroma, showing a proliferation of variable-sized tubulocystic structures embedded in a moderately cellular fibrous stroma. Immunohistochemistry, revealing immunoreactivity of the epithelial component to cytokeratins 7 and 19, was consistent with a bile duct origin. Notably, the stromal cells had a myofibroblastic profile, showing a diffuse and strong expression of vimentin and α-smooth muscle actin. Differential diagnosis with Von Meyenburg complex, biliary adenoma, biliary cistadenoma, congenital biliary cystsy, and hepatic benign cystic mesothelioma is provided. The occasionally reported expression of p53 in biliary adenofibroma has suggested that this tumour could represent a premalignant lesion. The absence of both cytological atypia and p53 immunoreactivity in our case confirms that BAF is a benign tumour with an indolent clinical behaviour. However, a careful histological examination of BAF is mandatory because malignant transformation of the epithelial component has been documented in two cases.

摘要

我们在此报告一名79岁男性肝脏罕见的胆管腺纤维瘤(BAF)病例的临床病理特征。大体上,肿瘤表现为边界清楚的5.5厘米肿块,呈实性和微囊性外观。组织学检查为典型的胆管腺纤维瘤,显示大小不一的微管囊状结构增生,包埋于细胞中度丰富的纤维性间质中。免疫组化显示上皮成分对细胞角蛋白7和19呈免疫反应性,符合胆管起源。值得注意的是,间质细胞呈肌成纤维细胞形态,波形蛋白和α平滑肌肌动蛋白呈弥漫性强表达。文中提供了与冯梅耶尔堡复合体、胆管腺瘤、胆管囊腺瘤、先天性胆管囊肿及肝脏良性囊性间皮瘤的鉴别诊断。胆管腺纤维瘤中偶尔报道的p53表达提示该肿瘤可能为癌前病变。我们病例中既无细胞学异型性也无p53免疫反应性,证实BAF是一种临床行为惰性的良性肿瘤。然而,必须对BAF进行仔细的组织学检查,因为已有两例记录显示上皮成分发生了恶性转化。

https://cdn.ncbi.nlm.nih.gov/pmc/blobs/32c1/2989712/e42c9c1b7ba8/PRI2010-504584.001.jpg

文献检索

告别复杂PubMed语法,用中文像聊天一样搜索,搜遍4000万医学文献。AI智能推荐,让科研检索更轻松。

立即免费搜索

文件翻译

保留排版,准确专业,支持PDF/Word/PPT等文件格式,支持 12+语言互译。

免费翻译文档

深度研究

AI帮你快速写综述,25分钟生成高质量综述,智能提取关键信息,辅助科研写作。

立即免费体验